Design, Development and Immunogenic Evaluation of a Novel Lipl32 Recombinant Protein of Local Pathogenic Leptospira Serovars

Document Type : Original Articles

Authors

1 Department of Biology, Science and Research Branch, Islamic Azad University, Tehran, Ira

2 Department of human vaccines and serum, Razi Institute, Karaj, Iran

3 Department of Microbiology, Razi Vaccine and Serum Research Institute, Agricultural Research, Education and Extension Organization (AREEO), Karaj, Iran.

4 Department of Biotechnology, Razi Vaccine and Serum Research Institute, Agricultural Research, Education and Extension Organization (AREEO), Karaj, Iran member

5 Department of Biology, Science and Research Branch, Islamic Azad University, Tehran, Iran

10.32592/ARI.2025.80.1.103

Abstract

Leptospirosis is a significant yet often ignored zoonotic disease found globally, especially in tropical and subtropical regions. Its symptoms frequently lead to misdiagnosis as they resemble those of other infectious diseases. The design of rapid diagnostic tests or detection of possible vaccine candidates against leptospirosis can be challenging. Surface-exposed antigens are located on the outer layer of Leptospira, and these virulence factors likely contribute to the initial interactions between the host and the pathogen.Lipl32 is highly conserved and exclusively produced by pathogenic Leptospires and has a significant role as a prominent immunogen in leptospirosis. The goal of this study is to establish the ideal conditions for the expression and purification of the rLipl32 protein of Iranian pathogenic leptospira and to assess its ability to stimulate cellular and humoral immune responses.
All Lipl32 protein sequences were analyzed from the NCBI database. Codon sequences of serovars were designed and synthesized, and one local dominant Lipl32 pattern was selected after optimization. The construct was sub-cloned into a pET32a+ vector with His-tag and Trx, then transformed into E.coli (BL21) for expression using IPTG. Then purified, and confirmed by immune blotting. BALB/c Mice (4-6 weeks old) were vaccinated with 3 doses containing 50 mg of rLipl32, at a 14-day interval, and compared with controls. The humoral immune response and the cytokine profile were evaluated using an indirect sandwich ELISA test.
Results showed that rLipl32 protein was highly expressed in the presence of 0.5 mM IPTG after 16 hours of incubation at 22°C. The optimal conditions for the Ni-NTA pull-down involved a one-hour binding period at 37°C, followed by five washing steps and the use of an elution buffer with a pH of 7.4 and a 0.3 mM concentration of imidazole and successfully purified in soluble form. The administration of rLipl32 led to strong total antibody titers (p < 0.05) and dramatically increased cytokine levels (P < 0.05). In conclusion, rLipl32 could strongly stimulate specific humoral and cellular immune responses. It has been suggested that it could be further utilized for immune-dominant Lipl32-based diagnosis and has potential as a candidate to be a subunit vaccine.

Keywords

Main Subjects


1. Introduction

Leptospirosis is a disease caused by pathogenic Leptospira bacteria and is deemed to be the most common re- emerging zoonosis worldwide, resulting in high mortality and morbidity ( 1 , 2 ). From a financial perspective, it is considered to be a huge burden for health systems and farming sectors ( 3 , 4 ). A global study on this disease showed that almost 100,000 severe cases are reported annually ( 5 ). This disease is transmitted via occupational exposure or travel, by direct or indirect contact with contaminated water, soil or the urine of animals ( 1 , 5 , 6 ). Although various organs can be affected, the lungs and kidneys have often been identified as the main targets for invasion ( 7 , 8 ). The diagnosis remains challenging, since this illness is frequently misdiagnosed with other febrile diseases possessing similar symptoms Therefore, vaccination is considered to be a practical alternative for its management. Leptospirosis, an illness caused by pathogenic Leptospira bacteria, is regarded as the most prevalent emerging zoonosis on a global scale. It is associated with a high mortality and morbidity rate ( 1 , 2 ). From a financial perspective, it is considered to be a significant financial burden for health systems and agricultural sectors ( 3 , 4 ). A global study on the disease revealed that nearly 100,000 severe cases are reported annually ( 5 ). The disease is transmitted through occupational exposure or travel, by direct or indirect contact with contaminated water, soil, or the urine of infected animals ( 1 , 5 , 6 ). While the disease has the potential to affect various organs, it predominantly targets the lungs and kidneys ( 7 , 8 ). The diagnosis of the disease is challenging because it is frequently misdiagnosed with other febrile diseases that present with similar symptoms ( 8 , 9 ). Therefore, vaccination is considered a practical alternative for its management. In certain countries, whole-cell or inactivated vaccines have been authorized for utilization in animals with the objective of preventing various types of Leptospira infections and safeguarding humans by mitigating the transmission of disease ( 10 , 11 ). However, these vaccines have limitations, including a lack of cross-protection against heterologous serovars and the inability to provide long-term protection. Furthermore, these vaccines have been associated with the occurrence of adverse effects ( 12 , 13 , 14 ). Outer membrane proteins (OMPS), which are expressed on the surface of pathogenic strains, are also of interest in this regard ( 15 , 16 ). A significant body of research has identified numerous OMPs and demonstrated their ability to bind to the extracellular matrix of host cells. The interaction of these proteins with host factors, coupled with the growing understanding of OMPs, has prompted some researchers to explore their potential as vaccine candidates and diagnostic tools ( 17 , 18 ). The diagnosis based on recombinant proteins offers certain advantages and can circumvent the issues associated with culture-based techniques ( 19 , 20 ). The largest category comprises lipoprotein OMPS, which are designated based on their molecular weights and constitute a substantial proportion of the outer membrane in comparison to other proteins.This group encompasses Lipl21, Lipl32, Lipl36, Lipl41, Loa22, and others ( 15 , 21 , 47 ). Of particular interest is Lipl32 (also known as Hap1), a 32-kDa lipoprotein exclusively present in the outer membrane of pathogenic bacteria ( 22 , 23 ). This protein has been identified in patients' sera and has been expressed both in vitro and in vivo in the early phase of infection ( 24 ). Lipl32, a protein that exhibits significant conservation among pathogenic Leptospira species, serves as a reliable target for diagnostic testing and research on leptospirosis. It is anchored to the outer membrane through a cysteine-bound fatty acid at the N-terminal and interacts with zymogen plasminogen, which generates plasmin ( 25 , 26 ). Additionally, Lipl32 has been observed to bind to the proteoglycan receptors present on the cell surface. This protein is regarded as being highly immunogenic and has been the subject of extensive investigation as a potential diagnostic candidate for leptospirosis and the development of a subunit vaccine ( 27 - 29 ). Humoral responses were previously considered adequate for immunity against the disease; however, recent studies have highlighted the critical role of cell-mediated responses, specifically Th1 lymphocytes, in combating infections. These responses involve the activation of macrophages, leading to the production of gamma interferon (IFN-γ), which in turn facilitates the destruction of bacteria ( 30 ). The Th2-mediated immune response is commonly linked to interleukin-4 (IL-4) secretion, and it has been stated that the induction of IL-4 could play a significant part in augmenting antibody production ( 31 , 32 ). Given the paucity of reports on the production and immunological assay of Lipl32 in Iranian local isolates, the present study focused on the expression, purification, and assessment of immune responses to rLipl32 from pathogenic Leptospira among Iranian serovars.

