Comparative study of Amatem and ethanol leaf extract of Mangifera indica on male reproductive hormones and histology of the testis

Document Type : Original Articles

Authors

1 Department of Physiology, University of Calabar, Calabar, Cross River State, Nigeria.

2 Department of Physiology, Arthur Jarvis University, Akpabuyo, Cross River State, Nigeria

3 Department of Physiology, Federal University Wukari, Wukari, Taraba State, Nigeria.

10.32592/ARI.2025.80.2.335

Abstract

Conflicting reports on reproductive disorders following the use of antimalarials have been recorded. This research aimed at comparing an orthodox drug (Amatem) with a herbal remedy (Mangifera indica) used for treating malaria on male reproductive hormone with the view of ascertaining which will be protective on reproductive parameters. Twenty-five male rats weighing 250-300 g were used for this study. Animals were divided into five groups, namely: Control, low dose M. indica (Mag [LD]), middle dose M. inidca (Mag [MD]), high dose M indica (Mag [HD]), and Amatem group. All animals were allowed access to normal rat chow and water throughout the period of the experiment. Following the oral toxicity study, Mag [LD], Mag [MD], and Mag [HD] were administered ethanolic extract of M. indica leaf at 400 mg/kg, 800 mg/kg, and 1600 mg/kg body weight. Amatem was dissolved in normal saline and administered following the recommended dose of 8 mg/kg body weight. All administration lasted for one week, and sacrifice was carried out on the eighth day. Blood was gotten via cardiac puncture and spun in a centrifuge to get the serum, which was used for testosterone, FSH, and LH assays through the method of enzyme-linked immunoassay (ELISA). The testis was excised and histology done using H&E staining. ANOVA was used to test the level of significance of results among experimental groups. Serum testosterone was higher in Amatem, Mag (MD), and Mag (HD) compared to the control at p < 0.05. There was also a significant increase in testosterone of Amatem compared to Mag (MD) and Mag (HD) at p < 0.05. Follicle stimulating hormone (FSH) and luteinizing hormone (LH) of Amatem, Mag [LD], Mag [MD], and Mag [HD] showed no significant difference with that of the control group. Mild to severe distortions were seen in the histology of the testis in the extract and drug-administered groups. Though Amatem and M. indica increase testosterone levels, caution is needed, as the distortions of the testis may pose harmful effects in the long run. Gas chromatography mass spectrometry (GC-MS) technique revealed 43 compounds, with heptadecane having the most peak areas of 8.00%. 

Keywords


1. Introduction

Malaria is an acute febrile illness caused by Plasmodium parasites, which are spread to people through bites of infected female Anopheles mosquitoes. However, the condition is both preventable and curable ( 1 ). According to the most recent data, approximately one child under the age of five dies from malaria every minute ( 2 ). This phenomenon may not be as evident in adults, as some have been exposed to treatment through conventional pharmaceuticals or herbal remedies. A notable example of a conventional drug employed in the treatment of malaria is Amatem, a combination of artemether and lumefantrine. This pharmaceutical agent has demonstrated efficacy and has received recommendations from select drug agencies, particularly in African nations where malaria is a pervasive health concern. The National Agency for Food & Drug Administration & Control (NAFDAC) has authorized the utilization of Amatem for the treatment of malaria in both adults and children in Nigeria, and this pharmaceutical agent is available for purchase in all pharmacies throughout the nation ( 3 ). Amatem is administered orally and is recommended to be taken with high-fat food or beverages, such as milk ( 3 ). However, as with numerous other antimalarial medications, Amatem has been observed to induce adverse effects, including but not limited to: headaches, dizziness, sleep disturbances, and abdominal discomfort ( 3 ). In contrast to numerous other antimalarial medications, which are often exorbitant, Amatem is moderately affordable. However, it should be noted that it will still be regarded as expensive when compared to the utilization of herbal remedies in the treatment of malaria. The escalating costs of conventional pharmaceuticals have prompted many residents of tropical regions and industrialized countries, such as China, to explore alternative therapeutic options, including herbal remedies, for addressing specific health concerns. A comparative analysis has been conducted on the utilization of conventional non-steroidal anti-inflammatory drugs, including aspirin, and herbal remedies such as ginger, which possess analogous anti-inflammatory properties. This study has examined their impact on specific physiological parameters ( 4 , 5 ). The escalating costs of conventional antimalarial medications may be a contributing factor in the adoption of herbal remedies for malaria treatment in specific tropical and industrialized regions. Mangifera indica (M. indica), a frequently utilized herb in Ayurvedic medicine, has been associated with antioxidant, antidiabetic, antiviral, cardiotonic, hypotensive, and anti-inflammatory properties. The effects of this phenomenon have been the subject of extensive research. The herb is also considered to possess antibacterial, antifungal, anthelmintic, antiparasitic, and antitumor properties. Further studies have demonstrated that M. indica possesses a variety of biological activities, including anti-HIV, anti-resorption, anti-allergic, immunomodulatory, hypolipidemic, antimicrobial, hepatoprotective, and gastroprotective properties ( 6 ). It has been documented that the antimalarial properties of M. indica are attributable to its phytochemical constituents ( 7 ). There exist reports of antiplasmodial profiling on M. indica's herbal formulation and its subsequent ability to ameliorate haematological derangement in Plasmodium berghei-infected mice ( 8 ). However, comparatively little is known about these herbs, in contrast to other orthodox drugs, regarding their ability to ameliorate malaria with fewer side effects on reproductive functions. The objective of this research is to elucidate the viability of employing this herb in the treatment of malaria, with a particular focus on its impact on reproductive functions in male rats. It is noteworthy that a considerable number of antimalarial medications have been observed to be associated with male reproductive dysfunction. Chloroquine has been demonstrated to be associated with a decline in sperm motility in male rats. Research has reported a reduction in the probability of fertilization in female rats cohabiting with male rats treated with chloroquine ( 9 ). In addition to chloroquine, other anti-malaria agents, including artesunate, have been associated with reproductive toxicity following prolonged administration in male rats ( 10 ). However, there is a paucity of research on the reproductive effects of Amatem in conjunction with malaria treatment. Therefore, the present study is worthwhile, as it will ascertain the effect of Amatem on male reproductive functions when used to treat malaria and provide more information in this regard. Review of the extant literature reveals evidence from a range of theoretical frameworks suggesting that the administration of antimalarial medications does not result in low motility or other spermatogenic alterations, even in cases of acute administration. A number of schools of thought have restricted their findings to humans exclusively. Conversely, other schools of thought posit that this is the case for both humans and other experimental animals, such as rats ( 11 ). The impetus for this research stems from reports such as this one, which seek to elucidate the potential impact of Ameten and M. indica, two antimalarial agents, on reproductive functions. This investigation utilizes male rats as experimental animals to assess the possible adverse or beneficial effects of these agents on reproductive outcomes.

