1. Introduction
Research has demonstrated that exposure to lead (Pb) has a detrimental effect on tissue homeostasis, resulting in the distortion of the structural architecture of soft tissues ( 1 ). It has been documented that the release of lead occurs during pregnancy, lactation, and osteoporosis. In developing conditions, this lead is released from the bone, which serves as the primary storage organ. Lead has been observed to form complexes with proteins, a process that can result in the manifestation of diverse toxic symptoms and pathologies in soft body tissues ( 1 , 2 ). Lead toxicity has been demonstrated to be associated with calcium (Ca2+) channel activation. The influx of Ca2+ has been shown to replace calcium at the binding sites of functional proteins, such as calmodulin ( 2 ). Lead has been demonstrated to directly disrupt calcium transportation and storage processes, as well as the calcium channel. These effects lead to indirect alterations in cell functions, including energy production and plasma membrane selectivity ( 3 ). Lead exposure has been demonstrated to promote oxidative reactions and the generation of free radicals (ROS) by inhibiting the production of sulfhydryl antioxidants. This process serves to define the toxicity of lead oxide. It has been demonstrated that this process induces heme and DNA impairment, as well as nucleic acid damage and peroxidation ( 4 ). It has been demonstrated that lead exerts a significant toxic effect, even at low concentrations, on human and other living organisms ( 5 ). As indicated by the extant literature, instances of lead toxicity have been documented in various anatomical regions, including but not limited to the brain and nervous system, kidneys, blood, and the reproductive system in both male and female subjects ( 4 , 5 ). Lead, an active element in the environment, has been shown to induce reproductive dysfunction in males, resulting in infertility. As indicated by the extant research, lead has been demonstrated to induce blood tissue damage, reduce sperm quality, prolong liquefaction time, and decrease sperm motility and viability in animals ( 5 ). The syncytiotrophoblast constitutes the epithelial layer that separates maternal blood flowing around the villi. This layer thus represents the maternal-fetal contact zone. As demonstrated in Reference 3, the syncytiotrophoblast has been identified as the primary site for the accumulation of lead and nickel deposits. Lead has been demonstrated to exert a substantial teratogenic effect on pregnant women and the development of their offspring. As indicated by the extant literature, exposure to intrauterine lead has been associated with a number of adverse outcomes, including preterm rupture of the fetal membranes, spontaneous abortions, and preterm births ( 3 , 5 ). It has been documented that the fetal brain exhibits a deficiency in lead-protein complexes and demonstrates minimal resistance to lead toxicity. Consequently, the occurrence of lead toxicity during the intrauterine period has been associated with cognitive impairment and learning disabilities. A number of teratogens have been linked to gene mutations that modify gene expression and reprogramming during the embryonic and fetal stages of development. The consequences of these insults are contingent on the gestational age of the fetus, the magnitude and rate of exposure to teratogens, and the mechanism of action of the teratogens. It has been determined that the majority of organs are susceptible to injury during the period of peak cell division. Lead has been identified as a common teratogenic agent that can cause birth defects if it is present during the intrauterine period. It is noteworthy that the testes have been observed to be among the organs exhibiting the most active cell division processes during both normal development and spermatogenesis. The seminiferous epithelium, which is lined by specialized Sertoli cells, provides a supportive environment for successive, synchronized populations of maturing germ cells. These include spermatogonia, spermatocytes, round spermatids, and elongating spermatids ( 4 , 5 ). Retinol has been demonstrated to promote cell division and proliferation during embryogenesis and organogenesis in the fetal development of many vital organs, including the lungs, kidneys, and reproductive organs. Retinol, a vitamin A derivative, has been observed to stimulate premeiotic spermatogonial proliferation in testicular tissue. As previously mentioned, retinoids play crucial role in the process of embryogenesis during development, Retinol, a vital component of retinoids, has been identified as a significant factor in various cellular activities, including cell growth, cell cohesion, immunomodulatory effects, and protective effects in anti-tumor functions ( 6 ). Retinol has been demonstrated to stimulate the cellular activity of keratinocytes, fibroblasts, melanocytes, and Langerhans cells ( 6 , 7 ). Retinol has been demonstrated to promote surface epithelia formation and keratinocyte proliferation. Furthermore, retinol strengthens the epidermal protective function, reduces transepidermal water loss, protects collagen against degradation, and inhibits the activity of metalloproteinases ( 8 ). It has been demonstrated that vitamin A and its derivatives play a crucial role in the process of embryogenesis. In addition, a deficiency of retinol has been observed to result in an arrest of spermatogenesis. Therefore, the objective of this study was to investigate the teratogenic effect of lead (II) oxide on the development of the testes. The investigation was conducted using testicular histology and immuno-histochemical expression of Ki-67 migration protein. The study also examined the protective role of retinol administration on the testes during the intrauterine period in pregnant animals (Wistar rats) ( 9 ).