2. Materials and Methods

2.1. Bioinformatics Studies and Construction of the pET32-Lipl32 plasmid Synthesis of Codon-Optimised Lipl32 Gene

In this study, all local prevalent pathogenic Leptospira serovars were investigated, including the six standard serovars: Canicola, Autumnalis, Hardjo, Icterohaemorrhagiae, Pomona, and Grippotyphosa were obtained from the reference laboratory of Leptospira at Razi Vaccine and Serum Research Institute in Iran. A total of 24 complete coding sequences of Lipl32 protein deposited in GenBank until August 2017 in the NCBI database were collected using the BLAST online software (https://blast.ncbi.nlm.nih.gov/Blast.cgi) (Table 1). A comparative analysis of the protein sequences was conducted using the Meg Align software. The local Lipl32 protein pattern was then employed as the foundation for the construct design, taking into account the observed polymorphisms. The initial 20 amino acids in the signal peptide of Lipl32 were excised, and 756 coding nucleotide sequences were optimized by the Codon Optimization tool (Figure 1). Two recognition sites, EcoRI and XhoI, were strategically incorporated into the flanks of the Lipl32 nucleotide sequence.Subsequently, the three-dimensional structure of the selected sequence was thoroughly analyzed using Expasy software. The DNA sequence was synthesized by General Bio Systems, Inc., USA. The synthetic DNA was subsequently cloned into the pET32a+ expression plasmid, resulting in the creation of the pET32a+-Lipl32 recombinant vector. The N-terminal TRX tag sequence was selected to enhance the solubility of the recombinant Lipl32 protein. The c-terminal of Lipl32 was modified with six histidine residues to facilitate affinity purification by nickel resin.

No. Accession No Serovar
1 AY609325 Australis
2 AB094437 Australis
3 AB094435 Autumnalis
4 AY609324 Autumnalis
5 JN210551 Autumnalis
6 KC800989 Autumnalis
7 EU526391 Autumnalis
8 AF366366 Autumnalis
9 GU592526 Autumnalis
10 AY461902 Autumnalis
11 DQ092412 Canicola
12 AB094434 Canicola
13 HM026175 Canicola
14 AY609321 Canicola
15 AJ580493 Canicola
16 KC800990 Canicola
17 JN831363 Canicola
18 AY763509 Canicola
19 JN886739 Sejroe Hardjo
20 AY461905 Sejroe Hardjo
21 AY442332 Sejroe Hardjo
22 KC800991 Sejroe Hardjo
23 GU592525 Sejroe Hardjo
24 AB094433 Icterohaemorrhagiae
25 AY423075 Icterohaemorrhagiae
26 KC800993 Icterohaemorrhagiae
27 KC800992 Icterohaemorrhagiae
28 GU183106 Icterohaemorrhagiae
29 AY461910 Pomona
30 AF181553 Pomona
31 EU871716 Pomona
32 KC800988 Pomona
33 KC800987 Pomona
34 AY609323 Pyrogenes
35 HM449749 Pyrogenes
36 JN886738 Grippotyphosa
37 AY609327 Grippotyphosa
38 EU871723 Grippotyphosa
39 GU592524 Grippotyphosa
40 AY776292 Javanika
41 AY609332 Wolffi
42 AY568679 Lai
43 AY609322 Borgpeterseni Ballum
44 AY461900 Borgpeterseni Javanika
45 EU526390 Borgpeterseni Javanika
46 EU526389 Borgpeterseni Javanika
47 AY609330 Borgpeterseni Tarassovi
48 AF245281 Borgpeterseni Copenhagni
Table 1.BLAST search results of lipL32 genes of Leptospira used for phylogenetic analysis.

Figure 1. Final map sequence generated from bioinformatics analysis of the target DNA.

2.2. Transformation, Expression and Purification of recombinant Lipl32 protein

The recombinant plasmid of pET32a-Lipl32 was transformed into E. coli BL21 (DE3) through a cold CaCl2 treatment followed by a heat shock procedure and cultured in LB medium supplemented with 50 μg/mL of ampicillin. To confirm the positive recombinant clones selected on ampicillin plates, the related plasmids were extracted from bacterial cells using the Plasmid Mini extraction kit (Roche, Germany), following the manufacturer's protocol. One milliliter of an overnight culture of bacteria containing the recombinant plasmid was transferred to 50 milliliters of liquid 2YT medium containing 50 μg/mL of ampicillin. The mixture was then incubated overnight at 37°C with continuous shaking at 150 rpm. The bacterial growth was then monitored until it reached the mid-log phase (OD600 nm) at an optical density of approximately 0.8 at 600 nm. To induce expression, various amounts (0.1 to 0.5 mM) of isopropyl β-D-thiogalactopyranoside (IPTG, Sigma-Aldrich, Korea) were added to the suspension.Samples of 1 ml were drawn at hourly intervals (0, 4, 8, and 16 h) and at different temperatures (22°C, 30°C, and 37°C) after induction. The samples were then subjected to centrifugation at 5000 rpm for 5 min to obtain the pellet. The bacterial pellets were stored at -20°C for subsequent processing. The total proteins were separated using sodium dodecyl sulfate-polyacrylamide gel electrophoresis (SDS-PAGE) with unstained protein markers (Thermo Scientific, Lithuania). Induced cells were lysed in phosphate buffered saline (PBS) containing 10 mM imidazole and sonicated (5 cycles, 1 minute each, with 1 minute of intervals) on ice. Protease inhibitor, Phenyl Methyl Sulfonyl Fluoride (PMSF) (Sigma-Aldrich, United States), was added to inhibit probable protease activity. Subsequently, the lysate was subjected to a centrifugation process at 15,000 rpm at a temperature of 4°C for a duration of 15 minutes. Thereafter, the resulting soluble and insoluble fractions of the recombinant protein were subjected to an analysis through the utilization of a 10% SDS–PAGE method. SDS-PAGE analysis was conducted after cell disruption using ultrasound. This analysis revealed that the protein content in the soluble fraction was considerably higher than in the pellets. Following sonication, the contents were subjected to a centrifugation process at 15,000 rpm for a duration of 10 minutes.Subsequently, the purification of the recombinant protein was undertaken through the implementation of a Ni-NTA chromatography procedure, facilitated by a native buffer system in accordance with the protocol stipulated by Thermo Scientific ( 48 ). Initially, 100 μL of nickel resin containing ethanol were subjected to centrifugation at 3000 rpm at 4°C for 2 minutes, with the objective of removing the ethanol. Subsequently, the resin was equilibrated with a volume of buffer equal to twice the initial volume, which was composed of Phosphate Buffered Saline (PBS) with a pH of 7.4. This step ensured complete dissolution of the protein. The resin was then subjected to centrifugation under the same conditions as previously described. To ensure effective separation, the recombinant protein present in the upper layer of the solution was subjected to centrifugation at 3000 rpm, 4°C, and 5 minutes. Following this, 10 ml of the protein-containing solution was added to the nickel resin, which was then incubated at 37°C in a shaker incubator for one hour. Subsequently, the resin was washed five times for 20 minutes on the protein-binding resin. Subsequent to the completion of each step, a process of centrifugation was executed under the previously established conditions. The resultant upper layer, or "supernatant," was then discarded. Subsequently, 100 μL of Elution Buffer (PBS-Imidazole) was added to the protein sample and shaken for 15 minutes at room temperature.It is noteworthy that, in each step, centrifugation was performed under the same conditions as before, with the difference that this time the preceding step's residual material was retained as the protein-containing solution.This step was repeated three times. Elutions 1 to 3 were separated for confirmation and observation of protein bands using SDS-PAGE. It is noteworthy that all purification buffers are composed of PBS and imidazole. The utilization of imidazole in this process is crucial for the elimination of non-specific proteins, thereby ensuring the purity and specificity of the target protein. In the washing buffer and equilibration buffer, the concentration of imidazole (25 mM) is kept low to prevent non-specific binding to the HIS tag, thereby allowing only the target proteins to bind to nickel. This strategy ensures that non-specific proteins are effectively washed away from the column, thereby enhancing the purity of the eluted protein.In the Elution buffer, the concentration of imidazole (250 mM) is higher, which consequently increases the likelihood of His-protein binding to nickel ( 33 ).