2. Materials and Methods

2.1. Material

The following items were utilized in the study: 41700-004 rats metabolic cages, manufactured by Tecniplast USA; syringes, manufactured by Jubilee Syringe Manufacturing Company, Nigeria; stainless steel dissecting sets, manufactured by International Science Manufacturer, India; Ansell Healthcare Products hand gloves, USA; and cotton wool, manufactured by Curitex Medical PVT.LTD India; Dettol antiseptic by Reckitt, United Kingdom; sample bottle by Recombigen Laboratories Private Limited, Delhi, India; testosterone, follicle-stimulating hormone (FSH), and luteinizing hormone (LH) rat ELISA kits by Crystal Chem, USA; hematoxylin and eosin stain kits by Vector Laboratories, USA; Infitek Laboratory Oven, China. The laboratory mill, with a capacity of 400 cc, was manufactured by MRC Laboratory Equipment, located in Israel. The Infitek weighing scale, manufactured in China, was used to measure precise volumes. The Welch Dryfast Diaphragm Vacuum Pumps, also manufactured in China, were utilized to create and sustain low pressure. The Büchner funnel, Funnel, filter paper, Infitek rotary evaporator, manufactured in China, were employed in the process of evaporating and concentrating liquid samples. Isoflurane anesthesia was used to induce unconsciousness in subjects during experimental procedures. Alcohol (75%, 90%, and 100%) was used as a solvent in various experiments.

2.2. Collection and Processing of M. Indica’s Leaf Ethanolic Extract

The leaves of M. indica were harvested from the tree located on the University of Calabar campus in Cross River State, Nigeria. The processing of M. indica's leave ethanolic extract was carried out in accordance with the method delineated by Cole-Parmer Instrument Company. The leaves of the plant were meticulously washed with distilled water and then dried under the sun. Subsequently, the leaves were transferred to an oven and subjected to a drying process at a temperature of 70°C for a period of 48 hours. This step was undertaken to prevent the growth of mold. The dried leaves were weighed and subsequently introduced into a sample laboratory mill for grinding into dust particles. Subsequently, the weight of the dust particles was determined, and they were dissolved in ethanol at a ratio of 1:5, with the extract and ethanol volumes being equivalent. The extract, dissolved in ethanol, was then subjected to a process of ultralow-temperature freezing for a period of 24 hours. This procedure was undertaken to facilitate the separation of its soluble component. The removal of all solid particles was achieved through a straightforward filtration process that incorporated the utilization of a Büchner funnel, filter paper, and a vacuum pump.

2.3. Determination of Oral toxicity of M. indica’s leave ethanolic extract

An oral toxicity study was conducted to ascertain the effective dose (ED) of M. indica leaf extract, as delineated by Reddeman et al. ( 12 ). However, this method underwent modification due to the duration of the oral toxicity study, which spanned two weeks in this particular research study. The rats were divided into six groups and administered 0, 1000 mg/kg, 2000 mg/kg, 4000 mg/kg, and 8000 mg/kg body weight of the ethanolic extract of M. indica. The rats were evaluated for mortality and toxic effects in each group. The highest dose that demonstrated a no observed adverse effect level (NOAEL) was designated as the effective dose, whereas the dose that exhibited the least number of deaths or toxic effects was designated as the lethal dose ( 12 ).

2.4. Gas chromatography mass spectrometry (GC-MS) analysis of M. indica

The analysis of the ethanol extract of M. indica was performed on a BUCK M910 gas chromatograph equipped with an HP-5MS column (30 m in length × 250 μm in diameter × 0.25 μm in thickness of film). Spectroscopic detection by GC–MS involved an electron ionization system that utilized high-energy electrons (70 eV). Pure helium gas (99.995%) was utilized as the carrier gas, with a flow rate of 1 mL/min. The initial temperature was set at 50°C, with an increasing rate of 3°C/min and a holding time of approximately 10 minutes. Subsequently, the temperature was elevated to 300°C at a rate of 10°C/min. A volume of one microliter of the prepared 1% extracts diluted with acetonitrile was injected in a split-less mode. The relative quantity of chemical compounds present in each of the extracts was expressed as a percentage based on peak area produced in the chromatogram. The compounds present in the extract were identified on the basis of their GC retention time as determined by the HP-5MS column and by matching their spectra with those of standards (Replib and Mainlab data of GC–MS systems) ( 13 , 14 ).

2.5. Choice of Animals and Experimental Design

The experimental model employed 25 male albino Wistar rats, with a mean initial weight of 250-300 grams, as the subject population. The animals were procured from the Department of Pharmacology at the University of Calabar in Cross River State, Nigeria. The subjects were acclimatized for a period of one week and subsequently divided into five experimental groups, designated as follows: The following substances were utilized in the study: control, low-dose M. indica (Mag (LD)), medium-dose M. indica (Mag (MD)), high-dose M. indica (Mag (HD)), and Amatem.

2.6. Administration of Extract and Drug

Animals in the extract and drug groups were administered their respective substances according to the prescribed dosage and toxicity study of the drug and extract, respectively. The Amatem group was administered 8 milligrams per kilogram of the drug dissolved in normal saline. M. indica low dose (Mag (LD)) received 400 milligrams per kilogram of the extract, M. indica middle dose (Mag (MD)) received 800 milligrams per kilogram of the extract, while M. indica high dose (Mag (HD)) received 1,600 milligrams per kilogram of the extract. The control group was provided with only water and rat chow. However, it should be noted that both the extract and drug groups were also permitted access to water and drugs. The duration of the administration period was one week (1), equivalent to seven days (7).