2. Materials and Methods
2.1. Animal Care
The experimental animals were maintained in accordance with the protocols and treatment procedures specified in the Institutional Animal Care and Use Committee (IACUC) guidelines. The ethical procedures on animal handling as approved by the Faculty of Basic Medical Sciences Ethics Review Committee at Osun State University, Nigeria were observed accordingly. Twenty adult female Wistar rats, with an average weight of 100-110 g, were obtained and housed in the Animal House of the Faculty of Basic Medical Sciences, Osun State University. The animals were provided with a diet consisting of rat pellets (purchased from Top Feed Feed Mill in Osogbo) and water was provided ad libitum. The animals were permitted to acclimatize for a period of two weeks and were maintained under standard atmospheric conditions. The animal room was well ventilated with a temperature range of 25-27°C under a day/night 12-12 h photoperiodicity. The maintenance of proper aeration was facilitated by the utilization of well-shaped and gauzed cages, thereby ensuring the establishment of a hygienic environment.
2.2. Induction of Pregnancy and Drug Administration
This is a process by which pregnancy is induced into healthy female rats. The process was meticulously monitored by the introduction of vaginal smears to ascertain the estrous cycle of female rats prior to the introduction of male rats. The female rats were transferred to the laboratory to ascertain the presence of sperm, which would serve as a confirmation of pregnancy. This procedure was carried out in accordance with the method previously outlined by Phang (1993). The animals were grouped into four groups of five pregnant animals each. Group A was designated as the control group. Group B included pregnant animals that were administered lead (II) oxide exclusively. Group C consisted of pregnant animals that were administered retinol only. Group D comprised pregnant animals that were administered a combination of retinol and lead (II) oxide. The dosage was administered in a non-uniform manner; however, the proper concentrations were administered by the use of an oral cannula. The administration of vitamin A (retinol) and lead (II) oxide was conducted on a daily basis over a period of three weeks. The animals in Group A received only distilled water. Group B received 60 milligrams of lead (II) oxide per kilogram of body weight for 21 days ( 10 ). Group C received 25,000 international units of retinol per kilogram of body weight for 21 days ( 9 ). Group D received both retinol and lead (II) oxide administration for 21 days.
2.3. Parturition
In the experiment, rats were administered lead (II) oxide and retinol for a period of twenty-one days of gestation. The rats were then permitted to lay, and the number of liters was enumerated and weighed. The rats were subsequently separated from their mothers and placed in separate cages to allow the development and maturation of the testicular organ for a period of twenty-one days, which corresponds to the neonatal period in rats.
2.4. Animal Sacrifice
The male offspring produced after parturition were permitted a period of three weeks to attain testicular development and maturation. Neonatal animals were euthanized by cervical dislocation 12 hours after the 21-day period. The testes were extracted following an abdominal incision and were then preserved in Bouin's fluid for the purpose of conducting both histological and immuno-histochemical analyses.
2.6. Histological Slide Preparation
The histology of the testis was performed in accordance with the method previously outlined by Dare et al. (2021b). The testes were meticulously sectioned into slabs with a thickness of approximately 0.5 centimeters in the transversal plane. These samples were then fixed in Bouin's fluid, a solution designed for the preservation of biological specimens. Subsequent to this fixation, the tissues were processed through a series of graded alcohol solutions, beginning with 70% alcohol and culminating in 100% alcohol. This process was undertaken to facilitate dehydration, a crucial step in the tissue processing workflow. The tissues were subjected to a series of alcohol and xylene baths for varying lengths of time, followed by a transfer into molten paraffin wax. This process was repeated two times, with each cycle lasting one hour. The infiltration process was conducted in an oven set at 65°C. Testicular tissues were subsequently embedded, and serial sections were cut using a rotary microtome at a thickness of six microns. The tissues were meticulously transferred onto albuminized slides and then subjected to a drying process on a hot plate for a period of two minutes. The slides were then dewaxed using xylene and absolute alcohol, followed by two changes of 70% and 50% alcohol, respectively. They were subsequently immersed in water for a duration of five minutes. The slides were subsequently subjected to staining with Haematoxylin and Eosin (H/E), Masson Trichrome (MT), Periodic Acid Schiff (PAS), Feulgen, and immuno-histological staining of Ki-67.
2.7. Staining method for Masson Trichrome
2.7.1. Bouin’s Solution (It improves the quality of Masson Trichrome Stain)
Saturated Picric acid 75 ml, 40% Formaldehyde 25 ml, Glacial acetic acid 5 ml.
2.7.2. Weigert’s Iron Hematoxylin Solution
Stock Solution A ( Hematoxylin 1g, 95% alcohol 100ml), Stock solution B; 29% Ferric chloride in water 4ml, Distilled water 95ml, Concentrated Hydrochloric acid 1ml Equal parts of stock solution A and B are mixed for use.
2.7.3. Biebrich Scarlet-Acid Fuschin Solution
1% aqueous Biebrich Scarlet 90ml, 1% aqueous Acid fuschin 10 ml, Glacial acetic acid 1 ml.
