1. Introduction
The survival of transplanted organs is a major concern in contemporary medicine, and patients are required to take long-term immunosuppressive drugs ( 1 ). Cyclosporine A (CsA) is the most widely used immunosuppressant drug, and was first introduced to the medical field in 1980. This hydrophobic ring is obtained from the Tolypocladium fungus. CsA specifically inhibits the activity of T-helper cells, consequently weakening the proliferative effects of interleukin-2 (IL-2) ( 2 ).CsA, which has low toxicity on bone marrow cells, exhibits a significant inhibitory effect in preventing graft tissue rejection and suppressing autoimmune diseases. Despite its extensive utilization in medical practice, particularly in the context of preventing tissue rejection following transplantation, CsA has been associated with a number of deleterious side effects, including nephrotoxicity, hepatotoxicity, hypertension, and cardiotoxicity ( 3 ). Research conducted on both human subjects and laboratory animal models has demonstrated that CsA consumption can result in functional and morphological changes in liver tissue, characterized by increased levels of transaminase and alkaline phosphatase enzymes ( 4 ). Furthermore, an increase in blood bilirubin and the production of bile salts has been observed. A disturbance in the release of lipids from the liver has been correlated to this drug in previous studies ( 1 ).Morphological changes include the activation of Kupffer cells, loss of the trabecular system, steatosis, necrosis, and hepatitis ( 1 ). Furthermore, CsA has been demonstrated to induce hyperlipidaemia in both in vitro and in vivo models, consequently heightening the likelihood of atherosclerosis and hepatic steatosis ( 5 ). Steatosis, characterized by the accumulation of lipids, predominantly triglycerides, phospholipids, and cholesterol esters, within hepatocytes, can precipitate drug-induced liver injury (DILI) and hepatitis ( 6 ). Recent studies have indicated that CsA causes hepatotoxicity by increasing the metabolic activities of the liver, mitochondrial damage, and increasing reactive oxygen species (ROS) and oxidative stress ( 1 ). However, the molecular mechanisms underlying CsA's liver toxicity remain to be fully elucidated. It is evident that several genes exert a significant influence on fat metabolism in the liver. Among these, the PTB1-B, SREBP-1c, FAT/CD36, and HNF4α genes warrant particular mention.The sterol regulatory element-binding protein 1c (SREBP-1c) is a transcription factor that functions as a pivotal regulator of lipid metabolism, exerting its influence on the expression of proteins associated with this process. An increase in the activity of this factor has been observed to result in escalated lipogenesis, the onset of hyperlipidaemia, and the potential initiation of liver steatosis 7 , 8 ).The expression of SREBP-1c can be modified by several pharmacological agents. For instance, ethanol has been observed to increase lipid synthesis in the liver by means of upregulating SREBP-1c, which is one of the mechanisms through which ethanol induces hepatic steatosis ( 9 ). Another pivotal factor in fat metabolism is (CD36/Fatty acid translocase) FAT/CD36, which plays a pivotal role in the uptake of fatty acids by the liver. The uptake of long-chain fatty acids by the liver is facilitated by the presence of fatty acid transporter proteins 2 and 5 (FATP 2/5), caveolins, FA translocase (FAT)/CD36, and plasma membrane fatty acid-binding protein ( 10 ). Among these factors, FAT/CD36 plays a more significant role in this process ( 11 ). Recent studies in the field of lipid metabolism have revealed that the protein tyrosine phosphatase 1B (PTB1-B) is a newly identified activator of hepatic lipogenesis. This cytoplasmic enzyme regulates the activity of other enzymes by dephosphorylating the tyrosine amino acid. The consequences of elevated PTB1-B activity are twofold: firstly, it gives rise to hyperlipidaemia and liver steatosis, and secondly, it has been shown to inhibit the activity of lipogenesis-related genes, such as SREBPs ( 12 ). In conclusion, PTP1B plays a significant role in hepatic lipogenesis and may serve as a novel therapeutic target for improving hepatic steatosis ( 13 ). Secondly, hepatic steatosis may be caused by a reduction in the rate of β-oxidation of fatty acids, which can be influenced by a high-fat or high fructose diet, and the use of certain drugs.Hepatic Nuclear Factor 4α (HNF4α) is an intranuclear receptor that plays a pivotal role in regulating the metabolism of fats (β-oxidation of fatty acids), glucose, bile acids, and drugs. Decreased HNF4α expression has been observed in diabetes, obesity, non-alcoholic fatty liver disease, and following the consumption of a high-fat diet, likely as a result of increased free fatty acids and cholesterol ( 14 ). However, the role of these aforementioned molecules in liver injury after CsA treatment remains to be elucidated. Curcumin, the principal active ingredient of turmeric, has demonstrated efficacy in counteracting liver damage induced by alcohol or non-alcoholic liver diseases ( 15 ). This yellow phenolic pigment possesses a wide range of biological and pharmacological activities, including its capacity as an antioxidant and free radical scavenger, with the ability to impede the generation of various oxidant free radicals. In the study conducted by Rahmani et al., improvements in various disease characteristics were observed following short-term supplementation with curcumin in patients with non-alcoholic fatty liver disease ( 15 ). However, it remains unclear whether curcumin mitigates liver injury following treatment with CsA, and this issue requires further clarification. The primary objective of this study is to evaluate the molecular mediators of CsA-induced liver damage (steatosis and hepatitis), namely PTB1-B (SREBP-1c, FAT/CD36, HNF4α. Secondly, we also aimed to investigate whether curcumin reduces liver injury resulting from the administration of CsA.