2.7. Hormonal Assay

The assay of testosterone, luteinizing hormone (LH), and follicle-stimulating hormone (FSH) was conducted in accordance with the enzyme-linked immunoassay (ELISA) method, as delineated by Uno et al. ( 15 ). The procurement of blood samples from the experimental animals was conducted at the conclusion of the designated administration period, employing a cardiac puncture technique to ensure the collection of the desired biological specimens. The animals were anesthetized with isoflurane. The subjects were then incised along the linea alba, thereby exposing their hearts. A syringe was utilized to collect blood from the heart via cardiac puncture. The blood was transferred into a sample bottle, and subsequently placed into the hematocrit centrifuge, which was set at 3000 revolutions per minute (RPM). This procedure was carried out with the objective of extracting the serum. The assessment of testosterone, follicle-stimulating hormone (FSH), and luteinizing hormone (LH) was conducted in accordance with the protocol stipulated by the manufacturer, utilizing ELISA commercial kits from Elabscience.

2.8. Testis Extraction, Tissue Processing and Staining

This approach was executed in accordance with the methodology established by Uno et al. ( 15 ). The induction of anesthesia was achieved by administering isoflurane (Escain®) at a concentration of 5% with airflow used as a carrier gas for 1 minute. The anterior abdominal wall was then meticulously incised using a combination of surgical instruments, including a blade, scissors, and a scalpel. The testes were accessed, removed immediately, and fixed in (10%) formalin for histological analysis. The collection of tissue samples was based on the classification of subjects into respective groups. Post-fixation of the tissues was conducted in 10% formalin fluid for a duration of 24 hours. The primary objective of the tissue fixation process was to preserve and protect the tissue during subsequent histological procedures. Following a 24-hour period, the tissues were transferred through increasing grades of dehydrating agent. The dehydrating agent employed in this study was alcohol, with concentrations of 75%, 90%, and 100%. The procedure entails two changes of 75% alcohol for a duration of one hour each. Subsequently, the tissues were immersed in 90% alcohol on two separate occasions, each for a duration of one hour, and the identical procedure was repeated for 100% alcohol. Subsequently, the tissue was subjected to a process of clearing, which entailed the use of xylene to remove the alcohol. The dehydrated tissues were then subjected to a xylene protocol, consisting of two one-hour incubations. The tissues were then infiltrated in an oven at a temperature of 60 degrees Celsius using molten paraffin. The tissues were embedded in a trough containing molten paraffin wax. This procedure was repeated on two occasions, with each iteration lasting one hour. The tissues were then transferred from the final bath into an aluminium mould filled with molten paraffin wax, with the tissues being inverted so as to face the section to be cut and further free the surface of the air bubble. The tissue was trimmed, leaving the paraffin wax around it, 3 mm thick, to ease sectioning. A rotary microtome was used to make sections of the tissues. The ribbons of the sections were gently lowered onto the surface of a warm water bath. The floated sections were mounted on slides and dried in the oven at 60 degrees Celsius for one hour before staining. The staining of tissue sections was done using Haematoxylin and Eosin method. The slides were warmed with hot plate and treated with xylene to remove the wax for 5-10 minutes. Dehydration of tissues was done through descending grades of alcohol which included two changes of absolute alcohol for 5 minutes. Thereafter, it was transferred to 95% alcohol for 5 minutes and subsequently to 70% alcohol for another 5 minutes. The tissue sections were washed in running tap water for 10 minutes after which they were stained in Haematoxylin for 15 minutes. Excess Haematoxylin was rinsed off and differentiation was done quickly using acid alcohol. This differentiator help the nucleus absorb the stain. Bluing of sections was done under running tap water for 30 minutes. It gives the stain its characteristic background. The slides were then counter stained with 1% aqueous Eosin for 5 minutes. Sections were passed through ascending grades of alcohol (70%, 95% and then two changes of absolute alcohol) for dehydration. Finally, sections were cleared in two changes of xylene and mounted on DPX and then covered with a cover slip. Subsequently, the tissues were transferred from the final bath into an aluminum mold filled with molten paraffin wax. The tissues were inverted so as to face the section to be cut and further free the surface of the air bubble. The tissue was then trimmed, leaving a 3-mm-thick rim of paraffin wax around it, which facilitated the subsequent sectioning process. The tissues were sectioned using a rotary microtome. The ribbons of the sections were then meticulously immersed in a warm water bath. The floated sections were mounted on slides and dried in an oven set at 60 degrees Celsius for a period of one hour prior to staining. The staining of tissue sections was executed in accordance with the Haematoxylin and Eosin method. The slides were then subjected to a heating process using a hot plate, followed by an xylene treatment for a duration of 5-10 minutes. This procedure was undertaken to remove the presence of wax. The process of tissue dehydration was conducted through a series of alcohol gradients, encompassing two changes of absolute alcohol for a duration of five minutes. Subsequently, the specimen was transferred to a solution of 95% alcohol for a duration of five minutes, followed by a subsequent transfer to a solution of 70% alcohol for an additional five minutes. The tissue sections were subjected to a washing process involving running tap water for a duration of 10 minutes. Subsequently, they underwent a staining procedure with Haematoxylin for a period of 15 minutes. Excess Haematoxylin was rinsed off, and differentiation was performed expeditiously using acid alcohol. This distinguishing characteristic facilitates the absorption of the stain by the nucleus. The bluing of the sections was conducted under a steady stream of tap water for a duration of 30 minutes. This characteristic background is fundamental to the aesthetic of the stain. The slides were subsequently subjected to a counterstaining process involving 1% aqueous eosin, which was carried out for a duration of five minutes. Sections were subjected to ascending grades of alcohol (70%, 95%, and then two changes of absolute alcohol) for the purpose of dehydration. Finally, the sections were cleared in two changes of xylene and mounted on DPX. Thereafter, they were covered with a cover slip. Subsequent to the collection of the samples, the slides were subjected to a drying process prior to microscopic examination. Under the microscope, photomicrographs were captured. The slides were meticulously examined under low (x100) and high (x400) magnification using a light microscope. To this end, a comparative analysis was conducted with the slides of the control group to identify any potential histological changes.

