Prevalence of Paenibacillus larvae, the Causative Agent of American Foulbrood Disease, in Apiaries of Iran

Document Type : Original Articles

Authors

1 Danesh Alborz University, Qazvin, Iran.

2 Razi Vaccine and Serum Research Institute, Agriculture Research, Education and Extension Organization, Karaj, Iran.

10.32592/ARI.2025.80.2.399

Abstract

Honey bees are among the most crucial pollinators, significantly contributing to the growth of flowers and wild plants within ecosystems. Extensive epidemiological studies have been undertaken to identify and mitigate bacterial, fungal, and viral diseases affecting these insects. One particularly severe and highly contagious bacterial disease is American foulbrood (AFB), which impacts honey bee (Apis mellifera) larvae caused by a gram-positive bacterium known as Paenibacillus larvae. This bacterium can produce resilient spores capable of surviving for years under suitable environmental conditions. If not promptly diagnosed and addressed, AFB can infect the entire hive and potentially spread to neighboring hives. The objective of this research was to assess the prevalence of AFB disease in apiaries nationwide. From Autumn to Winter 2022, the study involved sampling adult bees and honey from 266 apiaries across various regions of the country (31 Provinces). All 532 samples were prepared using standard protocols and DNA extraction was performed. Two sets of specific primers were employed to identify the P. larvae using PCR and nested-PCR methods. The selected PCR positive samples were subsequently sequenced and phylogenetic tree constructed. Based on the findings, among 266 honeybee samples only 14 (5.26%) samples, and among 266 honey samples 42 (15.78%) samples were positive. Among 31 Provinces investigated, P. larvae infection was detected in 18 provinces (61%). The highest incidence of AFB disease was noted in the Northern Provinces (28.78%) and the central regions of the country (25.35%). Conversely, the Eastern Provinces exhibited the lowest rate of infection (5.71%), which was statistically significant. The majority of positive, honeybee samples originated from the Central Provinces, while honey samples were predominantly from the Northern Provinces. The results of this study indicate that AFB is prevalent bacterium in apiaries throughout Iran.

Keywords

Main Subjects


1. Introduction

American foulbrood (AFB) is among the most pernicious infectious diseases afflicting the larval stage of the honey bee (Apis mellifera) and other Apis spp. This ailment is caused by a gram-positive, spore-forming bacterium known as Paenibacillus larvae (P. larvae). The causative agent primarily affects the young brood of honeybee colonies, where it is capable of producing more than a billion spores in each infected larva ( 1 , 2 ). Newly emerged larvae are unintentionally fed bacterial spores, which then germinate and proliferate in the midgut of honeybees, resulting in severe septicemia ( 2 ). Inadvertently, the worker bees, in the course of extracting the deceased larvae from their cells, have been observed to disseminate these spores throughout various hive products, including honey and wax, as well as hive equipment ( 3 , 4 ). The spores of P. larvae exhibit a high degree of resilience to a variety of environmental conditions and chemical treatments. This property affords them the capacity to persist and maintain their infectivity over extended periods, ranging from decades, thereby posing significant challenges to the effective management and control of the associated diseases. Although the risk of human infection with AFB organisms is generally low, it is imperative to acknowledge the occurrence of fatal bacterial septicemia in drug users who have been injected with honey contaminated with P. larvae spores ( 5 ). In the event that clinical signs indicative of AFB infection are detected, the most efficacious measures to eradicate the spores involve incinerating the bees and equipment from the affected colonies or, if feasible, subjecting the equipment to gamma irradiation or high-velocity electron-beam irradiation. The emergence of a disease outbreak is believed to be influenced by the bees' resistance, the level of infection present, and the virulence of the pathogenic strain ( 6 ). Examining honey, larvae, and other hive materials for the presence of pathogen spores could prove beneficial in tracking outbreaks of AFB ( 7 ). The early detection of AFB helps to prevent further spread. Among various testing procedures, cultural and biochemical testing procedures are usually considered time consuming and quite expensive. While, the traditional laboratory methods including culturing of the bacteria is a gold standard, yet this method is hindered owing to the slow growth rate of P. larvae, as well as the presence of various other bacterial species in the samples ( 8 ). In contrast to conventional methods, molecular methods, particularly 16S rRNA gene have been widely utilized to explore the presence and distribution of P. larvae ( 9 ). PCR is recognized as a dependable, rapid, and commonly employed technique in microbiological diagnostics, serving as an alternative to traditional cultivation methods. Owing to the importance of this disease in apiaries in Iran the objectives of the study was to detect P. larvae using PCR-based method, which minimizes the time required for culture processing. Hence, adult honeybee and honey samples collected from different apiaries in different provinces of the country were evaluated for the presence of P. larvae by nested PCR. Also, The outbreak of a disease is theorized to be influenced by the bees' resistance, the level of infection present, and the virulence of the pathogenic strain ( 6 ). A comprehensive examination of honey, larvae, and other hive materials for the presence of pathogen spores could facilitate outbreak tracking of AFB ( 7 ). Early detection of AFB is crucial for preventing further transmission. Among the various testing procedures, cultural and biochemical testing procedures are usually considered to be time-consuming and quite expensive. Although traditional laboratory methods, including culturing of the bacteria, are regarded as the gold standard, they are hindered by the slow growth rate of P. larvae and the presence of various other bacterial species in the samples ( 8 ). Conventional methods have been superseded by molecular methods, particularly the 16S rRNA gene, in the exploration of the presence and distribution of P. larvae ( 9 ). Polymerase chain reaction (PCR) is recognized as a dependable, rapid, and commonly employed technique in microbiological diagnostics, serving as an alternative to traditional cultivation methods. Given the gravity of the disease's impact on Iranian apiaries, the study's objective was to utilize a polymerase chain reaction (PCR)-based method for the detection of P. larvae, a procedure that significantly reduces the time required for culture processing. Consequently, adult honeybees and honey samples were collected from various apiaries across different provinces of the country and evaluated for the presence of P. larvae using a nested PCR assay.