2.7.4. Phosphomolybdic-Phosphotungstic Acid Solution
5% Phosphomlybdic acid 25ml, 5% Phosphotungstic acid 25ml.
2.7.5. Aniline Blue Solution
Aniline blue 2.5g, Glacial acetic acid 2ml, Distilled water 100ml.
2.7.6. 1% Acetic Acid Solution
Glacial acetic acid 1ml, Distilled water 99ml.
2.8. Procedures
Testicular samples were subjected to a deparaffinization and rehydration process, employing a sequence of alcohol solutions with concentrations of 100%, 95%, and 70% in that order. The tissues were then subjected to a series of cleansing and rinsing procedures. Initially, they were immersed in distilled water, followed by a 5-10 minute rinse in running tap water. The samples were subjected to a staining process involving the application of Weigert's iron hematoxylin solution for a duration of 10 minutes. This was followed by a rinsing step with running tap water for an additional 10 minutes. Subsequently, the samples underwent a washing procedure using distilled water. The tissues were subsequently stained with the Biebrich-Scarlet Acid Fuchsin solution for a period of 10–15 minutes. Thereafter, they were washed in distilled water and differentiated in the phosphomolybdic-phosphotungstic acid solution for 10–15 minutes or until the collagen lost its red color. The stained tissues were immersed in aniline blue solution and stained for a period of 5-10 minutes. Thereafter, they were rinsed in distilled water and differentiated in 1% acetic acid solution for 2-5 minutes. Finally, they were washed in distilled water. The samples were subjected to a dehydration process using 95% ethyl alcohol, followed by clearing in xylene and mounting on a glass slide.
2.9. Staining Method for Feulgen DNA
The Feulgen technique is a method of staining DNA that is selective in its application and is performed under controlled conditions. Fixed testicular tissues were treated for 8-10 minutes with 1N HCl in a water bath at 60°C. Samples were then transferred into Schiff's reagent at ambient temperature for a minimum of 30 minutes, or until a deep purple coloration of the tissue was achieved. Acid hydrolysis is a process that removes purine bases from DNA, thereby unmasking free aldehyde groups. The aldehyde groups react with Schiff's reagent, yielding a purple staining. It has been demonstrated that RNA does not undergo hydrolysis in the presence of HCl, thereby establishing a DNA-specific reaction.
2.10. Schiff's Reagent
Schiff's reagent was prepared by pouring 200 milliliters of boiling distilled water over 1 gram of basic fuchsin. The mixture was thoroughly shaken, cooled to 50°C, filtered, and 30 mL of 1N HCl was added to the filtrate. Subsequently, the mixture was cooled to room temperature, and 1 g of potassium metabisulfite (K2S2O5) was added. The solution was permitted to stand undisturbed in a state of darkness for a period of time equivalent to the duration of one night. This was done until a light straw or faint pink hue became discernible. A quantity of 0.5 g of charcoal powder was incorporated into the mixture, followed by a thorough shaking to ensure homogeneity. The mixture was then subjected to filtration through a coarse filter to remove any particulate matter. Subsequent to this, the mixture was refrigerated in a tightly sealed bottle, ensuring the preservation of its integrity and stability.
2.11. Periodic Acid-Schiff (PAS) Staining
2.11.1. Periodic Acid solution (0.5%)
Periodic acid- 0.5g, Distilled water- 100ml
2.11.2. Schiff’s Reagent
A good Schiff’s reagent turns red-purple in color. The testicular tissues are deparaffinized and hydrated with water. The oxidation process was initiated by the addition of a 0.5% solution of periodic acid for a duration of five minutes. The oxidized samples were then rinsed in distilled water. The Schiff reagent was used to induce dehydration for a period of 15 minutes, resulting in a light pink coloration. The samples were subjected to a washing process involving lukewarm tap water for a duration of five minutes, until a dark pink hue was observed. The process of counterstaining involved the application of Mayer's Hematoxylin for a duration of one minute, followed by a thorough wash in running tap water for a period of five minutes. Subsequently, the specimen underwent a dehydration process, and was mounted on synthetic mount medium.
2.12.1. Harri’s Hematoxylin stain
A = 1 gm hematoxylin in 10 ml ethanol, B = 20 gm ammonium alum in hot distilled water. Mix A and B, boil and add 0.5 gm of mercuric oxide and filter.
2.12.2. Eosin solution
Yellow eosin = 1 gm, Distilled water = 80 ml, Ethanol = 320 ml, Glacial Acetic Acid = 2 drops. Add 0.5% HCl, and dilute ammonia water. The samples were deparaffinized, hydrated, and drained in xylene. The nuclear staining procedure entailed the application of hematoxylin for a duration of three to five minutes. Thereafter, the sections were subjected to a washing process in running tap water until they exhibited a blue hue, with this step lasting five minutes or less. The differentiation process involved a meticulous removal of excess dye from the sections. This was achieved through a dipping technique in 1% acid alcohol (1% HCl in 70% alcohol) for a brief duration. Subsequently, the sections were rinsed in running tap water and immersed in ammonia water until they regained their blue color. This was followed by a thorough tap water wash to ensure the removal of any residual dye. The Counterstain procedure entailed the application of 1% Eosin Y for a duration of 10 minutes, followed by a thorough wash in tap water for 1-5 minutes. Subsequently, the specimen underwent a dehydration process using a series of increasing concentrations of alcohol, culminating in two xylene baths to achieve clear mounting. The final step involved mounting the specimen in DPX for further analysis.