2.9. Ethical Approval

The research was approved by the Medical Research Ethics Committee, Faculty of Basic Medical Science, University of Calabar, with number 0004101 (MREC-FBMS-UNICAL-0004104). The well-being of the animals was prioritized during the experimental process.

2.10. Statistical Analysis

The values obtained from the hormonal assessment were presented as the mean ± standard error of the mean (SEM). One-way analysis of variance (ANOVA) was employed to assess differences among groups. Subsequent to this, a post hoc paired comparison analysis was executed using SPSS version 20.00. A p-value less than 0.05 was considered to be indicative of statistically significant differences in level. The data obtained from the gas chromatography-mass spectrometry (GC-MS) analysis were presented in tabular form, while the histological examination of the testes was displayed as a series of image slides.

3. Results

3.1. Oral Toxicity Study

The highest dose that demonstrated a no observed adverse effect level (NOAEL) was 2000 mg/kg body weight, whereas the dose that resulted in the least number of deaths was 4000 mg/kg. The high-dose group received 1,600 milligrams per kilogram of the active ingredient, the medium-dose group received 800 milligrams per kilogram, and the low-dose group received 400 milligrams per kilogram.

3.2. Phytochemical Compounds of M. indica

A comprehensive analysis of the M. indica ethanolic leaf extract was conducted using gas chromatography mass spectrometry, which revealed a total of forty-three compounds. The three compounds with the highest peak areas were heptadecane, pinene, and limonene, with values of 9.44%, 9.27%, and 8.00%, respectively. The retention times for these three compounds (heptadecane, pinene, and limonene) were 8.958, 20.974, and 9.806, respectively. The compounds, retention time, and percentage peak area are presented accordingly in Table 1.

S/N Compounds Retention time Peak Area (%)
1 beta.-Myrcene 6.301 0.39
2 1,2,4-trimethyl-Benzene 6.365 0.66
3 Oxirane 6.496 1.01
4 1,4-dichloro- Benzene 6.849 1.52
5 1,3-Cyclohexadiene 6.956 0.71
6 P-Cymene 7.201 1.30
7 2,2,5-trimethyl- Hexane 7.949 0.49
8 Gamma.-Terpinene 8.160 4.07
9 Decane 8.258 1.15
10 Dodecane 8.382 3.58
11 Tridecane 8.645 1.02
12 Undecane 8.700 1.55
13 Heptadecane 8.958 9.44
14 Octane 9.120 2.12
15 Decane 9.178 3.39
16 Heptadecane 9.273 3.48
17 Tetradecane 9.339 5.13
18 Undecane 9.486 1.30
19 Carbonic acid 9.543 1.30
20 Limonene 9.806 8.00
21 Heptadecane 9.917 0.59
22 2,6-Dimethyldecane 10.026 1.56
22 2,4-dimethyl- Tetradecane 10.101 2.64
23 5-Dodecene 12.027 0.51
24 Dodecane 12.262 1.81
25 Tridecane 15.109 1.89
26 5-Tetradecene 17.625 1.65
27 Dodecane 17.829 1.47
28 undec-4-ene 18.346 0.65
29 Pentadecane 20.413 1.01
30 Pinene 20.974 9.27
31 Z-8-Hexadecene 22.690 3.16
32 Hexadecane 22.860 0.50
33 Betulin 27.258 3.94
34 1,2-Benzenedicarboxylic acid 30.022 1.18
35 1-Octadecene 30.257 3.01
36 6-(Trifluoromethoxy)-N-(trimethylsilyl)-1,3-benzothiazol-2-amine Indazol-4-one 30.433 0.62
37 Ethyl Oleate 31.666 0.50
38 1-Docosene 31.814 1.54
39 1-Eicosanol 32.969 0.63
40 Bis(2-ethylhexyl) phthalate 34.008 1.50
41 Tetradecanoic acid, 2-hydroxy-, methyl ester 34.216 1.11
42 9,19-Cyclolanost-24-en-3-ol 35.582 2.11
43 5.alpha.-Cholest-8-en-3-one, 14-methyl 36.021 2.23
Table 1.Compounds of M. indica extract.

3.3. Serum Testosterone Level Among Experimental Groups

The mean ± standard error of the mean (SEM) serum testosterone levels of the control, M. indica low dose (Mag (LD)), M. indica middle dose (Mag (MD)), M. indica high dose (Mag (HD)), and Amatem were 1.10 ± 0.00 ng/mL, 1.09±0.03 ng/mL, 1.38±0.01 ng/mL, 1.51±0.05 ng/mL, and 1.61±0.14 ng/mL, respectively. A statistically significant increase in serum testosterone levels was observed among the Amatem, Mag (MD), and Mag (HD) groups compared to the control group at P < 0.05. Furthermore, a significant decrease in testosterone levels was observed among Mag (MD) and Mag (LD) subjects in comparison to the Amatem group. Conversely, a notable increase in testosterone levels was observed among Mag (MD) and Mag (HD) subjects, with levels significantly higher than those observed in Mag (LD) subjects (Figure 1).

Figure 1. Testosterone concentration in the different experimental groups.Values are expressed as mean +SEM, n = 5.* = significantly different from control at p<0.05a = significantly different from amatem at p<0.05b = significantly different from Mag (LD) at p<0.05

3.4. Serum Follicle Stimulating Hormone (FSH) Level Among Experimental Animals

The mean ± standard error of the mean (SEM) serum follicle-stimulating hormone (FSH) levels of the control, M. indica low dose (Mag (LD)), M. indica middle dose (Mag (MD)), M. indica high dose (Mag (HD)), and Amatem were 1.60 ± 0.02 mIU/mL, 1.46 ± 0.07 mIU/mL, 1.58 ± 0.03 mIU/mL, 1.65±0.02 mIU/mL, and 1.60 ± 0.04 mIU/mL, respectively. The result demonstrated a substantial decrease in FSH levels in the Mag (LD) group compared to the control, Mag (MD), and Mag (HD) experimental groups at P<0.05 (Figure 2).