2. Materials and Methods

2.1 Sample Collection

Adult honeybees and honey samples were collected at random based on the distribution of apiaries across different provinces in the country, which had a prevalence rate of 40%, as reported by the Iranian Veterinary Organization. A total of 266 apiaries from 31 provinces were included in the study, which was conducted from autumn to winter of 2022. The population size was determined using Cochran's formula ( 10 ).

N=z2(pq)/d2

In this formula, d was set at a margin of error of 0.06, p was 0.4, q was 0.6, and the z value, representing the normal variable, was 1.97, corresponding to a 95% confidence level. Consequently, N was approximately 266. In the context of the study, a random and non-disease-specific selection of hives was made for each apiary. The bees were collected from each comb into sterile containers, with the total number of adult bees collected from each apiary exceeding 50. Subsequently, 50 grams of honey were collected in sterile containers from the designated apiary. The samples were meticulously amalgamated and subsequently conveyed to the laboratory under stringent refrigeration conditions to ensure their integrity and stability prior to utilization.

2.2 Samples Preparations

The honeybee samples were prepared in accordance with the protocol outlined by Forsgren et al. ( 11 ). Approximately 50 bees were added into 20 milliliters (0.5 milliliters per bee) of Guanidium Thiocyanate Lysis Buffers (GITC) (Thermo Fisher Scientific), and the bees were subsequently crushed with a mortar. The collected upper phase was subsequently transferred to a sterile container and subjected to centrifugation at 16,000 g for a duration of 10 minutes. The resulting mixture was filtered twice using filter paper and subsequently subjected to a centrifugation process at 3,000 revolutions per minute for a duration of 15 minutes. The resulting sediment was then dissolved in Phosphate Buffered Saline (PBS) solution, which had been adjusted to a pH level of 6.7. Additionally, honey samples were prepared by extracting 5 mL of honey and heating it at 40°C for 10 minutes. The samples were then diluted to a ratio of 1:1 with Phosphate Buffered Saline (PBS) and subjected to a centrifugation process at 6,000g for a duration of 20 minutes. The collected solution was then subjected to a process of filtration, resulting in the removal of the supernantant. The precipitate that remained was subsequently collected and dissolved in 300 µL of Phosphate Buffered Saline (PBS) buffer. The samples were stored at a temperature of -20°C until further analysis.

2.3 DNA Extraction and PCR

The extraction of deoxyribonucleic acid (DNA) from the prepared samples was conducted using the DNeasy® Mini Kit (Qiagen, Germany). Semi-nested PCR was employed to detect P. larvae spores in the prepared samples. The PCR conditions and two sets of primers (external and internal) were implemented in accordance with the protocols established by Lauro et al. ( 12 ) (Table 1). The positive control was composed of DNA extracted from a standard P. larvae CIP 104618 (Pasteur Institute, France) culture, while the negative control comprised Meliscococcus plutonius (M. plutonius) CIP and distilled water. The PCR products were then subjected to agarose gel electrophoresis, a technique that utilizes a 1% agarose gel to separate the amplified products based on their size. The amplified products were then examined using a UV trans-illuminator, a device that utilizes UV light to highlight the amplified products. The PCR products, which had an approximate size of 700 base pairs, were purified using a commercial PCR purification kit (iNtRON Biotechnology, Korea) and sequenced in both directions by MicroGen. The Republic of Korea (hereafter referred to as "South Korea") is a nation in the Korean Peninsula located in the eastern part of the Asian continent.