2.3. Measurement of Purified Recombinant Protein and Western Blotting Analysis

The quantification of the recombinant protein was carried out using the Bradford protein assay. To establish a standard curve, different concentrations of 0.25 mg/mL BSA (Bovine Serum Albumin) were utilized. Ten dilutions of BSA were prepared within a range of 0 to 10 µg/µL protein as a standard reference in deionized water. Subsequently, 200 μL of Bradford reagent was added to each dilution, resulting in a total volume of 1 mL. The purified recombinant protein was then subjected to Western blot analysis. The protein was transferred to a nitrocellulose membrane and probed with a HRP-conjugated anti-6x His-Tag antibody (diluted 1:5000) (Abcam, USA). The blocking step was performed by 1% BSA in PBS containing 0.1% Tween 20 (T-PBS), and 4-choloro-1-naphthol was used to visualize protein bands.

2.4. Immunization

Female inbred BALB/c mice, aged 6 to 8 weeks, with a body weight range of 20 to 25 grams, were obtained from the Razi Vaccine and Serum Research Institute in Karaj, Iran. These mice were randomly assigned to four groups of ten mice each and were permitted a week to acclimate to their new housing conditions. To assess the immunogenicity of rLipl32, the mice were immunized three times by subcutaneous injection with 20 μg of rLipl32 protein formulated with and without Freund's incomplete adjuvant on days 1, 14, and 28.The negative control group was inoculated with and sterile PBS, and as a positive control (Adj group), an equal amount of the adjuvant was received. Blood samples were obtained from the retro-orbital venous sinus on day 0 (before immunization) until the 60th day with 10-day intervals (Table 2). The serum samples were separated by centrifugation (5000 rpm, 4°C, 5 minutes) and stored in -20°C to measure the antibody response. Spleens were isolated for the detection of cytokines.

Group Dose Prime (1 Day) Boost 1 (14 Day) Boost 2 (28 Day)
Target+Adj. 20𝜇g rLipL32+ CFA (50:50) rLipL32+ IFA (50:50) rLipL32+ IFA (50:50)
Target 20𝜇g rLipL32 rLipL32 rLipL32
Vaccine 50 𝜇l Leptospira vaccine Leptospira vaccine -----------
Neg. control 100𝜇l PBS PBS PBS
Adj. control 100𝜇l CFA CFA CFA
Note: *CFA: Complete Freund’s adjuvant * IFA: Incomplete Freund’s adjuvant
Table 2.Groups of mice and injection preparations used in this experiment.

2.5. Total IgG-ELISA for Anti R-Lipl32

Blood was collected using the retro-orbital bleeding method, and the levels of specific IgG against r-Lipl32 were measured using indirect ELISA. The optimal dilution for the antisera and antigen coating were determined using a checkerboard titration method. In summary, 96-well immunoplates (Jet Biofil, Guangzhou, China) were coated with 100 µL (5 µg/mL) of purified rLipl32 diluted in coating buffer (0.1 M Na2CO3, 0.1 M NaHCO3, pH 9. 5) (Merck, Germany) and incubated overnight at 4°C.Following three washes with 1.00x PBS containing 0.05% Tween 20 (PBST), non-specific binding sites were blocked using 3% BSA at 37°C for one hour.100 Subsequently, 100 µL of diluted mouse sera (1/100) was added to each well and the plates were incubated at 37°C for 1 h.After washing the wells (three times with PBST), the rabbit anti-mouse HRP-conjugated IgG antibody (Sigma Aldrich, Germany) (1:15,000) was added and incubated at 37°C for 1 h. Following a third series of washes with PBST, 50 µL of 3,3',5,5'-tetramethylbenzidine (TMB) (Sigma-Aldrich) was added to each well and incubated in the dark at room temperature for 20 minutes. The reaction was then halted with 100 µL of 1M H2SO4. The optical density was subsequently measured using an ELISA plate reader (Bio Tek, Elx 800) at a wavelength of 450 nm.

2.6. Cytokine Expression Assay

Spleens from immunized mice were isolated 14 days after the last immunization, and splenocytes were collected after red blood cell lysis under aseptic conditions. A single-cell suspension of splenocytes was created by pressing homogenized spleens through a fine nylon mesh. The cells (3× 106 cells/ml) were then added in complete RPMI 1640 (Sigma, USA) containing 10% fetal calf serum and were stimulated with 5 µg/ml rLipl32 at 37°C in a 5% CO2 incubator. Following a 60-hour stimulation period, the culture supernants were harvested, and the levels of IFN-γ and IL-4 were measured using a commercial ELISA kit (Karmania Pars Gene, Iran) according to the manufacturer's protocol.

2.7. Statistical Analysis

All statistical analyses were performed using GraphPad Prism software (version 6; GraphPad Software Inc., San Diego, USA). One-way analysis of variance (ANOVA) was employed to assess the differences in antibody titers among the various groups. This statistical approach enables the comparison of means across multiple groups, thereby facilitating the identification of any significant variations in the antibody responses. Subsequently, analysis of variance and Tukey's test were employed to compare levels of cytokine production. This statistical approach enables the assessment of significant differences among multiple groups, thereby providing insights into the effects of various treatments or conditions on cytokine levels. The results obtained were expressed as the mean and standard deviation (SD). Statistical significance was determined by setting a p-value threshold of 0.05. It is imperative to note that all experiments were meticulously executed in duplicate, with three biological samples per group, to ensure the robustness of the findings and the reliability of the results.

3. Results

3.1. Sequence Analysis and Construction of Expression Vectors

The Lipl32 protein sequence contains 272 amino acids and has a molecular weight of 29.9 kilodaltons (kDa), as determined using the Expasy-translate online tool and Editseq software. Bioinformatics analysis suggests that Lipl32 encodes a membrane protein.The analysis of the Lipl32 protein sequences revealed a dominant pattern with extensive coverage of high prevalence pathogenic serovars in Iran, which was selected as the primary sequence. The reference sequence was optimized for preferred codon usage in E. coli, and the signal peptide was removed. The redesigned sequence consists of 771 bp. The designed sequence was then employed to create an expression vector, designated as Lipl32-pET32a(+), by inserting it into the EcoRI and XhoI restriction sites. This vector was engineered to align with Trx and six-His tags at the N-terminal end. This resulted in a protein with an expected molecular weight of approximately 38kDa. Figure 2 compares the two structures, which show 100% similarity in the lipl32 region. This indicates that the trx and lipl32 segments have folded separately and that the structure of lipl32 remains unchanged. Consequently, it is anticipated that the structural epitopes will also remain unaltered. The gene construct was synthesized by the General Biosystems Company (Durham, USA). A comparative analysis was conducted between the 24 complete Lipl32 full-length genome sequences (272aa) of the Leptospira serovars described in Table 1 and the phylogenic tree. According to the results presented in Figure 3(A), all serovars have been classified into two primary clusters based on the Lipl32 protein. The first cluster comprises two serovars: johnsonii (protein number WP-108927686.1) from Australia and hartskeerlii (protein number WP-100707095.1) from Brazil. Conversely, 17 other serovars were classified into a second cluster, which itself consisted of several subclusters. The results demonstrated 0.03% divergence among the serovars utilized in this study (Figure 3A). The phylogenetic tree in Figure 3(B) revealed a divergence of 0.0020% among local serovars, as determined by protein sequence analysis of the Lipl32. The percentage of similarity and divergence among registered Iranian serovars in the gene bank was analyzed based on protein Lipl32 sequence using MegAlign software. The highest level of similarity reported was 100%, while the lowest level of dissimilarity was 98.7%. Automanalis (AGO95575.1) demonstrated 100% similarity with Canicola (AGO95576.1) and also with serovars Serjo hardjo (AFC76104.1), Icterohaemorrhagiae (AGO95578.1) (AGO95579.1), and Grippotyphosa (AFC76103.1). Grippotyphosa exhibited 100% similarity with Canicola (AGO95576.1), Serjo hardj0 (AGO95577.1), and (AFC76104.1), as well as Icterohaemorrhagiae (AGO95578.1) (AGO95579.1). The two serovars of Icterohaemorrhagiae, namely (AGO95578.1) and (AGO95579.1), exhibited 100% similarity with two serovars, Canicola (AGO95576.1) and Serjo hardjo (AFC76104.1). Serjo hardjo (AFC76104.1) exhibited 100% similarity with Serjo harjdo (AGO9557.1) and Canicola (AGO95576.1). The lowest level of similarity and divergence, namely 98.7%, was observed between the two serovars Pamana (AGO95573.1) and (AGO95574.1) with Serjo harjdo (AGO9557.1). Furthermore, the Canicola serovar (AEU08469.1) exhibited distinct characteristics when compared to all other ten Iranian serovars, including the same serovar Canicola (AGO95576.1).