Figure 2. Follicle stimulating hormone concentration in the different experimental groups.Values are expressed as mean +SEM, n = 5.* = significantly different from control at p<0.05b = significantly different from Mag (LD) at p<0.05

3.5. Serum Luteinizing Hormone (LH) Level Among Experimental Animals

The mean ± standard error of the mean (SEM) serum luteinizing hormone (LH) level of the control, M. indica low-dose (Mag (LD)), M. indica medium-dose (Mag (MD)), M. indica high-dose (Mag (HD)) groups, and Amatem were 2.17 ± 0.12 mIU/L, 2.34 ± 0.27 mIU/L, 2.54 ± 0.20 mIU/L, 2.59 ± 0.09 mIU/L, and 2.65 ± 0.16 mIU/L, respectively. The resultant data demonstrated no statistically significant differences among the experimental groups (Figure 3).

Figure 3. Luteinizing hormone concentration in the different experimental groups.Values are expressed as mean +SEM, n = 5.No significant differences

3.6. Histology of The estis Among Experimental Groups

3.6.1. Histology of the Testis In Control Group Experimental Animal

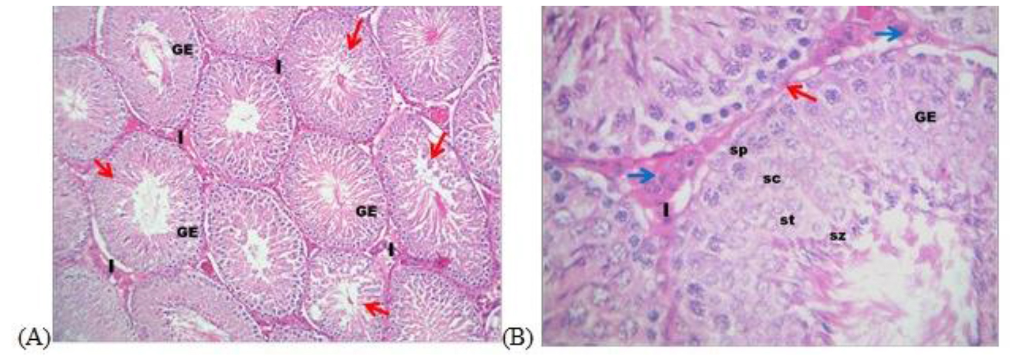
The histology of the testis in the control group of experimental animals exhibited normal histology with no alterations (Figure 4).

Figure 4. Histology section of testis in control group. Sections of the testes show normal histology. Upper plate shows seminiferous tubules (red arrow) made up of germinal epithelium (GE), and surrounded by interstitium (I). Lower plate shows constituents of germinal epithelium (GE): spermatogonia (sp), spermatocytes (sc), spermatids (st), spermatozoa (sz), and Sertoli cells (red arrow). Note the Leydig cells (blue arrow) in the interstitium (I). A= x100 magnification; B= x 400 magnification.

3.6.2. Histology of the Testis In Experimental Animal of M. Indica Low Dose Group

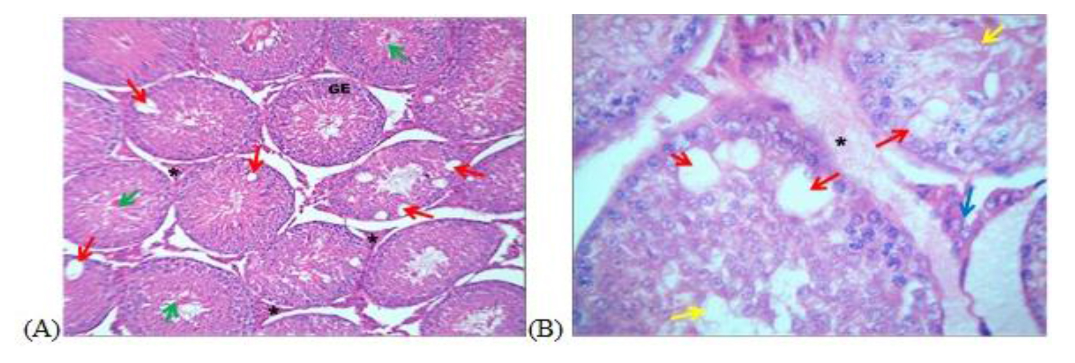
A histological analysis of the testicles from experimental animals subjected to low-dose M. indica revealed alterations in various regions of the testes. The specifics of the alterations are delineated in the following section (Figure 5).

Figure 5. Histology section of testis in M. indica Low dose group (Mag (LD)). Sections of the testes treated with 400mg/kg body weight of M. indica. Upper plate shows seminiferous tubules with increased testicular fluid content (black arrow), surrounded by edematous interstitium with sparse leydig cells (black asterisk). Lower plate shows defective spermatogenic cells (black arrow) in a severely disorganized germinal epithelium (GE) (dotted outline). Note the increased testicular fluid content (green arrow) within the lumen. The surrounding interstitium is edematous (black asterisk) with sparse leydig cells (red arrow). A= x100 magnification; B= x 400 magnification.