2.13. Immunological Demonstration of Ki-67 Migration
Testicular tissues were deparaffinized in a chemical fume hood using three changes of xylene, each change lasting five minutes. The tissues were then immersed in 2× 100% ethanol, 5 minutes each, followed by 10 minutes each in 90% ethanol and 70% ethanol. The tissues were subsequently rinsed in 2× diH2O, each rinse lasting two minutes. Antigen retrieval was accomplished by subjecting the samples to boiling in citrate buffer for approximately 30 minutes. The slide rack containing the buffer was placed into a large tip box filled with diH2O. The slide rack was then subjected to microwave radiation for a period of two minutes. The slides were permitted to cool for approximately 20 minutes and were subsequently washed thrice in diH2O for five minutes on a shaker. The blocking buffer was incorporated into the tissue section, composed of 5% bovine serum albumin (BSA) and 0.3% Triton X-100 in phosphate-buffered saline (PBS), and was left to incubate for one hour at room temperature. Thereafter, the blocking buffer was drained, and the primary diluted antibody was added at a 1:200 ratio in a tube of staining buffer, which consists of 1% BSA and 0.3% Triton X-100 in PBS. The solution was diluted to a concentration compatible with tissue sections. Following this step, the solution was incubated at 4°C for a period of time referred to as "overnight." Thereafter, the solution was washed thrice with a solution of phosphate-buffered saline (PBS) and 0.05% Tween. The duration of each wash was five minutes and they were carried out on a shaker. Subsequently, secondary antibody was incorporated at a dilution of 1:400 in a tube of staining buffer (1% bovine serum albumin [BSA] + 0.3% Triton X-100 in phosphate-buffered saline [PBS]). The mixture was then incubated at room temperature for a period of one hour. The solution was subjected to five cycles of washing in Phosphate Buffered Saline (PBS) containing 0.05% Tween 20 for a duration of five minutes using a shaker. Thereafter, the slides were allowed to dry thoroughly. Subsequently, a drop of 4',6-diamidino-2-phenylindole (DAPI) and Prolong Gold Antifade was added, and a coverslip was gently placed on top, taking care to avoid the formation of bubbles.
3. Results
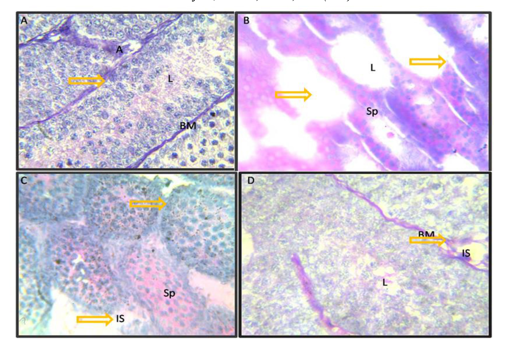
As illustrated in Figure 1, the histological section of the testes from the control animal, examined using hematoxylin and eosin (H&E) stains, demonstrates a normal histological structure. The figure reveals that spermatogonia populations are well expressed, and Sertoli cells are scattered among the spermatogonia population. The interstitial space contained Leydig cells that were clearly visible, and the seminiferous tubules were closely apposed. However, the administration of lead (II) oxide exclusively to Group B resulted in the degeneration of the lining epithelia cells of the seminiferous tubule, accompanied by the loss of Sertoli cells. This was accompanied by a reduction in the spermatogonia population and an increase in the thickness of the interstitial spaces and basement membrane. In animals administered with retinol (vitamin A) exclusively, Group C, the seminiferous tubule manifested distinctive features along the tubular lining, exhibiting spermatogonia population at various stages. The spermatogonia population and Sertoli cells exhibited marked organization, and the lumen within the seminiferous tubule displayed a thick basement membrane that bordered the seminiferous tubule and the Leydig cells in the interstitial space. Group D, which received a treatment consisting of lead (II) oxide and retinol, exhibited several noteworthy observations. The basement membrane appeared thickened, the lumen was well defined, the Sertoli cells were well arranged, and there was regeneration of the spermatogonia population. A histological section of the testis was stained with MT (Masson's Trichrome). This analysis revealed a thick and well-defined basement membrane and a well-defined lumen of the seminiferous tubule. Additionally, distinctive Leydig cells were observed in the interstitial space. This study provides a comprehensive characterization of testicular architecture in control animals. Treatment of animals with lead (II) oxide resulted in degeneration of the seminiferous tubule lining cells. This degeneration was accompanied by a scattered population of Sertoli cells and a degenerated spermatogonia population within the seminiferous tubule. Additionally, the presence of Leydig cells in the interstitial space was observed. The study revealed a reduction in Sertoli cells within the seminiferous tubule, an increase in interstitial space, and a thinning of the basement membrane in comparison to the control group. Furthermore, a decline in the spermatogonia population was noted. Group C, which received treatment with retinol (vitamin