Abbreviations
CsA, cyclosporine A; PTP1B, protein tyrosine phosphatase 1B; SEM, standard error of the mean; FAT/CD36, fatty acid translocase CD36; SREBP-1c, sterol regulatory element-binding protein-1c; HNF4A, hepatocyte nuclear factor 4 alpha significant decrease; ALT, alanine aminotransferase; AST, aspartate aminotransferase; ALP, alkaline phosphatase; IL-2, interleukin-2; DILI, drug-induced liver injury; ROS, reactive oxygen species; TC, total cholesterol; TGs, triglycerides; EDTA, ethylenediaminetetraacetic acid; ANOVA, one-way analysis of variance; FATP 2/5, fatty acid transporter proteins 2 and 5.CsA, cyclosporin A; PTP1B, protein tyrosine phosphatase 1B; SEM, standard error of the mean; FAT/CD36, fatty acid translocase CD36; SREBP-1c, sterol regulatory element-binding protein-1c; HNF4A, significant decrease in hepatocyte nuclear factor 4 alpha; ALT, alanine aminotransferase; AST, aspartate aminotransferase; ALP, alkaline phosphatase; IL-2, interleukin-2; DILI, drug-induced liver injury; ROS, reactive oxygen species; TC, total cholesterol; TGs, triglycerides; EDTA, ethylenediaminetetraacetic acid; ANOVA, one-way analysis of variance; FATP 2/5, fatty acid transporter proteins 2 and 5.
2. Materials and Methods
In the present study, the animal care and experimental procedures received approval from the Ethics Committee, a section of the Research Deputy of the Urmia University of Medical Sciences (IR.UMSU.REC.1398.005). Twenty-eight male adult Wistar rats, with an average weight of 220 ± 10 g (aged 6 to 8 weeks), were randomly assigned to four distinct groups.
1. Control (Con) group: The rats were administered tap water as a vehicle once daily for a period of 28 days.
2. Sham group: The rats were administered a dimethyl sulfoxide solution (5% DMSO) via gastric gavage once daily for a period of 28 days.
3. Cyclosporine A group: Cyclosporine A (CsA, Sandimmune®, New Jersey) was administered to the rats at a dosage of 30 mg/kg, diluted in dimethyl sulfoxide (DMSO), via gastric tube once daily in the morning at 8:00 AM for a duration of 28 days ( 16 ).
Cyclosporine Group A+curcumin (CsA+cur, Merck, India) was administered to rats at a dosage of 30 mg/kg at 8:00 AM and 40 mg/kg at 10:00 AM, both via oral administration. ( 17 ) was diluted in DMSO once daily for a period of 28 days. Following a 4-week period of observation, the rats were anaesthetised using a combination of ketamine (60 mg/kg) and xylazine (6 mg/kg). Blood samples were then obtained from the heart of the animals and placed into tubes containing ethylenediaminetetraacetic acid (EDTA). The tubes were then placed into a centrifuge at 4000 × g for 20 minutes, after which the plasma was obtained and stored at -80 °C for subsequent analysis. The liver tissue was then excised, meticulously separated from surrounding tissues, adipose deposits, and blood clots, and subsequently washed in ice-cold physiological saline.A portion of the liver was frozen using liquid nitrogen and stored at -80°C for gene expression analysis, while another portion was fixed in a 10% buffered formalin solution for histopathological examination.