Figure 2. A. The tertiary structure of the lip32 protein. B. The tertiary structure of the expressed fusion protein with trx.

Figure 3. A phylogenetic tree was constructed using the protein sequences of aligned Lipl32, employing the neighbor joining method using MEGA11 software. A. The phylogenetic tree analyzed the sequence of the lipL32 protein in both native and non-native serovars in Iran were submitted to GenBank used in this research. B. The phylogenetic tree analyzed the sequence of the lip32 protein in pathogenic serovars native to Iran used in this study, consisting of eleven leptospira serovars.

3.2. Transformation, Expression and Purification of rLipl32 Protein

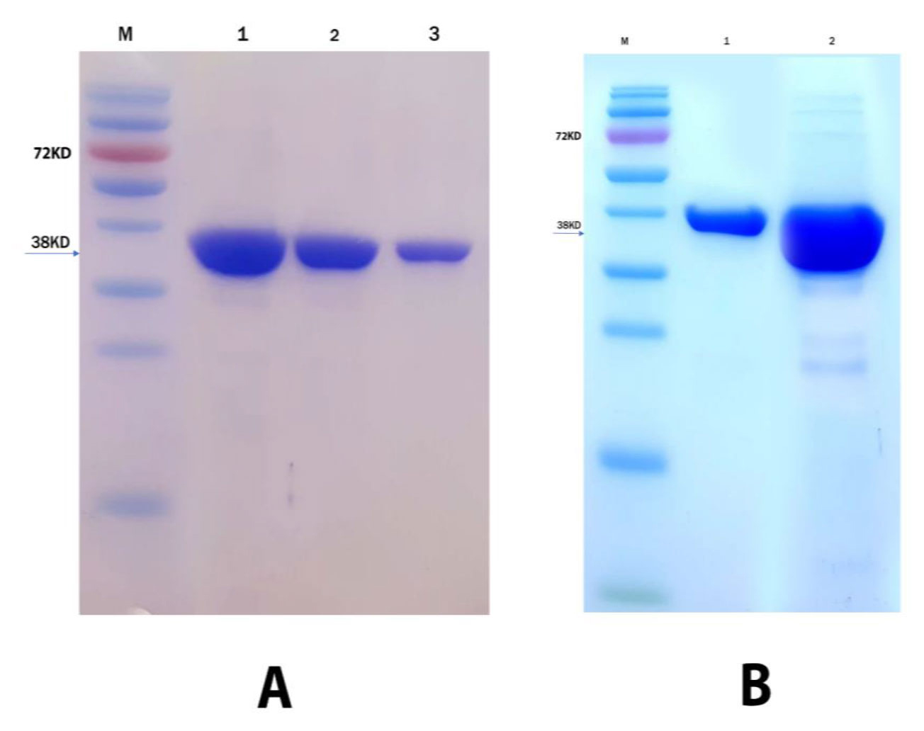
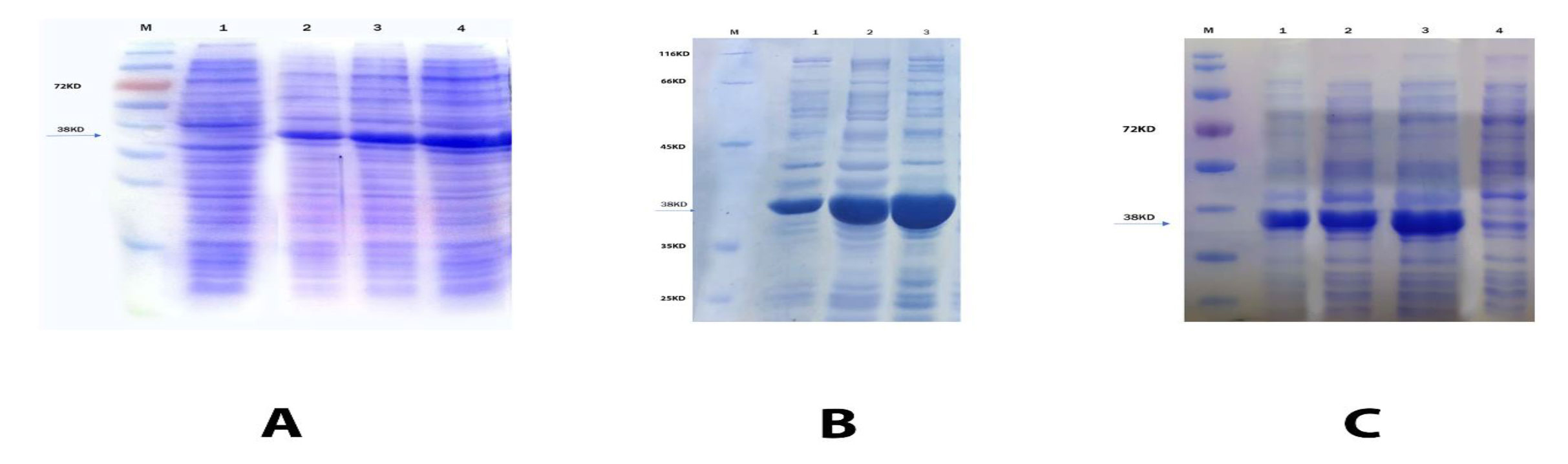
In this study, the Lipl32 was successfully expressed in pET32a-competent BL21(DE3) E. coli cells, and a 38-kDa size TRX-Lipl32 fusion protein in the soluble form was produced. The recombinant plasmid was purified from the transformed cells and identified based on its plasmid size (Figure 4). The protein electrophoresis by SDS-PAGE analysis revealed a distinct band that corresponded to successful induction of full-length 38-kDa Lip32 protein. However, the highest expression of Lipl32 recombinant protein was observed during the overnight post-induction incubation at a temperature of 22°C in the presence of 0.5 mM IPTG (Figure 5). Subsequent analysis of the cell lysate post-sonication revealed that the recombinant protein was predominantly found in the upper layer, i.e., the culture medium. The cell culture medium containing rLipl32 was collected and purified using an affinity purification method. Based on the results of this procedure, one distinct band was identified, with apparent molecular masses of approximately 38 kilodaltons. The demonstration in Figure 6 presents three elution-purified proteins. The confirmation of the purified protein was evaluated by Western blot analysis using an anti-6x His-Tag antibody, as shown in Figure 7. The constructed Lipl32 gene was found to produce a high level of expression of the corresponding protein, with a final concentration of 14.844 milligrams per milliliter.