C) exclusively, exhibited augmented interstitial spaces concomitant with Leydig cells. The lumen manifested as well-defined, and there was partial degeneration of the seminiferous tubule. The Sertoli cells were well-defined; however, spermatogonia in the seminiferous tubule were not well expressed at various stages. The administration of lead (II) oxide and retinol to Group D resulted in the distinct and scattered appearance of the spermatogonia population within the seminiferous tubule. The interstitial space exhibited widening and contained well-defined Leydig cells, as illustrated in Figure 2. The seminiferous tubules exhibited normal alignment, with a dispersed population of spermatogonia. The presence of Leydig cells was observed in the interstitial space, and Sertoli cells demonstrated notable expression in the control testes, as evidenced by PAS (Periodic Acid Schiff) staining. Group B exhibits a degeneration of the seminiferous tubule, accompanied by a scattered population of spermatogonia and augmented interstitial space. In Group C, the seminiferous tubule exhibited signs of partial degeneration, characterized by dispersed spermatogonia populations and augmented interstitial spaces. In Group D, there was evidence of partial regeneration of the seminiferous tubule, as indicated by the presence of large interstitial spaces and Leydig cells. The lumen appeared narrow on the seminiferous tubule, and the basement membrane was found to be thick. This suggests the occurrence of partial regeneration of the seminiferous tubule, as illustrated in Figure 3. The quantity of stain extracted per nucleus in the Feulgen DNA stain is proportional to the DNA content present. Figure 4 demonstrates the expression of normal histological sections of the testes, outlines, and heavily stained nuclear materials among the spermatogonia population in the seminiferous tubule, along with a well-defined lumen. In Group B, there was a complete degeneration of the seminiferous tubule, as well as interstitial space associated with loss of nuclear DNA integrity, as indicated by the presence of feulgen-stained samples, which were sparsely distributed. However, Group C exhibited well-defined seminiferous tubules, with a scattered population of spermatogonia. As illustrated in Figure 4, Group A and Group D exhibited normal histological sections of the testes, characterized by regulated mitotic activities. Group B exhibited nuclear material disintegration along the seminiferous tubules, while Group C demonstrated lumen with distinctive features in the seminiferous tubule core. Evidence of active mitotic activity was observed in groups A, C, and D. As illustrated in Figure 5 of Group D's basement membrane, the expression of KI-67 pigment revealed that spermatogonia exhibited a well-arranged configuration within the seminiferous tubule. Additionally, the Sertoli cell demonstrated notable expression, and the basement membrane was characterized by thickness and clarity in definition.
Figure 1. Histological section in the testis stained with H/E; X400; Group A; the control group, Group B; administered with lead (II) oxide only, Group C; administered with retinol (vitamin C) only and Group D; administered with lead (II) oxide and retinol; Sertoli Cells (SC), Interstitial Space (IS), Spermatogonia Population (SP), Leydig Cells (LC), lumen (L), Basement Membrane (BM). Histological section of testis in control animals, spermatogonia populations well expressed and the sertoli cells seen scattered within the spermatogonia population. The leydig cells in the interstitial spaces were well demonstrated and the seminiferous tubules closely apposed. Administration of lead (II) oxide, Group B, showed degeneration of the lining epithelia cells along the seminiferous tubule membrane, loss of epithelia lining was associated with loss of the sertoli cells, and reduction in the spermatogonia population and interstitial spaces.
Figure 2. Histological section in the testis stained with MT (Masson’s Trichrome); X400; Group A; the control group, Group B were administered with lead (II) oxide only, Group C; administered with retinol (vitamin C) only and Group D; administered with lead (II) oxide and retinol; Basement Membrane (BS), Sertoli Cells (SC), Lumen (L), Spermatogonia Population (SP), Leydig Cell (LC), Interstitial Space (IS). Thick and well defined basement membrane, definite lumen within the seminiferous tubules, and distinctive leydig cells in the interstitial spaces were expressed. Group B; revealed degeneration in the seminiferous tubule lining cells as well as sertoli cells. Group C, showed increased interstitial spaces lined with leydig cells, definite lumen and seminiferous tubule, the sertoli cells well defined. Group D, showed distinctive spermatogonia population scattered in the seminiferous tubule, the interstitial space occupied with well-defined leydig cells as shown in D.