2.1. Biochemistry Analysis
Plasma levels of total cholesterol (TC) and triglycerides (TGs) were quantified using colourimetric and enzymatic methods, while the concentrations of low-density lipoprotein (LDL) and high- density lipoprotein (HDL) were measured directly using kits from Biosystem (Barcelona, Spain). The plasma levels of liver enzymes, including alanine aminotransferase (ALT), aspartate aminotransferase (AST), and alkaline phosphatase (ALP), were measured through a colorimetric assay in accordance with the manufacturer's instructions (Lab test Diagnostika SNord GmbH, Nordhorn, Germany).Serum albumin levels were determined using an automatic analyzer (Architect c8000 Clinical Chemistry System, Abbott, IL, USA).
2.2. Quantitative Real-Time PCR
In order to ascertain the expression levels of PTP1B, FAT/CD36, SREBP-1c and HNF4A genes in hepatic tissue, the samples were subjected to homogenization and total RNA extraction in accordance with the kit instructions (GeneAll, Cat No. 305-101). The quantity and purity of the extracted RNA were evaluated using a Nanodrop spectrophotometer (Thermo Scientific, USA) to ensure suitability for subsequent molecular techniques. Following this, complementary DNA (cDNA) was synthesized according to the manufacturer's instructions using the Pocket Script RT perMix (BioNeer, Alameda, CA, USA).The synthesized cDNAs served as templates for real-time PCR, after which the relative expression of mRNA was analyzed using the accurate 2-(ΔΔCt) method, with results reported as fold changes relative to a housekeeping gene. The primers for the target genes are detailed in Table 1, with sequences obtained from GenBank (http://blast.ncbi.nlm.gov/Blast.cgi). The corresponding primers were validated on the NCBI website using Gene Runner software (Syngene, Cambridge, UK), and the specificity of the novel primer sets was confirmed using Oligo 7 software.
| primers | sequence | 
|---|---|
| PTP1B(forward) | TTCAAAGTCCGAGAGTCAGG | 
| PTP1B(reverse) | CGGGTCTTTCCTCTTGTCCA | 
| HNF4α(forward) | TGCGACTCTCTAAAACCCTC | 
| HNF4α(reverse) | CTTCAGATGGGGATGTGTCA | 
| CD36(forward) | GACTTGTACTCTCTCCTCGG | 
| CD36(reverse) | AGTAATGAGCCCACAGTTCC | 
| SREBP-1c (forward) | GCGCCTTGACAGGTGAAGTC | 
| SREBP-1c (reverse) | GCCAGGGAAGTCACTGTCTTG | 
| GAPDH (forward) | AGA CAG CCG CAT CTT CTT GT | 
| GAPDH (reverse) | CTT GCC GTG GGT AGA GTC AT | 
2.3. Histopathological Examination
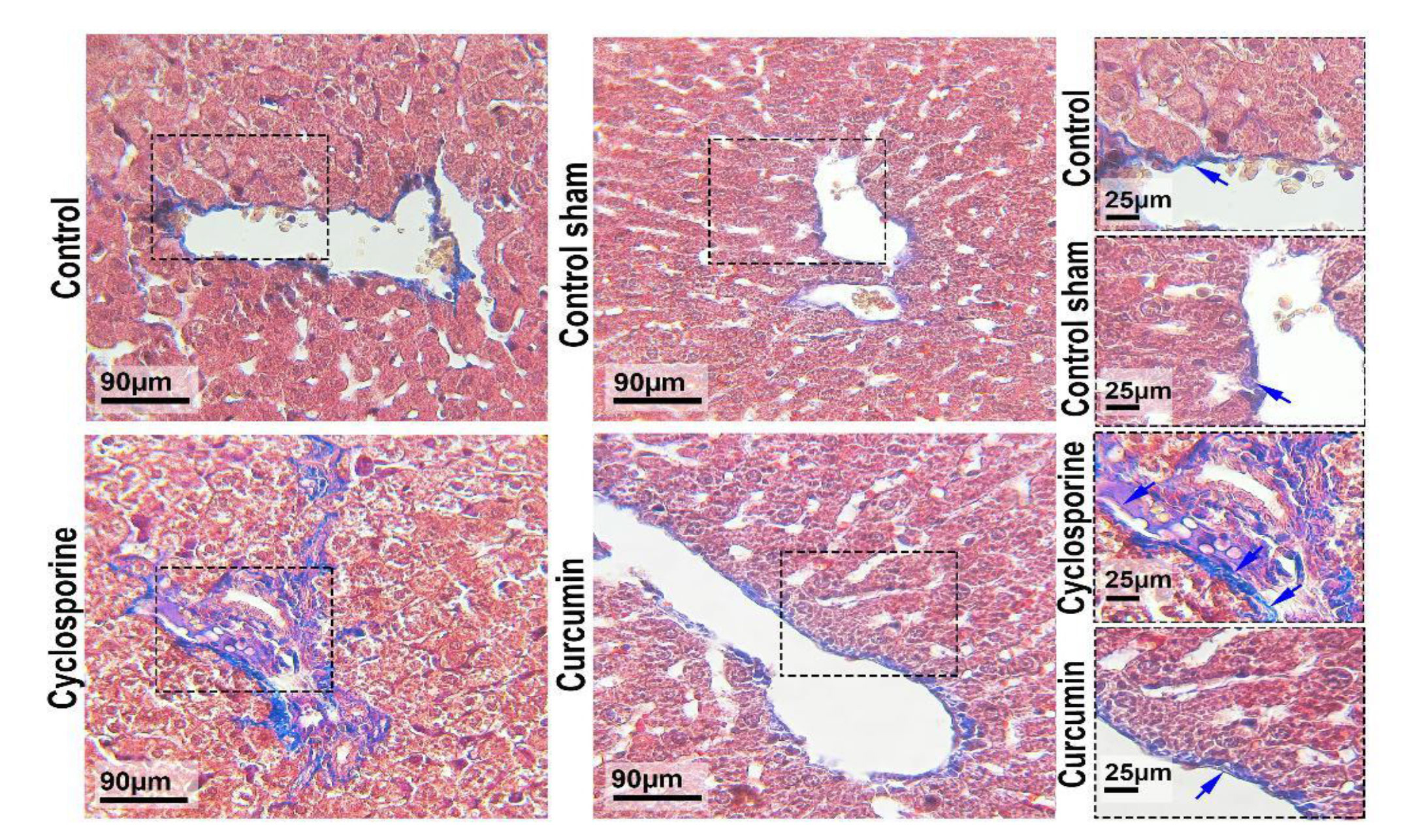