Primer Sequence size
External Ple-F 5’-TCGAGCGGACCTTGTGTT-3’ 969 bp
External Ple-R 5’-CTATCTCAAAACCGGTCAGAG-3’
Internal Pli-F 5’-CTTCGCATGAAGAAGTCATG-3’ 572 bp
Internal Pli-R 5’-TCAGTTATAGGCCAGAAAGC-3’
Table 1.Primer sequences used for simple and nested- PCR.

2.4 Phylogenetic Analysis

Furthermore, a selection of the isolates was subjected to 16S rRNA sequencing using primer sets that had been previously reported; specifically, Pl5: 5´-CGAGCGGACCTTGTGTTTCC-3 and Pl4: 5´-TCAGTTATAGGCCAGAAAGC-3 ( 13 ). The PCR products, which had an approximate size of 700 base pairs, were purified using a commercial PCR purification kit (iNtRON Biotechnology, Korea) and sequenced in both directions (MicroGen. Co, South Korea). The obtained sequences were then compared against the strains in the National Center for Biotechnology Information (NCBI) Blast Library (http://blast.ncbi.nlm.nih.gov). A phylogenetic tree was constructed based on the analysis of the 16S rRNA gene sequences. Evolutionary analyses were performed using MEGA 5 ( 14 ). The bootstrap consensus tree, derived from 100 replicates, was utilized to represent the evolutionary history of the analyzed taxa. This analysis encompassed a number of nucleotide sequences, with M. plutonius designated as the out-group. In instances where branches corresponding to partitions were observed in less than 50% of the bootstrap replicates, these branches were collapsed. The tree was generated using the Close-Neighbor-Interchange algorithm ( 15 ), with a search level of 1, where the initial trees were created through the random addition of sequences (10 replicates). The tree is scaled, with branch lengths calculated using the average pathway method, expressed in terms of the number of changes across the entire sequence. Positions containing gaps and missing data were excluded from the analysis.

2.5 Statistical analyses

The population size was evaluated using Cochran's formula ( 10 ) to determine the number of apiaries for sampling. The results of the molecular process were subsequently subjected to evaluation through the implementation of descriptive statistics.

3. Results

In the present study, several honey and honeybee samples collected from apiaries located in different parts of the country tested positive for P. larvae by nested PCR analysis, indicating its presence in these specimens. During the course of nested PCR analysis, the positive samples exhibited a DNA band of approximately 969 and 572 base pairs, as predicted by the external and internal primer sets that were previously mentioned. Table 2 presents a distribution map of PCR-positive samples across various provinces. As detailed in Table 2, out of 266 suspected honeybee samples, only 14 (5.26%) were found to be infected with P. larvae. A total of 31 provinces were included in the study, and only 10 of these reported positive samples for P. larvae. Meanwhile, 19 provinces did not yield any positive colonies. In the course of the present study, the highest percentage of infected honeybees was observed in Zanjan, followed by Hormozgan. In these locations, 50% of the samples tested positive for the bacterial agent in question (Figure 1). The prevalence of P. larvae infection was observed to be higher in honey samples compared to honeybee samples. A total of 266 honey samples were collected from 31 provinces, and 27 samples (15.78%) from 14 provinces were confirmed positive via PCR. The highest levels of P. larvae infection in honey samples were observed in samples from Tehran and Gilan, with infection rates of 80% and 64.28%, respectively. A total of six provinces—namely, Kurdistan, Fars, Tehran, Khorasan-e-Razavi, Zanjan, and Gilan—exhibited the presence of P. larvae in both honeybee and honey samples. Meanwhile, 13 provinces reported no positive findings for either category. The remaining provinces exhibited a positive response to both honeybee and honey samples. In summary, of the total 522 honeybee and honey samples that were examined, 56 samples (10.52%) were found to be positive for P. larvae. The percentage of P. larvae contamination in different provinces is shown in Table 2. As demonstrated in the empirical evidence, the highest rates of contamination were observed in the Northern Province of the country (7.14%), followed by Markazi (0.76%), West (4.13%), and South (2.25%), respectively. The Eastern Provinces demonstrated the lowest infection rate among the samples, with a percentage of 0.75%. Subsequently, the PCR-positive samples were subjected to 16S rRNA analysis. The obtained sequences were then subjected to analysis by BLAST at NCBI GenBank, after which a phylogenetic tree was constructed. As illustrated in Figure 2, the bootstrap values at the branching points were notably high, suggesting a high degree of confidence in the reconstruction of the phylogenetic tree. Given that the percentage of similarity of the sequenced samples was evaluated to be higher than 99%, it seems that strain diversity was less observed in this study. Despite the occurrence of gene mutations in specific regions of the country, a lack of significant genetic diversity was observed. As illustrated in this figure, the sequenced samples from Tehran and Alborz Provinces share a common origin and exhibit a high degree of similarity. This phenomenon can be attributed to the geographical proximity of the two provinces, which are situated in close proximity to each other. However, it is noteworthy that this similarity in demographics can also be observed in provinces that are significantly more distant from each other. As illustrated in Figure 3, a high bootstrap value was observed at the majority of the branching points in the tree, indicating a high degree of confidence in the phylogeny tree. However, the Bootstrap value has decreased at several branching points, while M. plutonius sequences are located on the same branch and have a common ancestor. These sequences exhibit the highest degree of similarity to Paenibacillus amylolyticus (P. amylolyticus) and Brevibacillus latrasporus (B. latrasporus). Indeed, these bacteria have been isolated by a clade from other P. larvae from different regions of the country, with the exception of the sequences isolated from bacteria from Kurdistan and Hormozgan. This may be the reason for their divergence from other studied species due to mutations in these sequences. It is important to consider the possibility that geographical location and different climatic conditions over time may have led to mutations in the DNA of these species. Consequently, the genetic distance resulting from these events in the sequences can exceed the difference obtained from the percentage comparison of the two sequences.