3.6.3. Histology of the Testis In Experimental Animal of M. Indica Middle Dose Group

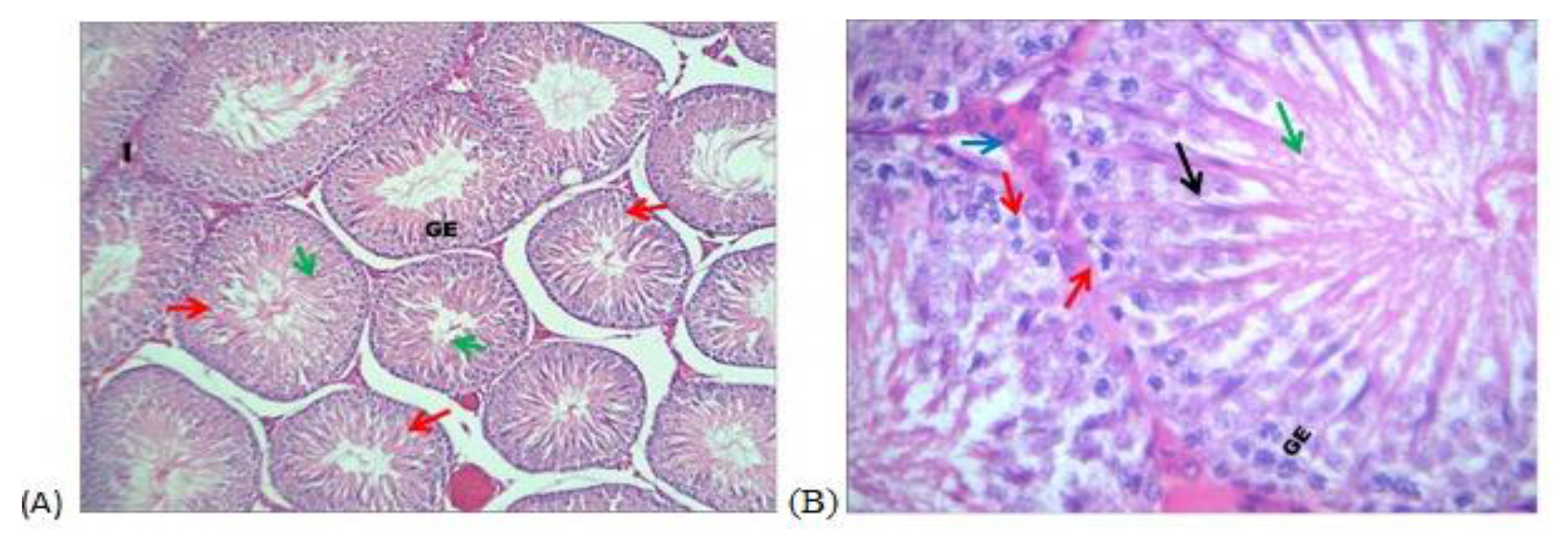
A thorough examination of the testis histology of experimental animals administered a dosage of 800 milligrams per kilogram of body weight of an ethanolic extract of M. indica leaf material revealed mild alterations, as presented below in Figure 6.

Figure 6. Histology section of testis in M. indica Middle dose group (Mag (MD)). Sections of the testes treated with 800mg/kg body weight of M. indica. Upper plate shows mild disorganization of germinal epithelium (black arrow) with normal testicular fluid content (green arrow). The surrounding connective tissue shows edematous interstitium (blue arrow) and vascular congestion (red arrow). Lower plate shows proliferation of spermatogonia (sp), hypertrophy of spermatocytes (sc), and sparse spermatozoa (sz) in a mildly disorganized germinal epithelium (GE). Note that the spermatogenic cells are normal. Observe the focal vacuolar degeneration of spermatogenic cells (black arrow). The surrounding interstitium shows leydig cells (red arrow). A= x100 magnification; B= x 400 magnification.

3.6.4. Histology of The Testis In Experimental Animal of M. Indica High Dose Group

The histological analysis of the testicles in M. indica experimental animals administered a high dose (1600 mg/kg) revealed alterations in the testicles (Figure 7).

Figure 7. Histology section of testis in M. indica High dose group (Mag (HD)). Sections of the testes treated with 1600mg/kg body weight of M. indica. Upper plate shows seminiferous tubule with multiple foci vacuolar necrosis/degeneration (red arrow) of germinal epithelium (GE); however, the testicular fluid content appears normal (green arrow). The surrounding interstitium is mildly edematous (black asterisk). Lower plate shows vacuolar necrosis of germinal epithelium (red arrow) with no recognizable spermatozoa (yellow arrow) in the adluminal compartment. The surrounding interstitium shows normal leydig cells (blue arrow); however, note the interstitial edema (black asterisk). A= x100 magnification; B= x 400 magnification.

3.6.5. Histology of the Testis of Amatem Treated Group

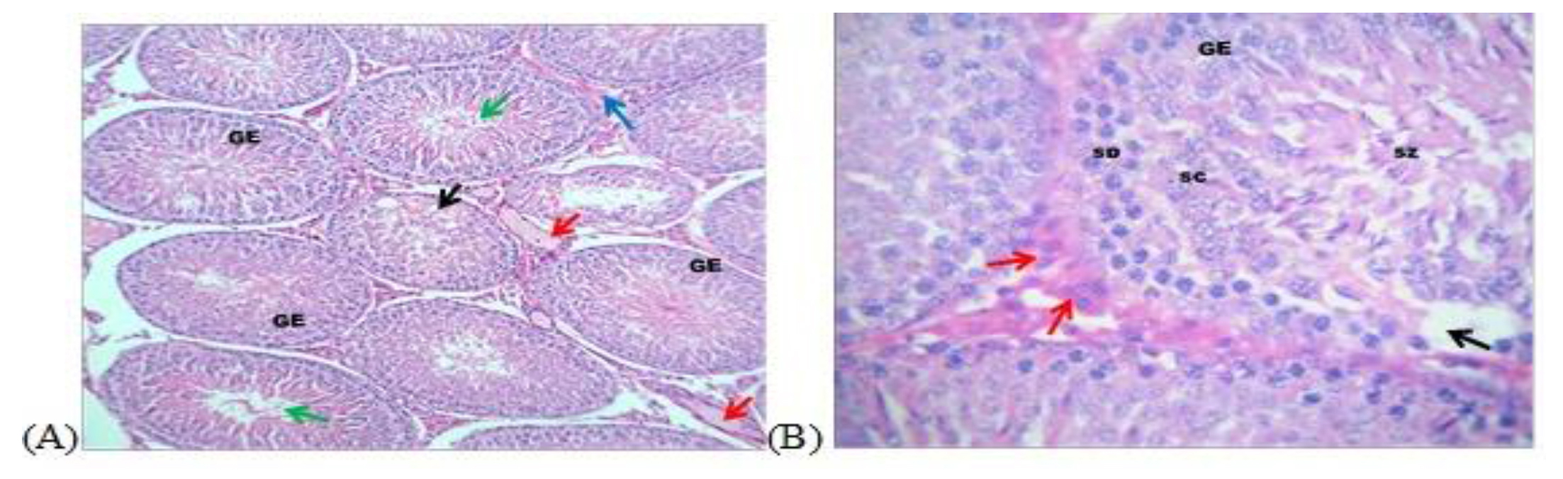
The testis of the Amatem-treated group also exhibited mild to moderate alterations, as illustrated in the subsequent figure (Figure 8).