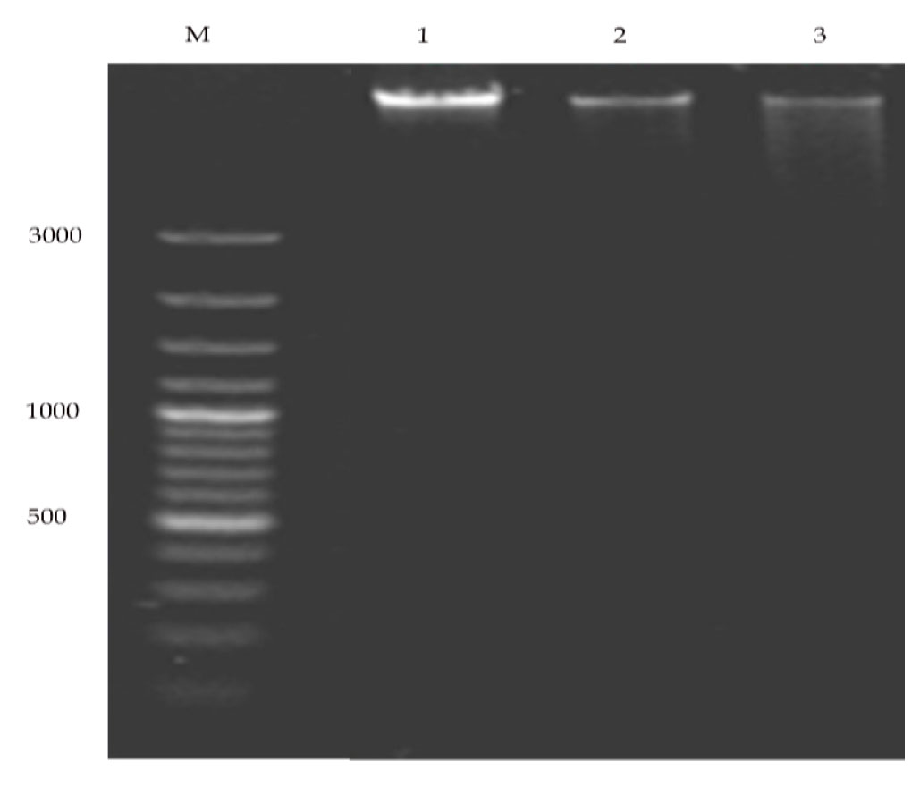
Figure 4. Electrophoresis of purified recombinant plasmid samples. Lane M. 100 bp plus DNA Marker (Bio Fact), Lane 1-3. The first to third elution’s of the purified lipl32 in order.

Figure 5. (A) SDS-PAGE analysis was performed on the expressed Lipl32 protein in E. coli following incubation at 22°C. Lane 1 shows the non-induced cell lysate, while lanes 2 to 4 display cells that were induced with 0.5 mM IPTG at 4, 8, and 16 hours post-induction, respectively. (B) The effect of temperature on Lipl32 expression was evaluated using SDS-PAGE analysis. Lane 1 corresponds to expression at 30°C, Lane 2 at 37°C, and Lane 3 at 22°C (C) Lanes 1 to 3 show cells that were induced with IPTG at concentrations 0.1, 0.3 and 0.5 mM, respectively. while Lane 4 represents non-induced cells. M. Unstained Protein Molecular Weight Marker (Thermo scientific, Lithuania).

Figure 6. Characterization of the purified recombinant LipL32 protein on SDS-PAGE. (A). Lane 1 to 3 show First, Second and third elution’s of the Lipl32 supernatant after five times washing, respectively. (B). The effect of imidazole concentration in the Elution buffer. Lanes 1-3: Elution’s were performed with imidazole concentrations of 0.1 mM and 0.3mM, respectively. M. prestained Protein Molecular Weight Marker (Thermo scientific, Lithuania).

Figure 7. Western blotting of recombinant proteins utilizing HRP conjugated anti-6× His-Tag antibodies. Lane M. unstained protein molecular weight marker (kDa), (Thermo, scientific). Lane 1. His-tag purified Lipl32 recombinant protein.

3.3. Humoral Immune Response in Iimmunized Mice

To assess the humoral immune responses, the total specific IgG in immunized mice was measured by indirect ELISA, with rLipl32 serving as the captured antigen. Utilizing checkerboard titration tests, the final concentration of rLipl32 for the antigen capture ELISA was established at 0.850 mg/mL, with optimal dilutions for serum and HRP IgG conjugates determined to be 1:50 and 1:5000, respectively. Prior to the first immunization, no antigen-specific IgG antibodies were detectable in any of the immunized groups. Furthermore, the levels of specific antibodies in mice immunized with rLipl32/adjuvant were found to be higher than those in the group immunized with rLipl32 alone. At the onset of the study, all animals exhibited no anti-rLipl32 specific antibodies, as demonstrated in Figure 8. Subsequent analysis revealed that the antibody titers were significantly higher in both groups that had received rLipl32 with or without adjuvant compared to the other groups (p<0.05). Furthermore, the presence of adjuvant resulted in higher antibody production levels compared to its absence. As illustrated in Figure 8, the levels of IgG began to increase two weeks after immunization, reached a maximum on day 30, and then plateaued until the final day. However, a statistically insignificant difference was observed between the animals that received PBS or adjuvant alone during the designated time frame (p>0.05).

Figure 8. An indirect enzyme-linked immunosorbent assay (sandwich ELISA) was used to measure the levels of anti-rLipl32 antibody production in BALB/c mice. The mice were immunized subcutaneously with phosphate-buffered saline (as a control), Freund's adjuvant (as another control) and the recombinant Lipl32 with and without adjuvant. Blood samples were collected from the retroorbital venous sinus on day 0 (before immunization) and every ten days for two months to assess the antigen-specific total response in the sera. Y-axis OD490 nm and X-axis days (p 0.005)

3.4. Evaluation of Cytokine Levels in Immunized Mice

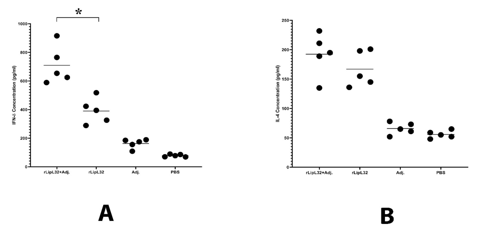
To evaluate the cytokine profile, the production of IFN-γ and IL-4 was measured in the culture supernatants of spleen cells stimulated with the recombinant Lipl32 protein (Figure 9). This assessment facilitates comprehension of the immune response elicited by rLipl32, with a focus on key cytokines implicated in Th1 and Th2 responses.

Figure 9. The evaluation of IFN-γ (A) and IL-4 (B) levels produced by splenocytes from various immunized mice was conducted. Fourteen days after the final immunization, splenocytes were isolated from the mice and cultured either without stimulation (unstimulated) or in the presence of rLipl32 for 60 hours in a CO2 incubator at 37°C. Absorbance was measured using an indirect ELISA at 450 nm. All experiments were performed in triplicate, and the data presented represent the mean values ± SD. Statistically significant differences are indicated by * (compared to the rLipl32 group). The data represents mean SI of two determinations SD. Y-axis shows IFN-γ and IL-4 concentration (pg/ml) and X-axis represents test groups.

3.5. Statistical Analysis

The results of the study demonstrated that IFN-γ levels were elevated in mice immunized with rLipl32 in the presence of adjuvant compared to those that had received the antigen without adjuvant (p<0.05) (Figure 9A). Furthermore, the levels of IL-4 were found to be higher in mice immunized with rLipl32, irrespective of the presence or absence of adjuvant, in comparison to the two other control groups (p < 0.05), as illustrated in Figure 9(B).