In order to assess liver tissue fibrosis, 5 µm sections of kidney tissue were subjected to Masson's Trichrome staining in accordance with the manufacturer's guidelines (Asiapajohesh, Amol, Iran).The severity of liver fibrosis was evaluated through a semiquantitative method as previously described ( 18 ). The scoring system ranged from 0 (indicating normal liver) to 8 (indicating total fibrosis). The criteria for scoring liver fibrosis were defined as follows: grade 0 = normal liver; grade 1 = minimal fibrosis characterized by slight thickening of liver tissue; grades 2 and 3 = moderate thickening of liver tissue without significant structural damage; grades 4 and 5 = increased fibrosis accompanied by complete structural damage and the formation of fibrotic bands or small fibrotic masses; grades 6 and 7= severe structural disturbances with extensive fibrotic areas in the liver tissue; and grade 8 = total obliteration due to fibrosis ( 18 ).
2.4. Statistical Analysis
Initially, the normality of the data was established through the implementation of the Kolmogorov-Smirnov test. Subsequent to this, the identification of any disparities amongst the groups was facilitated by the utilisation of the one-way analysis of variance (ANOVA) and the Tukey's post hoc test. The outcomes of this study are presented as the mean±standard error of the mean (SEM). A statistical significance level of P<0.05 was employed to determine the relevance of the results.
3. Results
3.1. Biochemical Findings
As demonstrated in Table 2, an investigation into the plasma lipid profile in the various groups of this study reveals that plasma levels of cholesterol, triglycerides, and low-density lipoprotein (LDL) were markedly elevated in rats treated with CsA (p<0.05) in comparison to both the control and sham groups. In contrast, the concurrent administration of curcumin with CsA treatment led to a significant reduction in cholesterol, triglyceride, and LDL levels in the plasma compared to the CsA groups (p<0.05).Furthermore, CsA treatment resulted in a decrease in plasma HDL levels, while curcumin administration increased them in rats receiving CsA treatment (p<0.05). As demonstrated in Table 3, CsA consumption significantly increased the levels of AST, ALT and ALP in rat plasma compared to the control group (p<0.05). Conversely, the concurrent administration of curcumin with CsA treatment significantly decreased these enzyme levels (p<0.05).No significant differences were observed in plasma albumin levels among the different groups.