Figure 3. Histological section in the testis stained with PAS (Periodic Acid-Schiff); X400; Group A; the control group, Group B; administered with lead(II) oxide only, Group C; administered with retinol (vitamin C) only and Group D; administered with lead (II) oxide and retinol; Sertoli Cells (SC), Spermatogonia Population (SP), Interstitial Space (IS), Basement Membrane (BS). Well-arranged seminiferous tubules, scattered spermatogonia population, presence of leydig cells in the ineterstitial space, well expressed sertoli observed in the control testes using PAS (Periodic Acid-Schiff) stains. Group B degeneration of the seminiferous tubule along with scattered spermatogonia population and increased interstitial space. Group C, spartial degeneration of the seminiferous tubule, spermatogonia population appeared scattered, interstitial space enlarged. Group D, regeneration of the seminiferous tubule cells, large interstitial spaces with the presence of leydig cells, the lumen appeared narrow on the seminiferous tubule, the basement membrane thick and showed envidence of early regeneration of the seminiferous tubule.
Figure 4. Histological section in the testis stained with FG (Feulgen) X400; Group A; the control group, Group B; administered with lead(II) oxide only, Group C; administered with retinol (vitamin C) only and Group D; administered with lead (II) oxide and retinol; Seminiferous Tubules (ST), Basement Membrane (BS), Interstitial Space (IS), Spermatogonia Population (SP), Lumen (L). The amount of the stain picked per nucleus in feulgen DNA stain is proportional to its DNA content present; figure 4 showed Group A and D with expression of normal histological section of the testes outlines and the heavily stained nuclear materials among the spermatogonia population within the seminiferous.
Figure 5. Histological section in the testis stained with Ki-67 Immunostaining (X400); Group A; the control group, Group B; administered with lead(II) oxide only, Group C; administered with retinol (vitamin C) only and Group D; administered with lead (II) oxide and retinol; Lumen (L), Sertoli Cells (SC),Basement Membrane (BS),Interstitial Space (IS), Leydig Cell (LC). The expression of Ki-67 pigment demonstrated in mitotic cells of the germinal layers in control animals, Group D basement membrane, across the seminiferous tubules, the spermatogonia cells mitotic activities slightly expressed, spermatogonia well arranged in the seminiferous tubule, the sertoli cell is well expressed, the basement membrane is thick and well defined, compared with the Ki-67 expression in animals treated with only lead (II) oxide. (B). Testicular expression of Ki-67 protein in spermatogonia and sertoli hyperplasia.
4. Discussion
As stated in the 2017 study by Offor et al., the findings confirmed the teratogenicity effects of lead exposure on the developing fetus, as well as the detrimental effects on maternal health ( 10 ). The present study demonstrated that lead (II) oxide induced degeneration of the seminiferous tubule, accompanied by a loss of Sertoli cells, a decline in the spermatogonia population, and an aberrant widening of the interstitial space, findings that align with those reported in ( 11 ). It has been documented that lead exposure can result in adverse effects on the reproductive system, particularly in cases of prolonged exposure. The embryogenic toxicity of lead (II) oxide, as observed in this study, is consistent with the findings reported by researchers ( 11 , 12 ). Their research indicated the occurrence of atrophy in the testes of rats treated with lead (II) oxide. Lead (II) oxide has been demonstrated to induce free radical damage in biological tissues through two distinct mechanisms. Firstly, the compound has been observed to generate reactive oxygen species (ROS), encompassing hydroperoxides, oxygen radicals, and hydrogen peroxides. Secondly, it has been reported to cause a direct depletion of antioxidant reserves ( 12 ). The study also reported the effects of embryogenic support and the role of retinol in testicular development following lead (II) oxide administration. As posited by Livera et al. in 2002, retinoic acid plays a regulatory role in testicular functions in rodents. A deficiency of retinoic acid has been demonstrated to induce a cessation of spermatogenesis and altered testosterone secretion ( 13 , 14 ). This finding is consistent with the observations reported in ( 15 , 16 ), which demonstrated a substantial increase in the concentration of LH, FSH, and testosterone hormones following retinol administration. As demonstrated by Wang et al. (2006), retinol has been shown to affect the hypothalamus-pituitary axis, thereby increasing concentrations of reproductive hormones ( 17 ). The research conducted by ( 18 , 19 ) demonstrated that retinol induces the secretion of luteinizing hormone (LH) and gonadotropin-releasing hormone (GnRH), which in turn promote the proliferation of sex cells and the differentiation of Leydig cells in adult rats. The administration of retinol has been observed to promote cell division across the seminiferous tubules. This phenomenon is evident in the demonstration of spermatogonia population at various stages of development, from the germinal layer to the adluminal compartment. This observation is consistent with the report of ( 20 ), which noted the retinoid action on the three primary testicular cell types: Sertoli, germinal, and Leydig cells. Retinoids have been demonstrated to exert their effects by modulating the signaling pathways and metabolic processes within Sertoli cells. These effects include the modification of various factors secreted by Sertoli cells, as well as the proliferation and differentiation of spermatogonia A and spermiogenesis ( 21 ). As posited by Haselbeck et al. (1999) and Helsel