Figure 8. Histology section of testis in Amatem group. Sections of the testes treated with 8mg/kg body weight of Amatem. Upper plate shows seminiferous tubules (red arrow) with germinal epithelium (GE) and surrounding interstitium (I). Note the increase in testicular fluid content of the luminal cavity (green arrow). The lower plate shows defective spermatogenic cells (red arrow) with normal spermatogenic cells at the adluminal region (black arrow). Note the reduction in the layers of germinal epithelium (GE). Also observe the increase in testicular fluid content (green arrow). The interstitium contains normal leydig cells (blue arrow). A= x100 magnification; B= x 400 magnification.

4. Discussion

The utilization of herbal remedies for the treatment of diseases has witnessed a consistent surge in popularity among both industrialised and non-industrialised communities, propelled by their perceived efficacy and economic accessibility. A substantial body of research has been conducted on the use of herbs, such as ginger, in the study of cytoprotection and liver function. This research has employed rats as experimental animals ( 4 , 5 ). M. indica has been the subject of research in relation to its potential anti-plasmodial activities, and findings have indicated its efficacy as a curative agent for malaria ( 8 ). This finding is particularly noteworthy in light of contradictory assertions made by other researchers. The present study was undertaken to definitively ascertain whether this extract exerts a deleterious effect on the reproductive parameters of animals. This investigation was motivated by concerns raised by some researchers that the intake of anti-malaria drugs could potentially compromise reproductive health. A comparative analysis was conducted between M. indica and Amatem, a drug that is significantly more economical than other conventional medications employed in the treatment of malaria. This study was undertaken with the objective of ascertaining which of these medications would constitute a superior remedy, with particular attention to their impact on male reproductive hormones and the histology of the testis. The findings indicated that both drugs and extracts exhibited an augmentation in testosterone levels in rats when compared to the control experimental animals. This observation suggests the potential efficacy of these agents in the management of infertility disorders associated with low testosterone levels. A number of studies have indicated that antimalarials, including chloroquine and artesunate, can have a deleterious effect on male reproductive function. However, the findings of this study suggest that amatem may emerge as a potential alternative treatment for malaria, owing to its observed beneficial effects. The results of this study indicate that limonene, with a peak area concentration of 8.00%, is a probable agent responsible for the increased testosterone levels observed in M. indica-treated groups in comparison to the control group. Researchers have documented a correction in sperm motility, count, and testosterone levels in rats following the administration of D-Limonene for age-related androgenic changes ( 16 ). The antioxidant property of limonene was attributed to this corrective function on testosterone levels. M. indica has been associated with a variety of effcts, including its antioxidant properties ( 17 ). This property is likely a function of many less harmful phytochemical compounds, as evidenced by the GC-MS study conducted in this research, including pinene, limonene, and others. The FSH levels of the extract groups at the middle and high doses did not differ significantly from the control group. However, the low-dose extract group exhibited a significantly lower response compared to the control group. This observation suggests that the middle and high doses administered in this study potentially correspond to the doses at which the effects of M. indica can be discerned. However, at these doses, the extract will have no effect on either FSH or LH, respectively. Amatem, a combination of artemether and lumefantrine, exhibited an increase in testosterone levels in animals. This outcome is inconsistent with the findings of other studies, including that of Mofio et al. ( 18 ). The observed variation in outcomes could be attributed to variations in the period and dosage of administration, as many studies suggesting testicular toxicity or damage following the administration of Artemether-Lumefantrine compounds were conducted over extended durations. Subsequent histological investigations of the testis in this study revealed mild disorientation, though not of a severe nature. Mild to moderate alterations were documented in the testis histology of the groups that had been treated with the extract. Consequently, it is advisable to administer this extract for acute durations to mitigate the potential for adverse effects over time. The distortion observed in the extract-treated groups could be indicative of an increased testosterone level as a compensatory response. Consequently, there is a possibility that extending the administration of the extract will eventually result in a reduction of testosterone levels. Further studies are imperative to elucidate the effects of various compounds present in M. indica. These studies should investigate the antimalarial and fertility functions of the compounds, as well as the effects of administering the whole extract on the histology of the testis. Should the results of this study be applicable to humans, the recommendation of either amatem or M. indica extract in treating malaria will pose a more beneficial effect on the reproductive functions of male adults. Low testosterone, FSH, and LH are common indicators of infertility. These hormones, particularly testosterone, play a pivotal role in spermatogenesis ( 19 ). Infertility may be attributable to a combination of genetic and environmental factors, with pharmaceuticals being a contributing element in this context ( 20 ). As previously stated, the anti-malarial medications chloroquine and artesunate have been observed to result in a decline in reproductive hormone levels and certain sperm quality. Amatem and M. indica have emerged as promising remedies for malaria, with studies indicating their enhanced efficacy in modulating reproductive hormones in male animals. However, it is imperative to exercise caution and avoid the prolonged use of these two substances, as evidenced by the histological findings of this study, due to the potential for adverse effects that may arise from their prolonged administration.

Limitation of the Study

The present study was centered on a phytochemical analysis of M. indica and its comparative effect with Amatem on male reproductive hormones and the histology of the testis. Further studies are necessary to ascertain the mechanism of action of the extract and the pharmaceutical agent. Furthermore, studies on female reproductive parameters are strongly encouraged. The administration of M. indica at moderate to high doses, in conjunction with Amatem, has been demonstrated to effectively address the restoration of low testosterone levels. However, it is imperative to exercise caution, as certain distortions of the testis histology of both the extract and the drug have been observed. The antioxidant property of the extract may be a possible reason for the increased testosterone levels following its phytochemical components, such as limonene and pinene.