4. Discussion

Leptospirosis has been recently included in the list of neglected diseases according to a report by the WHO ( 2 , 33 ). This zoonotic infection is prevalent in tropical and subtropical regions ( 1 , 34 , 35 ), and in Iran, the highest recorded prevalence is observed in the northern region due to the moist climate ( 36 , 37 ). A significant challenge in the management of this condition is the frequent misdiagnosis of leptospirosis due to its similarity of symptoms to other infectious diseases. Furthermore, the use of common bacterin vaccines (inactivated whole bacteria) in both humans and animals is limited due to numerous factors ( 7 , 14 , 38 ). The development of novel diagnostic methods and vaccination protocols for the prevention of leptospirosis is imperative, and significant advancements have been made in this domain. The advent of genomic technologies and bioinformatics has facilitated the investigation of protective antigens for bacterial pathogens ( 11 , 12 ). Among these, OMPs have emerged as the most promising candidates for use as antigens in these vaccine formulations.

The development of recombinant vaccines utilizing OMPs from bacteria has shown great potential, particularly because these proteins are located at the interface between the pathogen and the host. This strategic positioning renders them promising candidates for vaccine development aimed at enhancing protective immunity against bacterial infections ( 15 , 16 ). OMPs and lipoproteins are key constituents of the leptospiral surface. These proteins have garnered significant attention due to their distribution, conservation, functional importance, and critical role in virulence. Furthermore, bacterial OMPs have been observed to elicit a robust antibody response ( 48 ). Consequently, ELISA protocols employing single-OMP antigens have been employed for serodiagnosis, encompassing the leptospiral proteins Lipl32, Lipl21, Lipl41, and OmpL1 ( 20 , 25 , 39 , 40 , 41 ). A number of proteins have been identified as promising vaccine candidates. The antigens that have undergone the most rigorous evaluation to date include the Lig (Leptospiral immunoglobulin-like) and Lipl32 proteins ( 42 - 45 ). According to the extant literature, Lipl32 is regarded as the most abundant component of the outer membrane that functions as a virulence factor in pathogenic Leptospira. Lipl32 has the potential to elicit a protective immune response across a wide range of serovars due to its conserved nature among pathogenic Leptospira serovars. This characteristic renders it a promising candidate for vaccine development aimed at providing broad protection against leptospirosis. Notably, Lipl32 is an adhesive molecule that facilitates interaction with host components in pathogenic strains, but not in non-pathogenic ones ( 25 , 44 ). Luo et al. demonstrated that Lipl32 is a predominant antigen in the humoral response during the course of infection ( 16 ). Seixas et al. ( 26 ) investigated the potential of employing Lipl32 in vaccine platforms to elicit immunity in an animal model, encompassing the rBCG vaccine, DNA vaccine, and subunit vaccine. Their findings indicated that anti-Lipl32 antibodies exhibited the capacity to impede the proliferation of Leptospira in in vitro settings. It has been demonstrated that both humoral and cellular immunity have prominent roles in the response to leptospirosis. Therefore, cytokines and specific antibodies have been proposed as useful biomarkers of disease outcome in various clinical studies ( 14 ). In this study, we sought to prepare, express, purify, and evaluate the humoral and cellular immune responses of recombinant Lipl32-based ELISA by measuring the antibody titer and the cytokines IL-4 and IFN-γ from pathogenic leptospira among several prevalent local serovars by immunizing mice. Firstly, a sequence analysis of twenty-four Lipl32 sequences available in GenBank was performed at the protein level in pathogenic leptospira, including six serovars from Iran and other countries. The results are shown in Table 1. The analysis of Lipl32 protein sequences by MegAlign software reveals a high degree of similarity (100%), as illustrated in Figure 2 (C). A comparison of the two protein structures demonstrates a 100% similarity in the lipl32 region, indicating that both the trx and lipl32 segments have independently folded without affecting each other. This independence in folding is of critical importance, as it signifies that the structural integrity of the lipl32 protein remains intact, a prerequisite for its function as an immunogenic protein. The structural integrity of lipl32 is indicative of the preservation of epitope-specific components of the antigen that are recognized by the immune system. Consequently, it is hypothesized that these structural epitopes will maintain their immunogenic properties, thereby enabling effective stimulation of both cellular and humoral immune responses. This finding is significant for vaccine development and diagnostic applications related to leptospirosis, as it underscores the potential of rLipl32 to elicit a robust immune response without interference from the fusion partner.A divergence of 0.03% was identified between the entire sequences (Figure 3A). A comparison of the pattern of sequences among Iranian isolates indicated that Lipl32 was a conserved antigen, which showed 0.0020% variation in the phylogenetic tree (Figure 3B).Previously, in another study in 2020, Golab et al. reported 0.8% divergence between Iranian and foreign Leptospira interrogans serovars based on Lipl41 protein sequences and eight amino acid subsituations identified among local serovars ( 40 ). Consequently, the Lipl32 gene construct (Figure 1) was designed according to the dominant polymorphism pattern of local prevalent pathogenic Leptospira isolates in order to have high coverage and less false negative results. The mature form of rLipl32 was a lipoprotein in which the first 20 residues were removed, and the construct was synthesized and cloned into the pET32a+ vector. The codon optimization of the rLipl32 gene was employed to enhance its expression in E. coli, with the rLipl32 protein being expressed in E. coli BL21(DE3). To achieve high production levels, various concentrations of IPTG, different induction times, and a temperature shift from 37°C to 22°C were considered as alternatives. The results indicated that the maximum expression of Lipl32 occurred at 22°C and 0.5 mM IPTG at 16 hours post induction (Figure 5). The results demonstrate that a high level of Lipl32 protein expression was achieved in the soluble fraction and that optimal purification was attained by affinity chromatography (Figure 6) with a quantity of 14.844 mg/ml. Western blotting verified the presence of a single distinct band with an approximate molecular weight of 38 kDAs, as illustrated in Figure 7. In addition, several researchers have successfully cloned and expressed rLipl32 in various hosts, including E. coli and P. pastoris ( 13 , 46 ), employing diverse vectors, such as pET-28b+ (39, Feng et al.), pRSET B (47, Meenambigai, 23 Haake/2000), and pET22b (27, Yaakob). Their findings were consistent with our own, indicating that Lipl32 was expressed at high levels. The majority of the studies demonstrated that rLipl32 had the potential to serve as an antigen for ELISA testing and could be readily implemented in diagnostic laboratories or subunit vaccines. In consideration of the humoral immune response of the immunized mice, including total antibody levels against Lipl32, as illustrated in Figure 8, it is evident that all the antibodies elicited in the rLipl32 groups exhibited levels that were significantly higher than those in the groups that had not received rLipl32 (p<0.05). Furthermore, no statistically significant differences were observed between the mice receiving a single dose of Lipl32 and those receiving both Lipl32 and adjuvant. These results indicated that the Lipl32-administered groups exhibited superior responses compared to the other groups, which is a crucial point in differentiating cases of natural infection from vaccination. These findings are consistent with those reported by Murray et al. ( 48 ) and Seixas et al. ( 26 ), who evaluated rLipl32 as a vaccine antigen against leptospirosis and observed the strongest humoral immune response in terms of antibody production. In addition, a body of research has demonstrated that Lipl32, when used in conjunction with other OMPs, such as Lipl21, Lipl41, or OmpL1, has exhibited superior immune responses in comparison to single-gene treatments. This phenomenon can be attributed to the synergistic effect resulting from the combination of these OMPs. (Lin et al. 42, Feng et al. 39, Haake 49). In this experiment, the cytokine profile of splenocytes from rLipl32-immunized BALB/c mice exhibited a distinctive secretion of IFN-γ associated with adjuvant compared to groups without adjuvant (p < 0.05). However, the IL-4 was not only produced in abundance by the mice that had received the antigen alone, but also in those administered the antigen combined with the adjuvant (Figure 9). An investigation by Feng et al. ( 39 ) compared immunization in BALB/c mice with recombinant Lipl32 apart or together with other OMPs (Lipl32-41-OmpL1). Their findings revealed a rise in cell -mediated immunity with greater levels of IL-2 and INF-γ both in combination or only Lipl32. A prior study carried out during a new therapeutic strategy characterized B- and T-cell combined epitopes of the two OMPs Lipl32 and LipL21 in BALB/c mice. The results showed that the secretion of IFN-was greater than IL-4 ( 42 ). A previous study, conducted as part of a novel therapeutic strategy, examined the combined epitopes of the B- and T-cell receptors for the two OMPs Lipl32 and LipL21 in BALB/c mice. The results demonstrated that the secretion of IFN- was greater than IL-4 ( 42 ). As previously mentioned, the subsets of T helper cells can be classified based on the cytokines they produce ( 32 ). Th1 cells, for instance, are known to produce IL-2 and INF-γ, playing a vital role in guiding cell-mediated responses, which are significant in the clearance of intracellular pathogens. In addition, Th2 cells, which are responsible for humoral responses and the production of antibodies, secrete IL-4 and IL-10 ( 51 ). A balanced Th1/Th2 response has been shown to elicit a fully protective response, and vaccination has been demonstrated to be effective in inducing both Th1 and Th2 responses ( 31 ). In the present study, an immune response profile was revealed that exhibited a tendency towards a Th2 pattern, with abundant antibody production and synthesis of IL-4. Conversely, a Th1 response pattern was identified, characterized by INF-γ production. In summary, to the best of our knowledge, this study is the first of its kind to demonstrate the analysis of multiple sequence alignments and to design and produce the Lipl32 outer membrane sequences of the most prominent serovars of pathogenic Leptospira in Iran. The alignment results indicated an observed divergence of 0.03% among the experimental serovars. rLipl32 is expressed in the culture medium at a high level, which has the potential to induce significant levels of anti-Lipl32 antibodies, as well as robust IFN-γ responses from Th1 cells and IL-4 responses from Th2 cells. Overall, the recombinant protein elicited a predominant Th1 and Th2-type response, resulting in both humoral and cell-mediated immune responses, with cellular immunity being particularly pronounced. It is noteworthy that rLipl32 appears to be a promising candidate for use in the development of subunit vaccines or diagnostic kits. These findings could pave the way for further research using rLipl32 to validate ELISA or the stability of vaccines against various serovars of Leptospira in animals and humans (mammalian hosts).