Provinces Total Honeybee samples Positive samples Total Honey samples Positive samples
Qom 2 1 2 0
West Azerbaijan 17 0 17 2
North Khorasan 7 0 7 0
Chaharmahal and Bakhtiari 7 1 7 0
South Khorasan 3 0 3 0
Zanjan 6 3 6 2
Isfahan 10 0 10 0
Khorasan-e-Razavi 18 1 18 1
Tehran 10 1 10 8
Markazi 5 0 5 0
Yazd 2 0 2 0
Ilam 8 0 8 1
Boushehr 3 0 3 0
Ardabil 4 0 4 1
Alborz 6 1 6 0
East Azerbaijan 15 0 15 3
Golestan 10 0 10 0
Lorestan 10 0 10 2
Hamedan 10 0 10 0
Qazvin 4 0 4 1
Kermansha 13 0 13 4
Kerman 7 0 7 0
Mazandaran 22 0 22 3
Hormozgan1 1 1 0
Gilan 14 3 14 9
Kohgiluyeh and Boyer-Ahmad 8 0 8 0
Kurdistan 8 1 8 1
Fars 21 1 21 4
Sistan and Balochistan 7 0 7 0
Semnan 2 0 2 0
Khuzestan 5 0 5 0
Total 266 14(5.26%) 266 42(15.78%)
Table 2.Results of PCR detection of P. larvae for honeybee and honey samples.