| Con | Sham | CsA | CsA +Cur | |
|---|---|---|---|---|
| Cholesterol | 64±5.7 | 63.5±6.1 | 85.4±5.9* | 67.6±13.5† | 
| HDL | 34.2±1.03 | 36.9±2.1 | 30.2±2.7* | 39.8±2.02† | 
| LDL | 12±0.82 | 11±0.9 | 20.7±3.5* | 14.02±2.5† | 
| Triglycerides | 111.2±20.2 | 109±7.2 | 115.6±4.8* | 88±.3.1† | 
| Con | Sham | CsA | CsA+Cur | |
|---|---|---|---|---|
| ALT | 56.48±10.3 | 57.41±5.21 | 126.4±5.29* | 45.68±3.6† | 
| AST | 79.1±5.1 | 82.11±7.2 | 215±21.18* | 82.5±5.9† | 
| ALP | 50.28±1.6 | 49.31±2.1 | 60.68±2.38* | 39±4.01† | 
| Albumin | 3.42±0.13 | 3.22±0.17 | 3.06±0.29 | 3.02±0.4 | 
3.2. FAT/CD36, PTP1B, SREBP-1c and HNF4A Gene Expressions in the Liver Tissue
As illustrated in Figures 1, 2, 3 and 4, the impact of CsA administration, both with and without curcumin, on the gene expression levels of FAT/CD36, PTP1B, SREBP-1c and HNF4A as mediators of steatosis in the liver of male rats is demonstrated. The present study revealed that CsA consumption significantly increased FAT/CD36, PTP1B and SREBP-1c gene expressions in liver tissue compared to the control and sham groups (p<0.05). Curcumin usage significantly (p<0.05) declined the mentioned gene expressions in the liver samples of the CsA group. Furthermore, CsA exposure significantly diminished the expression of HNF4A mRNA in the liver samples of male rats in comparison to the control and sham groups (p<0.05). In the CsA+cur group, a significant increase was observed in comparison to the CsA group (p<0.05).
Figure 1. The present study investigates the impact of CsA, administered with or without curcumin treatment, on the expression of the FAT/CD36 gene in liver tissue following a 28-day period. The relative amounts of mRNA were examined using quantitative real-time PCR analysis, with values expressed as the mean ± SEM for a total of seven rats per group. A p < 0.05 was considered to indicate a significant difference compared to the control and sham groups. $ denotes a significant difference compared to the CsA group. On: Control, Sham, CsA: Cyclosporine A, CsA+cur: Cyclosporine A+curcumin.
Figure 2. The present study investigates the impact of CsA, administered with or without curcumin treatment, on the expression of the PTP1B gene in liver tissue following a 28-day period. The relative amounts of mRNA were examined using quantitative real-time PCR analysis, with values expressed as the mean ± SEM for a total of seven rats per group. A p<0.05 was considered to indicate a significant difference compared to the control and sham groups. $ denotes significant difference compared to the CsA group.Con: Control, Sham, CsA: Cyclosporine A, CsA+cur: Cyclosporine A+curcumin.
Figure 3. The present study investigates the impact of CsA, administered with or without curcumin treatment, on the expression of the HNF4α gene in liver tissue following a 28-day period. The relative amounts of mRNA were examined using quantitative real-time PCR analysis, with values expressed as the mean ± SEM for a total of seven rats per group. A p<0.05 was considered to indicate a significant difference compared to the control and sham groups. $ denotes a significant difference compared to the CsA group.Con: Control, Sham, CsA: Cyclosporine A, CsA+cur: Cyclosporine A+curcumin.
Figure 4. The present study investigates the impact of CsA, administered with or without curcumin treatment, on the expression of the SERBP gene in liver tissue after a 28-day period. The relative amounts of mRNA were examined using quantitative real-time PCR analysis, with values expressed as the mean ± SEM for a total of seven rats per group. A p < 0.05 was considered to indicate a significant difference compared to the control and sham groups. $ denotes a significant difference compared to the CsA group.Con: Control, Sham, CsA: Cyclosporine A, CsA+cur: Cyclosporine A+curcumin.
3.3. Histopathological Alterations in the Liver Tissue
Masson's Trichrome staining was conducted to evaluate the effects of CsA consumption and curcumin treatment on liver tissue fibrosis. As demonstrated in Figure 5, no lesion scores were observed in the liver tissue of control and sham rats (grade 0). In contrast, the microscopic lesion score for the liver tissue from the CsA-treated group ranged from 4 to 5, indicating severe liver tissue damage. Conversely, the co-administration of curcumin and CsA led to a substantial reduction in liver fibrosis (grade 1).