Acknowledgment

The authors express their profound gratitude to the dedicated staff of the Microbiology department at the Razi Vaccine and Serum Research Institute, and extend their sincere appreciation to Dr. Narges Golab for her invaluable contributions.

Authors' Contribution

Study concept and design: P.K, M.T.

Acquisition of data: N.B, M.E.

Analysis and interpretation of data: S.S.

Drafting of the manuscript: S.S, N.B.

Critical revision of the manuscript for important intellectual content: P.K, M.T.

Statistical analysis: M.E, M.T.

Administrative, technical, and material support: P.K, M.T, M.E.

Ethics

We hereby declare all ethical standards have been respected in preparation of the submitted article.

Conflict of Interest

The authors declare no conflict of interest.

Funding

This project has received financial support from the Razi Vaccine and Serum Research Institute, Agricultural Research, Education and Extension Organization (AREEO), Karaj, Iran, as stipulated in the grant agreement No. 12-18-18-106-96045-961023.

Data Availability

The necessary data can be obtained from the corresponding author upon reasonable request.

References

  1. Langston CE, Heuter KJ. Leptospirosis: A re-emerging zoonotic disease. Veterinary Clinics: Small Animal Practice. 2003; 33(4):791-807.
  2. Adler B, de la Peña Moctezuma A. Leptospira and leptospirosis. Veterinary microbiology. 2010; 140(3-4):287-96.
  3. Haake D, Levett P. Leptospirosis in humans. Curr To p Microbiol Immunol. 2015; 387: 65-97.
  4. Torres FDA, Borges ALdSB, Kolesnikovas C, Domit C, Barbosa CB, Carvalho-Costa FA, et al. Pinnipeds carriers of pathogenic Leptospira: New data based on molecular characterization. Research in Veterinary Science. 2023; 155:62-8.
  5. Costa F, Hagan JE, Calcagno J, Kane M, Torgerson P, Martinez-Silveira MS, et al. Global morbidity and mortality of leptospirosis: a systematic review. PLoS neglected tropical diseases. 2015; 9(9):e0003898.
  6. Bandara M, Ananda M, Wickramage K, Berger E, Agampodi S. Globalization of leptospirosis through travel and migration. Globalization and health. 2014; 10:1-9.
  7. Faisal SM, McDonough SP, Chang Y-F. Leptospira: Invasion, pathogenesis and persistence. The pathogenic spirochetes: Strategies for evasion of host immunity and persistence. 2012;143-72.
  8. Marotto PC, Nascimento CM, Eluf-Neto J, Marotto MS, Andrade L, Sztajnbok J, et al. Acute lung injury in leptospirosis: clinical and laboratory features, outcome, and factors associated with mortality. Clinical Infectious Diseases. 1999; 29(6):1561-3.
  9. Schreier S, Doungchawee G, Chadsuthi S, Triampo D, Triampo W. Leptospirosis: current situation and trends of specific laboratory tests. Expert review of clinical immunology. 2013; 9(3):263-80.
  10. Martínez R, Pérez A, Cruz R, Alvarez A, Armesto M, Fernández C, et al. Efficacy and safety of a vaccine against human leptospirosis in Cuba. Revista panamericana de salud publica= Pan American journal of public health. 2004; 15(4):249-55.
  11. Fitzgerald J. Availability of leptospirosis vaccine. The Veterinary Record. 2009; 164(5)
  12. Koizumi N, Watanabe H. Leptospirosis vaccines: past, present, and future. Journal of postgraduate medicine. 2005; 51(3):210.
  13. Klaasen H, Molkenboer M, Vrijenhoek M, Kaashoek M. Duration of immunity in dogs vaccinated against leptospirosis with a bivalent inactivated vaccine. Veterinary microbiology. 2003; 95(1-2):121-32.
  14. Barazzone GC, Teixeira AF, Azevedo BO, Damiano DK, Oliveira MP, Nascimento AL, et al. Revisiting the development of vaccines against pathogenic Leptospira: innovative approaches, present challenges, and future perspectives. Frontiers in immunology. 2022; 12:760291.
  15. Haake DA, Zückert WR. The leptospiral outer membrane. Leptospira and Leptospirosis. 2014;187-221.
  16. Luo D, Xue F, Ojcius DM, Zhao J, Mao Y, Li L, et al. Protein typing of major outer membrane lipoproteins from Chinese pathogenic Leptospira spp. and characterization of their immunogenicity. Vaccine. 2009; 28(1):243-55.
  17. Yan Y, Chen Y, Liou W, Ding J, Chen J, Zhang J, et al. An evaluation of the serological and epidemiological effects of the outer envelope vaccine to leptospira. Journal of the Chinese Medical Association: JCMA. 2003; 66(4):224-30.
  18. Grassmann AA, Kremer FS, Dos Santos JC, Souza JD, Pinto LdS, McBride AJA. Discovery of novel leptospirosis vaccine candidates using reverse and structural vaccinology. Frontiers in immunology. 2017; 8:463.
  19. Chalayon P, Chanket P, Boonchawalit T, Chattanadee S, Srimanote P, Kalambaheti T. Leptospirosis serodiagnosis by ELISA based on recombinant outer membrane protein. Transactions of the Royal Society of Tropical Medicine and Hygiene. 2011; 105(5):289-97.
  20. Fernandes LG, Avelar KE, Romero EC, Heinemann MB, Kirchgatter K, Nascimento AL. A new recombinant multiepitope chimeric protein of Leptospira interrogans is a promising marker for the serodiagnosis of leptospirosis. Tropical Medicine and Infectious Disease. 2022; 7(11):362.
  21. Cullen PA, Haake DA, Adler B. Outer membrane proteins of pathogenic spirochetes. FEMS microbiology reviews. 2004; 28(3):291-318.
  22. Aviat F, Rochereau-Roulet S, Branger C, Estavoyer J, Chatrenet B, Orsonneau J, et al. Synthetic peptide issued from Hap1/LipL32 for new early serodiagnosis of human leptospirosis. Comparative immunology, microbiology and infectious diseases. 2010; 33(5):375-87.
  23. Haake DA, Chao G, Zuerner RL, Barnett JK, Barnett D, Mazel M, et al. The leptospiral major outer membrane protein LipL32 is a lipoprotein expressed during mammalian infection. Infection and immunity. 2000; 68(4):2276-85.
  24. Dey S, Mohan CM, Kumar TS, Ramadass P, Nainar AM, Nachimuthu K. Recombinant LipL32 antigen-based single serum dilution ELISA for detection of canine leptospirosis. Veterinary microbiology. 2004; 103(1-2):99-106.