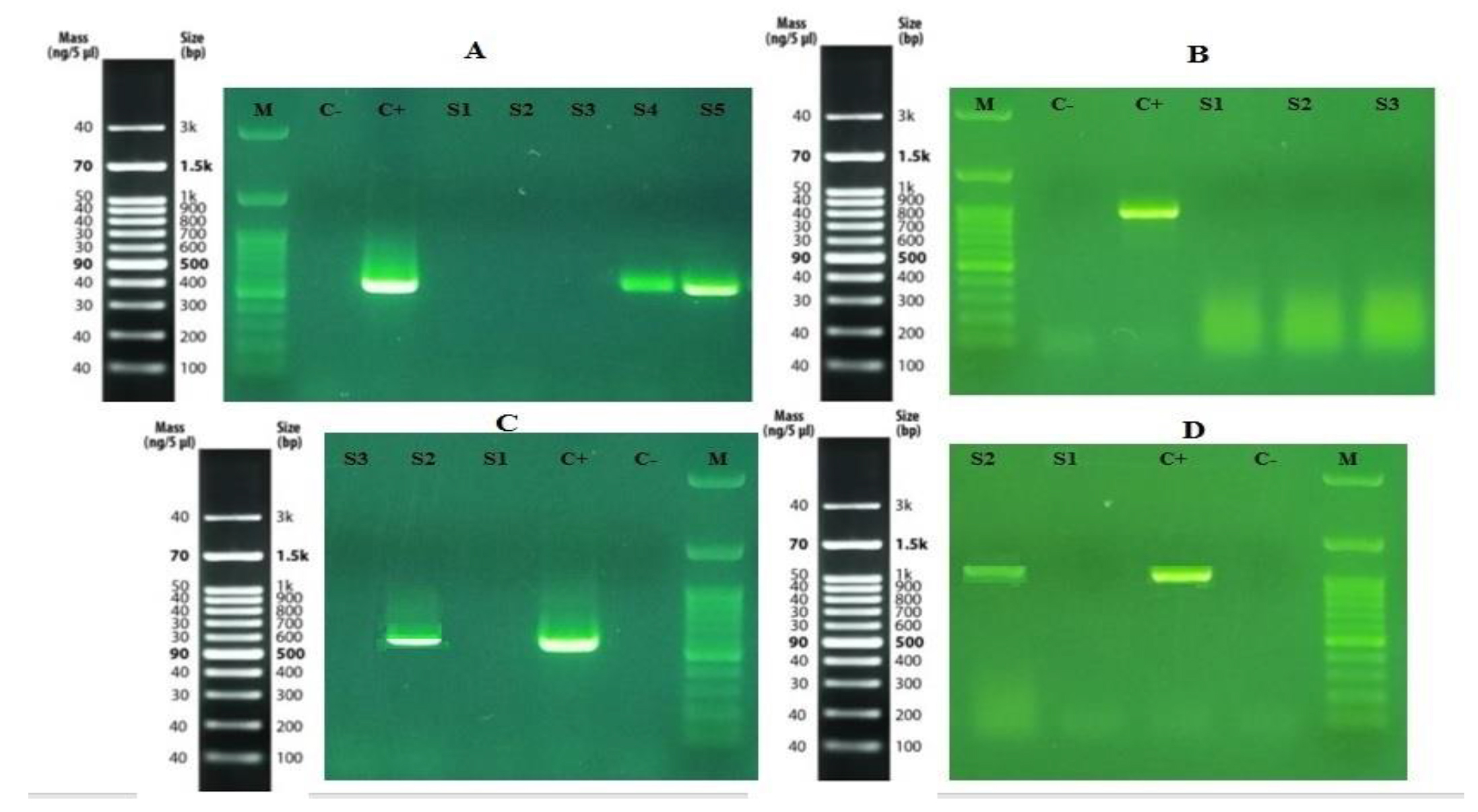
Figure 1. Nested-PCR products on 1.2 % agarose gel electrophoresis for P. larvae. (B and D figures illustrate the first step using external primers for honeybee and honey samples, respectively, and A and C figures illustrate the second step using internal primers for honeybee and honey samples, respectively). M: Ladder; C-: Negative control; C+: Positive control; S1-S5: Studied samples.

Figure 2. Phylogenetic tree and evolutionary relationships of nucleotide sequences of P. larvae bacterium.

Figure 3. Phylogeny tree of sequences of P. larvae isolates compared with other bacterial species associated with honey bee diseases such as M. plutonius, P. amylolyticus and B. latrasporus.