and Griswold (2019), the conversion of retinol to retinoic acid occurs through two steps and involves oxidation reactions. The initial step involves the conversion of retinol to retinaldehyde, a reaction that is reversible. The subsequent step involves the conversion of retinaldehyde to retinoic acid, a reaction that is irreversible ( 20 , 21 ). The reactions that are mediated by the retinaldehyde dehydrogenase enzymes, which are predominantly expressed in the testes, are responsible for the bulk of testicular retinoic acid production. The administration of lead (II) oxide led to substantial alterations in the histological structure of the testes. These alterations were accompanied by indications of spermatogenesis arrest, as evidenced by a decrease in Ki-67 protein expression within the tubular lining of the seminiferous tubules. However, as indicated by the reports of ( 21 , 22 ) that were validated by ( 23 ), retinoic acid plays an essential role in each of the three phases of spermatogenesis: spermatogonial differentiation, meiotic entry, and spermatid elongation and release of spermatozoa into the lumen of the seminiferous tubule. Retinoic acid signaling is also essential for the formation of tight junctions in the blood-testis barrier, as reported by ( 23 , 24 ). In animals that received retinol shortly after birth, examination of the testes revealed a lining of Sertoli cells, as well as undifferentiated spermatogonia and rare spermatocytes, persisting into adulthood. This study revealed the maintenance of DNA integrity in spermatogonia cells across the seminiferous lineage in animals administered retinol, which is consistent with the report of ( 22 ). Additionally, it was observed that the integrity of testicular development was preserved against the teratogenic effects of lead (II) oxide during the period of organogenesis. As demonstrated in the extant literature, there was a significant suppression of serum testosterone and sperm concentration and production rate in animals exposed to lead acetate at 52 and 70 days of age. This result validated the reduction in spermatogonia population and abnormal widening of interstitial spaces among animals exposed to lead II oxide during the intrauterine period. The administration of retinol has been demonstrated to result in an enhancement of testicular histoarchitecture, as evidenced by an increased expression of spermatogonia population compared to the lead II oxide exposure group. A multitude of research studies have demonstrated that elevated concentrations of cadmium (Cd) and lead (Pb) have been detected in the environment at the industrial site. These findings were obtained through analysis of water, soil, plants, testes, serum, and urine samples. Pb and Cd exposure has been demonstrated to result in a decline in testicular function, a decrease in weight, and an alteration in steroidogenesis in camels ( 23 ). A histological investigation of the industrial site indicated structural disturbances, including seminiferous tubule degeneration and shedding, cellular debris in seminiferous tubules, lining epithelium depletion, and vacuolation. In certain animal strains, histopathological analysis and spermatozoa exhibited resistance to the reproductive toxicity of lead. These findings suggest that different testicular lead concentrations may be responsible for these observed differences. A decline in semen quality, endocrine function, and birth rates was observed among occupationally exposed subjects in human studies who were exposed to concentrations of inorganic lead greater than 40 micrograms per deciliter of blood. It is imperative to note that subjects exposed to lead oxide exhibited impaired male reproductive function, as evidenced by decreased sperm count, diminished sperm volume, and reduced sperm density. A significant alteration in sperm motility and morphology was reported in human subjects exposed to inorganic lead oxide. A comparable report was documented in the histological expression of the spermatogonia population of animals exposed to lead (II) oxide during the intrauterine period ( 24 ). The study demonstrated the embryogenic action of retinol administration during the period of organogenesis. Administration of retinol promoted spermatogenesis and steroidogenesis in male testicular tissue. Additionally, the study corroborated the teratogenicity of lead (II) oxide in testicular development. However, the integrity of the testes was maintained by retinol administration, which counteracted the toxicity of lead (II) oxide.
Acknowledgment
The authors wish to acknowledge the efforts of the laboratory technologists, during the laboratory analysis and their valuable contributions.
Authors' Contribution
DBJ: Conceptualized the Idea, Experimentation and Manuscript writting
OB: Experimentation, administration and Animal Keeping
DAP: Experimentation, Data Analysis and Manuscript preparation
EC: Histological Processing and Analysis and Manuscript Preparation
ASO: Manuscript Preparation and Data Analysis
OOO: Manuscript Preparation and Data Analysis
Ethics
We hereby declare all ethical standards have been respected in preparation of the submitted article.
Conflict of Interest
Authors declare no conflict of interest.
Funding
The research work was solely contribution and self-funding, no external sources of funding were procured.
Data Availability
The data that support the findings of this study are available on request from the corresponding author.
References
- RÍsovÁ V. The pathway of lead through the mother’s body to the child. Interdisciplinary Toxicology. 2019; 12(1):1-6.
- Babatunde DJ, Tope OO, Fidelis OE, Enevwo OG, Olugbenga E. Aqueous extract of Adansonia digitata reversed cotton seed extract-induced testicular damage in Wistar rats. JBRA Assisted Reproduction. 2021; 25(2):257.