Acknowledgment

None.

Authors' Contribution

Study concept and design: J.N.N

Acquisition of data: E.A.U

Analysis and Interpretation of Data: E.U.E., E.A.U., J.N.N

Drafting of the manuscript: E.A.U., J.N.N

Critical revision of the manuscript for important intellectual content: E.A.U

Statistical analysis: E.A.U

Administrative, technical, and material support: J.N.N., E.U.E.

Ethics

The research was approved by the Medical Research Ethics Committee, Faculty of Basic Medical Science, University of Calabar with number 0004101 (MREC-FBMS-UNICAL-0004104). The well-being of the animals was prioritized during the experimental process.

Conflict of Interest

Authors declare no conflict of interest.

Funding Statement

The present study was not the beneficiary of any particular grant from public, commercial, or not-for-profit funding agencies.

Data Availability

Should there be a need for data that support the findings of this study, they are available from the corresponding author upon reasonable request.

References

  1. Longley RJ, Malinga J, Hesping E, Sutanto E, DonVito SM, Kucharski M, et al. MAM 2024: Malaria in a changing world. Trends in Parasitology. 2024.
  2. Villavicencio F, Perin J, Eilerts-Spinelli H, Yeung D, Prieto-Merino D, Hug L, et al. Global, regional, and national causes of death in children and adolescents younger than 20 years: an open data portal with estimates for 2000–21. The Lancet Global Health. 2024; 12(1):e16-e7.
  3. Nwangwa JN, Umoh EA, Enene EU. Comparative study of Amatem and ethanol leaf extract of Mangifera indica on male reproductive hormones and histology of the testis. Archives of Razi Institute. 2025; 80(2):435-46.
  4. Umoh EA, Okoroiwu HU, Uchenwa MO, Otu E-eO, Asuquo JO, Osim EE. Comparative effect of ginger (an anti-inflammatory medicinal herb) and aspirin (a non-steroidal anti-inflammatory drug) on cytoprotection and body weight changes in male albino Wistar rats. Journal of Biological Research-Bollettino della Società Italiana di Biologia Sperimentale. 2023; 96(1)
  5. Umoh EA, Uno VK, Effiong AE, Otu E-e, Asuquo JO, Osim EE, et al. Comparative effect of ginger (an anti-inflammatory medicinal herb) and aspirin (a non-steroidal anti-inflammatory drug) on liver enzymes in male albino wistar rats. Journal of African Association of Physiological Sciences. 2023; 11(1):29-35.
  6. Shah K, Patel M, Patel R, Parmar P. Mangifera indica (mango). Pharmacognosy reviews. 2010; 4(7):42.
  7. Malann YD, Matur BM, Mailafia S. Evaluation of the antimalarial activity of aqueous leaf extracts of Casuarina equistifolia and Mangifera indica against Plasmodium berghei in mice. Journal of Pharmacy & Bioresources. 2013; 10(1):8-16.
  8. Asanga EE, Okoroiwu HU, Umoh EA, Eseyin OA, Oko MO, Okey FE, et al. Antiplasmodial Profiling of Mangifera indica&#039;s Herbal Formulation and Its Ability to Ameliorate Hematological Derangements in Plasmodium berghei-Infected Mice. Natural Product Communications. 2023; 18(12):1934578X231215937.
  9. Akilah A, Balaha M, Abd-El Rahman M-N, Hedya S. Apigenin and Baicalin, Each Alone or in Low Dose Combination, Attenuated Chloroquine Induced Male Infertility in Adult Rats. Thai Journal of Pharmaceutical Sciences (TJPS). 2018; 42(3)
  10. Olumide SA, Raji Y. Long-term administration of artesunate induces reproductive toxicity in male rats. Journal of Reproduction & Infertility. 2011; 12(4):249.
  11. Ejebe D, Ojieh A, Ovuakporaye S, Odion-Obomhense H, Adegor E, Amadi C, et al. Effects of anti-malarial alkaloids on the sperm properties and blood levels of reproductive hormones of adult men. African Journal of Biotechnology. 2008; 7(19)
  12. Reddeman RA, Glávits R, Endres JR, Clewell AE, Hirka G, Vértesi A, et al. A toxicological evaluation of mango leaf extract (Mangifera indica) containing 60% mangiferin. Journal of Toxicology. 2019; 2019(1):4763015.
  13. Buss AD, Butler MS. Natural product chemistry for drug discovery: Royal Society of Chemistry. 2010.
  14. Kelly D, Nelson R. Characterization and quantification by gas chromatography of Phytochemicals. J Braz Chem Soc. 2014; 25
  15. Uno VK, Nwangwa JN, Umoh EA, Raymond A-EM, Asuquo JO, Otu E-eO, et al. Morphology and cyto-architecture of the testis and assessment of selected biochemical parameters associated with male fertility following the consumption of tom brown weaning diet in albino wistar rats. Natural Product Communications. 2024; 19(3):1934578X241237923.
  16. SHEREEN MS, Mahmoud A, MOHAMED ZB, MOHAMED A. Effect of D-limonene on the age-related androgenic changes in male rats. The Medical Journal of Cairo University. 2020; 88(March):599-609.
  17. Phuong NTN, Ha MT, Nguyen DXT, Nguyen NY, Huynh HAT, Hau TP, et al. Development and antioxidant evaluation of mango leaf (Mangifera indica L.) extract loaded silk fibroin nanoparticles. Frontiers in Materials. 2024; 11:1419697.
  18. Mofio BM, John R, Attah OR, Adikpe AO, Usende IL. Chronic oral exposure to Artemether–lumenfantrine induced testicular and epidydimal damage, germ cell death and severe decrease sperm viability in BALB/c mice. Scientific African. 2020; 8:e00454.
  19. Umoh EA. Spermatogenesis. 2024.
  20. Onyije F. Drug: a major cause of infertility in male. Asian J Med Pharm Res. 2012; 2(2):30-7.