4. Discussion

The initial PCR assay intended for the identification of P. larvae was developed by Govan et al. and was based on the 16S rRNA gene ( 9 ). Subsequently, Dobbelaere et al. introduced a comparable test that demonstrated improved specificity ( 16 ). However, these methods were not without their limitations. Subsequently, Lauro et al. developed a nested-PCR protocol that enabled direct examination of honey and hive samples. This assay has been demonstrated to exhibit high sensitivity to P. larvae DNA, allowing for the detection of P. larvae levels below thresholds typically associated with disease significance ( 12 ). In this study, the nested-PCR method described by Lauro et al. ( 12 ) was utilized for detecting P. larvae in honeybees and honey samples collected from apiaries across the country. According to the reports of the World Organization for Animal Health (WOAH), cases of African swine fever (ASF) in honeybees have been documented in Europe ( 3 ). The initial reports of the infection indicated its emergence in Finland, followed by subsequent reports from South Africa, North and South America, and Australia. The epidemiology of AFB disease reveals its pervasive distribution across all geographical regions, underscoring its year-round prevalence. This is attributable to the egg-laying cycle of the queen and the presence of larvae within the colonies. The etiological agent of AFB has been isolated from honeybee and honey samples starting as early as 1992. As stated by Steinkraus and Morse ( 17 ), the presence of the spores of P. larvae was detected in honey samples collected from various regions across America and Canada. Subsequent to that point in time, a considerable number of reports have come to light, indicating the widespread presence of the aforementioned disease in apiaries around the world. More recently, Hristov et al. ( 18 ) demonstrated the presence of ERIC 1 strains of P. larvae in honey, wax, and larvae samples collected from South Africa. Subsequently, Wilhelm et al. ( 19 ) identified positive samples for P. larvae in honey and larvae specimens collected from Lower Austria by means of RT-PCR. In Iran, numerous reports have indicated the presence of the etiological agent of AFB disease in honey and larval samples collected from various regions of the country. As previously mentioned, among the honeybee bacterial diseases, AFB is more harmful than other diseases. The reason for their higher destructive nature might be the lack of proper and timely diagnosis of the disease. If the disease is diagnosed in a timely manner and preventive methods are employed, the amount of damage could be significantly reduced to an acceptable level. Consequently, the investigation and identification of apiaries infected with AFB in Iran is of significant importance. In Iran, a limited number of studies have been conducted on the diagnosis of this disease in honey and bee samples from several provinces. These studies have revealed the presence of the disease in the examined hives ( 20 - 22 ). In the present study, efforts were made to select and examine suspected honey and honeybee samples from all provinces of Iran for the presence of P. larvae. A total of 532 honey bee samples and honey samples were collected from apiaries in 31 provinces of Iran. These samples were then investigated for the presence of Africanized bees (AFB) by means of nested-PCR analysis. The findings reveal that Tehran and Gilan Provinces exhibited the highest percentage of infected samples compared to other regions. This serves as a significant alert for local beekeepers and the corresponding provincial veterinary authorities. If the disease remains unaddressed, there is a risk of it spreading to adjacent provinces. A study of the honeybees in the provinces of Iran revealed that approximately 28.78% of the honeybees in the Northern Provinces were found to be infected with P. larvae, followed by the Central region (25.35%), the Southern provinces (21.42%), the Western Provinces (19.64%), and the Eastern Provinces (5.7%), in that order. These results indicate that the Northern, Central, and Southern provinces have the highest infection rates, while the Western and Eastern provinces have the lowest. According to the statistics, Northern Provinces demonstrated the highest levels of contamination, while the Eastern Provinces exhibited the lowest levels. In a study, 71 samples of larvae, honey, and beeswax from five provinces in South Africa were investigated for the presence of AFB disease. The findings of the researchers indicated that 23 of the 71 samples (32.4%) were infected with P. larvae. Of these infected samples, 19 samples were larvae, 2 samples were wax, and 2 samples were honey ( 18 ). In Iran, a number of positive P. larvae samples have been detected by culture and PCR analysis. Yousef Khani and Lotfi ( 23 ) reported that approximately 5.8% of honey samples in northwest Iran were infected with P. larvae. In 2011, Moeinfar et al. examined 54 samples of suspected larvae and 36 honey samples in Iran during 2009-2010 for the presence of P. larvae spores by PCR and culture on MYPGP plates. In a study of 54 larvae, 5 samples (9.3%) were positive for bacterial spores, as determined by both culture and PCR methods. Similarly, in a study of 36 honey samples, 13.9% were positive for bacterial spores, also using both culture and PCR methods ( 24 ). Moharrami et al. ( 25 ) conducted a study on the molecular epidemiology of the disease in a regional context within apiaries across eight provinces of the country. A total of 48 samples, including bees, honey, and honeycomb debris, were collected and subjected to nested PCR analysis. Of the 48 bee samples examined, 14 were positive (29.16%), of the 48 honey samples examined, 16.33% were positive, and of the 48 honeycomb