- Sallmén M, Lindbohm M-L, Nurminen M. Paternal exposure to lead and infertility. Epidemiology. 2000; 11(2):148-52.
- Naha N, Bhar R, Mukherjee A, Chowdhury AR. Structural alteration of spermatozoa in the persons employed in lead acid battery factory. Indian Journal of Physiology and Pharmacology. 2005; 49(2):153.
- Batra N, Nehru B, Bansal M. Influence of lead and zinc on rat male reproduction at ‘biochemical and histopathological levels’. Journal of Applied Toxicology: An International Journal. 2001; 21(6):507-12.
- Zasada M, Budzisz E. Retinoids: active molecules influencing skin structure formation in cosmetic and dermatological treatments. Advances in Dermatology and Allergology/Postępy Dermatologii i Alergologii. 2019; 36(4):392-7.
- Khalil S, Bardawil T, Stephan C, Darwiche N, Abbas O, Kibbi AG, et al. Retinoids: a journey from the molecular structures and mechanisms of action to clinical uses in dermatology and adverse effects. Journal of Dermatological Treatment. 2017; 28(8):684-96.
- Duester G. Retinoic acid synthesis and signaling during early organogenesis. Cell. 2008; 134(6):921-31.
- Zizola C, Frey S, Jitngarmkusol S, Kadereit B, Yan N, Vogel S. Cellular retinol-binding protein type I (CRBP-I) regulates adipogenesis. Molecular and cellular biology. 2010; 30(14):3412-20.
- Offor SJ, Mbagwu HO, Orisakwe OE. Lead induced hepato-renal damage in male albino rats and effects of activated charcoal. Frontiers in pharmacology. 2017; 8:107.
- BJ D, OA O, AA A, AP D, VT I, AO O, et al. The Nephrotoxicity of Cotton Seed Oil and Gossypol and the Possible Modulatory Role of Grape-seed Proanthocyanidin in Adult Rats. Journal of Morphological Sciences. 2023; 40
- Babatunde DJ, Joseph D, Adetayo LI, Victoria IT, Taiwo A. Metabolic activities and cytokeratin-7 (CK7) expression in gossypol induced hepatotox-icity treated with aqueous extract of Phoenix dactylifera in rat model. Eur J Anat. 2021; 25:3.
- Matson CK, Murphy MW, Griswold MD, Yoshida S, Bardwell VJ, Zarkower D. The mammalian doublesex homolog DMRT1 is a transcriptional gatekeeper that controls the mitosis versus meiosis decision in male germ cells. Developmental cell. 2010; 19(4):612-24.
- Gautam A, Agarwal K, Shah B, Kumar S, Saiyed H. Lead induced spermatoxicity in mouse and MPG treatment. Journal of Environmental Biology. 2001; 22(4):287-91.
- Livera G, Rouiller-Fabre V, Pairault C, Levacher C, Habert R. Regulation and perturbation of testicular functions by vitamin A. REPRODUCTION-CAMBRIDGE-. 2002; 124(2):173-80.
- Chowdhury AR. Recent advances in heavy metals induced effect on male reproductive function-A retrospective. Al Ameen J Med Sci. 2009; 2(2):37-42.
- Wang C, Zhang Y, Liang J, Shan G, Wang Y, Shi Q. Impacts of ascorbic acid and thiamine supplementation at different concentrations on lead toxicity in testis. Clinica Chimica Acta. 2006; 370(1-2):82-8.
- Queiroz EKRd, Waissmann W. Occupational exposure and effects on the male reproductive system. Cadernos de Saúde Pública. 2006; 22:485-93.
- Snyder EM, Small C, Griswold MD. Retinoic acid availability drives the asynchronous initiation of spermatogonial differentiation in the mouse. Biology of reproduction. 2010; 83(5):783-90.
- Helsel A, Griswold MD. Retinoic acid signaling and the cycle of the seminiferous epithelium. Current opinion in endocrine and metabolic research. 2019; 6:1-6.
- Endo T, Freinkman E, de Rooij DG, Page DC. Periodic production of retinoic acid by meiotic and somatic cells coordinates four transitions in mouse spermatogenesis. Proceedings of the National Academy of Sciences. 2017; 114(47):E10132-E41.
- Teletin M, Vernet N, Yu J, Klopfenstein M, Jones JW, Féret B, et al. Two functionally redundant sources of retinoic acid secure spermatogonia differentiation in the seminiferous epithelium. Development. 2019; 146(1):dev170225.
- Ullah S, Ennab W, Wei Q, Wang C, Quddus A, Mustafa S, et al. Impact of cadmium and lead exposure on camel testicular function: Environmental contamination and reproductive health. Animals. 2023; 13(14):2302.
- Xiong L, Zhou B, Young JL, Wintergerst K, Cai L. Exposure to low-dose cadmium induces testicular ferroptosis. Ecotoxicology and environmental safety. 2022; 234:113373.
 
								 
 