  25. Boonyod D, Poovorawan Y, Bhattarakosol P, Chirathaworn C. LipL32, an outer membrane protein of Leptospira, as an antigen in a dipstick assay for diagnosis of leptospirosis. Asian Pacific Journal of Allergy and Immunology. 2005; 23(2-3):133.
  26. Seixas FK, Fernandes CH, Hartwig DD, Conceicao FR, Aleixo JAG, Dellagostin OA. Evaluation of different ways of presenting LipL32 to the immune system with the aim of developing a recombinant vaccine against leptospirosis. Canadian Journal of Microbiology. 2007; 53(4):472-9.
  27. Yaakob Y, Rodrigues KF, Opook F, William T, John DV. Recombinant LipL32 protein developed using a synthetic gene detects Leptospira-specific antibodies in human serum samples. The Malaysian journal of medical sciences: MJMS. 2017; 24(5):44.
  28. Yeoh TS, Tang TH, Citartan M. Isolation of a novel DNA aptamer against LipL32 as a potential diagnostic agent for the detection of pathogenic Leptospira. Biotechnology Journal. 2023; 18(3):2200418.
  29. Govindan P, Manjusha P, Saravanan KM, Natesan V, Salmen SH, Alfarraj S, et al. Expression and preliminary characterization of the potential vaccine candidate LipL32 of leptospirosis. Applied Nanoscience. 2021;1-15.
  30. Fraga TR, Barbosa AS, Isaac L. Leptospirosis: aspects of innate immunity, immunopathogenesis and immune evasion from the complement system. Scandinavian journal of immunology. 2011; 73(5):408-19.
  31. Dellagostin OA, Grassmann AA, Hartwig DD, Félix SR, da Silva EF, McBride AJ. Recombinant vaccines against leptospirosis. Human vaccines. 2011; 7(11):1215-24.
  32. Reis EA, Hagan JE, Ribeiro GS, Teixeira-Carvalho A, Martins-Filho OA, Montgomery RR, et al. Cytokine response signatures in disease progression and development of severe clinical outcomes for leptospirosis. PLoS neglected tropical diseases. 2013; 7(9):e2457.
  33. Qiagen A. handbook for high-level expression and purification of 6xHis-tagged proteins. Qiagen, Chatsworth, Calif, USA. 2003.
  34. Torgerson PR, Hagan JE, Costa F, Calcagno J, Kane M, Martinez-Silveira MS, et al. Global burden of leptospirosis: estimated in terms of disability adjusted life years. PLoS neglected tropical diseases. 2015; 9(10):e0004122.
  35. Bharti AR, Nally JE, Ricaldi JN, Matthias MA, Diaz MM, Lovett MA, et al. Leptospirosis: a zoonotic disease of global importance. The Lancet infectious diseases. 2003; 3(12):757-71.
  36. Putz EJ, Nally JE. Investigating the immunological and biological equilibrium of reservoir hosts and pathogenic leptospira: balancing the solution to an acute problem? Frontiers in microbiology. 2020; 11:2005.
  37. Khaki P. Clinical laboratory diagnosis of human leptospirosis. Int J Enteric Pathog. 2016; 4(1):1-7.
  38. Bakhshandeh N, Tebianian M, Khaki P, Esmaelizad M, Saadatmand S. Development of an In-house Indirect ELISA Test as a Diagnostic Tool for Bovine Leptospirosis. International Journal of Enteric Pathogens. 2021; 9(2):47-51.
  39. Maia MA, Bettin EB, Barbosa LN, de Oliveira NR, Bunde TT, Pedra ACK, et al. Challenges for the development of a universal vaccine against leptospirosis revealed by the evaluation of 22 vaccine candidates. Frontiers in cellular and infection microbiology. 2022;1503.
  40. Feng C, Li Q, Zhang X, Dong K, Hu B, Guo X. Immune strategies using single-component LipL32 and multi-component recombinant LipL32-41-OmpL1 vaccines against leptospira. Brazilian Journal of Medical and Biological Research. 2009; 42:796-803.
  41. Golab N, Khaki P, Harzandi N, Esmaelizad M, Tebianian M. Expression and purification of the Lipl41, a surface-exposed lipoprotein antigen of pathogenic Leptospira spp. Veterinarski arhiv. 2020; 90(3):297-305.
  42. Teixeira AF, Cavenague MF, Kochi LT, Fernandes LG, Souza GO, de Souza Filho AF, et al. Immunoprotective activity induced by leptospiral outer membrane proteins in hamster model of acute leptospirosis. Frontiers in Immunology. 2020; 11:568694.
  43. Lin Xa, Zhao J, Qian J, Mao Y, Pan J, Li L, et al. Identification of immunodominant B-and T-cell combined epitopes in outer membrane lipoproteins LipL32 and LipL21 of Leptospira interrogans. Clinical and Vaccine Immunology. 2010; 17(5):778-83.
  44. Haake DA, Matsunaga J. Leptospiral immunoglobulin-like domain proteins: Roles in virulence and immunity. Frontiers in Immunology. 2021; 11:579907.
  45. Hauk P, Macedo F, Romero EC, Vasconcellos SlA, de Morais ZM, Barbosa AS, et al. In LipL32, the major leptospiral lipoprotein, the C terminus is the primary immunogenic domain and mediates interaction with collagen IV and plasma fibronectin. Infection and immunity. 2008; 76(6):2642-50.
  46. Vieira ML, Atzingen MV, Oliveira TR, Oliveira R, Andrade DM, Vasconcellos SA, et al. In vitro identification of novel plasminogen-binding receptors of the pathogen Leptospira interrogans. PloS one. 2010; 5(6):e11259.
  47. Golab N, Khaki P, Tebianian M, Esmaelizad M, Harzandi N. Recombinant outer membrane protein Lipl41 from Leptospira interrogans robust immune responses in mice model. Iranian Journal of Microbiology. 2024; 16(4):545.
  48. Hartwig DD, Bacelo KL, de Oliveira PD, Oliveira TL, Seixas FK, Amaral MG, et al. Mannosylated LigANI produced in Pichia pastoris protects hamsters against leptospirosis. Current microbiology. 2014; 68:524-30.
  49. Gharakhani M, Ghasemi MF, Khaki P, Esmaelizad M, Tebianian M. Improvement the Expression and Purification of Loa22: A Lipoprotein with OmpA domain from Pathogenic Leptospira Serovars. 2022.
  50. Plotkin SA. Updates on immunologic correlates of vaccine-induced protection. Vaccine. 2020; 38(9):2250-7.
  51. Senavirathna I, Rathish D, Agampodi S. Cytokine response in human leptospirosis with different clinical outcomes: a systematic review. BMC Infectious Diseases. 2020; 20(1):1-8.