debris samples examined, only 10.41% were positive. The researchers' findings indicate that the collection of honey samples is a more valid and reliable method than other samples for epidemiological and surveillance studies of P. larvae infection. According to the reports, the presence of bacterial spores can be detected not only in adult bees but also in other components of the hive, such as wax and combs. In the present study, the highest number of positive results was observed in honey samples (21.7%), which may be attributable to the nature of the sample. Honey is a superior preservative for bacterial spores, and in certain instances, even symptomless hives may contain some bacterial spores. In their studies, Moharrami et al. ( 25 ) reported that approximately 14% of honey samples from apiaries in Tehran province were infected with this bacterium. The results of their study indicated that the detection of the disease using honey samples, and in the next priority, adult bees, has a higher prognostic value compared to identifying bacteria in wax, pollen, and honeycomb floor debris samples. The presence of spores in honey samples has the potential to facilitate the early detection of the disease, thereby preventing the infection of the entire hive. However, it is imperative to acknowledge that adult bees infected with spores of the bacterium in question pose a heightened risk to the hive. This is due to their direct interaction with larvae, which results in the consumption of the larvae and the potential for rapid disease propagation within the hive or the entire apiary. The phylogenetic tree constructed for P. larvae isolated from Iranian apiaries exhibited high bootstrap values at the branching points, signifying a strong confidence in the tree's accuracy. A bootstrap value that exceeds 70% corresponds to a probability greater than 95%, suggesting that the confidence level for the topology of the internal nodes is acceptable. The finding that the similarity percentage among the sequenced samples in this study surpassed 99% suggests that the diversity of circulating P. larvae strains within the country is remarkably low. Despite the observation of gene mutations in specific provinces, no substantial genetic diversity was identified. Furthermore, the sequenced samples from Tehran and Alborz provinces share a common origin and exhibit considerable similarity, likely attributable to their geographical proximity. This similarity is also evident in provinces that are considerably distant from one another. In the construction of the phylogenetic tree for P. larvae strains alongside other bacterial species associated with honey bee diseases, such as M. plutonius, P. amylolyticus, and B. latrasporus, high bootstrap values were noted at most branching points, reinforcing the reliability of the phylogenetic tree. However, a few branching points exhibited a decline in bootstrap values. It is noteworthy that the sequences of M. plutonius are positioned on a branch with a common ancestor, thereby demonstrating the highest degree of similarity to P. amylolyticus and B. latrasporus. These bacteria are distinctly separated by a clade from other P. larvae from various regions of the country, with the exception of sequences isolated from Kurdistan and Hormozgan Provinces, which likely diverged from other studied species due to mutations in these sequences. It is evident that the geographical location and divergent climatic conditions experienced by these species over time may have precipitated mutations in their DNA. Consequently, the genetic distance resulting from these events in the sequences can exceed the difference obtained from the percentage comparison of the two sequences. The present study revealed that apiaries in the majority of the provinces exhibited signs of infection with the aforementioned disease. This finding underscores the necessity for the implementation of preventive strategies, as the spores are transmitted to the larvae via the feeding of adult bees. Subsequent to this transmission, the spores enter the digestive system of the young larvae, where they proliferate and mature. This process culminates in the destruction of the larvae and the subsequent decomposition of their bodies, thereby facilitating the dissemination of the disease throughout the hive. In this study, nested-PCR was used to detect P. larvae, the causative agent of African foulbrood (AFB) disease, in honey bee samples and honey samples. The findings indicate that nested-PCR is a suitable method for rapid screening of samples for the presence of P. larvae. The results of the study further indicate that, in addition to honeybees, honey samples could carry P. larvae spores. These spores can be easily identified through a process known as polymerase chain reaction (PCR) testing. It can be concluded that the implementation of timely prevention and control measures is imperative, particularly in areas susceptible to the disease, to mitigate the significant and potentially irreparable risk to the apiaries in the region and surrounding areas. The most effective strategy to prevent the spread of this contagious disease, particularly in areas where there is a high risk of infection, is to implement effective prevention and control measures. The increase in African fumigated bees (AFB) disease in infected apiaries has led to an elevated risk of transmission to healthy hives in neighboring apiaries. This ongoing transmission cycle can result in significant and irreparable losses for beekeepers if not addressed effectively. This transmission can occur through the theft of honey by adult bees, the transfer of infected equipment, or the replacement of an infected queen in a healthy hive. It can also occur through the actions of the beekeeper himself by using infected honey.

Acknowledgment

The authors would like to express their gratitude to the Iran Veterinary Organization for their assistance in sample collection. This research was supported by Razi Vaccine and Serum Research Institute [grant number: 12-18-18-020-01019-010418].

Authors' Contribution

Study concept and design: N.M, H.M.M and M.M.

Acquisition of data: N.M, N.H.R, H.M.M and M.T.

Analysis and interpretation of data: N.M, N.H.R, H.M.M, M.T and M.B.

Drafting of the manuscript: N.M.

Critical revision of the manuscript for important intellectual content: N.M and M.B.

Statistical analysis: N.M and M.B.

Administrative, technical, and material support: N.M, H.M.M, M.M, M.T and M.B.

Ethics

Not applicable.

Conflict of Interest

The authors declare that there is no conflict of interest.

Data Availability

The data that support the findings of this study are available on request from the corresponding author.

References

  1. Afonso C, Miller P, Grund C, Koch G, Peeters B, Selleck P, et al. Manual of diagnostic tests and vaccines for terrestrial animals. Paris: World Organization for Animal Health; 2012.
  2. Applegate JR, Kyle B. Honey Bee Veterinary Medicine, An Issue of Veterinary Clinics of North America: Food Animal Practice, E-Book: Honey Bee Veterinary Medicine, An Issue of Veterinary Clinics of North America: Food Animal Practice, E-Book: Elsevier Health Sciences; 2021.
  3. Cochran WG. Sampling techniques: john wiley & sons; 1977.
  4. Dobbelaere W, de Graaf DC, Peeters JE. Development of a fast and reliable diagnostic method for American foulbrood disease (Paenibacillus larvae subsp. larvae) using a 16S rRNA gene based PCR. Apidologie. 2001; 32(4):363-70.
  5. Ebeling J, Pieper F, Göbel J, Knispel H, McCarthy M, Goncalves M, et al. Anti-virulence strategy against the honey bee pathogenic bacterium paenibacillus larvae via small molecule inhibitors of the bacterial toxin Plx2A. Toxins. 2021; 13(9):607.
  6. Forsgren E, Stevanovic J, Fries I. Variability in germination and in temperature and storage resistance among Paenibacillus larvae genotypes. Veterinary microbiology. 2008; 129(3-4):342-9.
  7. Govan V, Allsopp M, Davison S. A PCR detection method for rapid identification of Paenibacillus larvae. Applied and Environmental Microbiology. 1999; 65(5):2243-5.
  8. Hristov YV, Le Roux JJ, Allsopp MH, Wossler TC. Identity and distribution of American foulbrood (Paenibacillus larvae) in South Africa. Journal of Apicultural Research. 2023; 62(2):303-10.
  9. Khezri M, Moharrami M, Modirrousta H, Torkaman M, Rokhzad B, Khanbabaie H. Prevalence of American foulbrood in asymptomatic apiaries of Kurdistan, Iran. Veterinary world. 2018; 11(3):281.
  10. Lauro FM, Favaretto M, Covolo L, Rassu M, Bertoloni G. Rapid detection of Paenibacillus larvae from honey and hive samples with a novel nested PCR protocol. International Journal of Food Microbiology. 2003; 81(3):195-201.
  11. Matović K, Žarković A, Debeljak Z, Vidanović D, Vasković N, Tešović B, et al. American Foulbrood—Old and always new challenge. Veterinary Sciences. 2023; 10(3):180.
  12. Modirrousta H, Moharrami M, Torkaman M. Development of PCR method for diagnosing of honey bee American Foulbrood disease. 2012.
  13. Moeinfar N, Modirrousta H, Moharrami M. Detection of Paenibacillus larvae larvae spores in honey and diseased larvae Samples by culture and PCR. Archives of Razi Institute. 2011; 66(2):101-7.
  14. Moharrami M, Modirrosta H. Survey of contamination rate of Paenibacillus larvae larvae spores (the causative agent of American foulbrood) in the produced honeys in apiaries of Tehran province by culture and PCR. J Sci Technol. 2015; 10:1-10.
  15. Moharrami M, Mojgani N, Bagheri M, Toutiaee S. Role of honey bee gut microbiota in the control of American foulbrood and European foulbrood diseases. Archives of Razi Institute. 2022; 77(4):1331.
  16. Morrissey BJ, Helgason T, Poppinga L, Fünfhaus A, Genersch E, Budge GE. Biogeography of P aenibacillus larvae, the causative agent of American foulbrood, using a new multilocus sequence typing scheme. Environmental microbiology. 2015; 17(4):1414-24.
  17. Nei M, Kumar S. Molecular evolution and phylogenetics: Oxford university press; 2000.
  18. Nofouzi K, Razmaraii N. Investigation of Paenibacillus larvae subspecies larva of honey bee (Apis mellifera) colonies in East Azerbaijan Province of Iran. 2015.
  19. Pernal S, Clay H. Honey bee diseases and pests. Canadian Association of Professional Apiculturists, Beaverlodge, AB. 2013.
  20. Piccini C, D'alessandro B, Antunez K, Zunino P. Detection of Paenibacillus larvae subspecies larvae spores in naturally infected bee larvae and artificially contaminated honey by PCR. World Journal of Microbiology and Biotechnology. 2002; 18:761-5.
  21. Rieg S, Bauer TM, Peyerl-Hoffmann G, Held J, Ritter W, Wagner D, et al. Paenibacillus larvae bacteremia in injection drug users. Emerging infectious diseases. 2010; 16(3):487.
  22. Steinkraus K, Morse R. American foulbrood incidence in some US and Canadian honeys. Apidologie. 1992; 23(6):497-501.
  23. Tamura K, Peterson D, Peterson N, Stecher G, Nei M, Kumar S. MEGA5: molecular evolutionary genetics analysis using maximum likelihood, evolutionary distance, and maximum parsimony methods. Molecular biology and evolution. 2011; 28(10):2731-9.
  24. Wilhelm E, Korschineck I, Sigmund M, Paulsen P, Hilbert F, Rossmanith W. Monitoring of Paenibacillus larvae in Lower Austria through DNA-based detection without de-sporulation: 2018 to 2022. Veterinary Sciences. 2023; 10(3):213.
  25. Yusefkhani M, Lotfi A. Incidence of Foulbrood in Honey Bee of Eastern Azerbaijan Province, Northewest of Iran. Academic Journal of Entomology. 2010; 3:37-8.