Figure 5. Photomicrographs of liver tissue staining with Masson Trichrome staining reveal a microscopic lesion score of 4 to 5 in the liver tissue, indicating severe liver tissue lesions. Furthermore, the administration of curcumin in conjunction with CsA has been observed to attenuate CsA-induced fibrosis in liver tissue (grade 1). Magnification: ×400. Con: Control, Sham, CsA: Cyclosporine A, CsA+cur: It is evident from the photomicrographs that the liver tissue exhibited a microscopic lesion score of 4 to 5, indicating severe liver tissue lesions. Furthermore, the administration of curcumin in conjunction with CsA has been observed to attenuate CsA-induced fibrosis in liver tissue, classified as grade 1. Magnification: ×400. Con: Control, Sham, CsA: Cyclosporine A, CsA+cur: Cyclosporine A+curcumin.
4. Discussion
In view of the imperative to regulate the adverse effects of CsA, given the extensive patient population that consumes this pharmaceutical agent (i.e., recipients of transplanted tissue and individuals afflicted with autoimmune diseases) ( 3 ), the present article concentrates on the hepatotoxicity of CsA and its underlying mechanisms, given the paucity of studies addressing this subject. The primary findings of the current study indicated that following prolonged exposure to CsA: (i) CsA administration led to a disturbance in lipid profile and liver enzymes as evidenced by an increase in plasma LDL, cholesterol, triglyceride, ALT, AST and ALP compared to the control group; (ii) CsA caused liver fibr The molecular analysis revealed that CsA enhanced the expression of PTP1B, FAT/CD36, and SREBP-1c, and decreased the expression of HNF4A in the livers of male rats. Furthermore, significant improvements in fibrotic disorders and the molecular mediators associated with liver injury were observed in the animals treated with curcumin. These changes were likely mediated through the transcription factors FAT/CD36, PTP1B, and HNF4A.In the current study, evaluating the level of lipids in plasma demonstrated that CsA group showed significantly higher plasma LDL, triglyceride and cholesterol levels as well as lower plasma level of HDL than the control group. Furthermore, the ALT, AST, and alkaline phosphatase (ALP) levels were elevated in this group relative to the control group, and the curcumin cotreatment ameliorated this deleterious effect of CsA.Collectively, these observations suggest that CsA can inflict harm on hepatic tissue.It is acknowledged that the consequences of CsA on the liver are attributable to its propensity to augment metabolic activities, induce mitochondrial impairment, elevate ROS levels, and exacerbate oxidative stress ( 1 ). In a study conducted by Korolczuk et al., the effect of CsA on oxidative stress and morphological changes in liver tissue was assessed in adult rats. The results of this study demonstrated that CsA administration significantly impaired liver function, as evidenced by elevated levels of ALT and AST enzymes, blood bilirubin, and lipid peroxidation products. Additionally, progressive inflammation and steatosis were observed as a result of oxidative stress insult. These findings are in agreement with the results of our own study. In the present study, we demonstrated that CsA caused fibrotic changes in the liver tissue of male rats. This is the first study to evaluate fibrotic alterations following CsA consumption, thus confirming the biochemical data that CsA induces liver injury and unwanted deleterious changes in this organ. Previous studies have also confirmed our results, demonstrating that CsA causes structural changes in liver tissue, including hepatocyte necrosis, inflammation, steatosis, sinusoid expansion, and congestion ( 1 , 20 ). Despite the plethora of evidence indicating the occurrence of liver damage subsequent to CsA consumption, the molecular mechanisms underpinning this phenomenon remain to be fully elucidated.A salient increase in the expression levels of protein tyrosine phosphatase 1B (PTP1B), FAT/CD36, and SREBP-1c, alongside a substantial reduction in the expression levels of hepatocyte nuclear factor 4 Alpha (HNF4A) genes, was observed in the CsA group as determined by real-time PCR in comparison to the control group. These findings suggest that these molecules may play a role in the side effects of cyclosporine.In 2018, Shirpoor et al. conducted a study to investigate the molecular mechanism (FAT/CD36, PTP1B, and HNF4A) involved in liver damage caused by alcohol consumption in rats. The results of this study demonstrated an alteration in the gene expression of molecules involved in fat metabolism (FAT/CD36, PTP1B, and HNF4A) in animals treated with alcohol in comparison to the control rats. Specifically, an increase in the level of FAT/CD36 and PTP1B genes, and a decrease in the expression of HNF4A gene, was observed ( 9 ). An in vitro study reported by Jin et al. in 2004 investigated the molecular mechanisms used (liver-X-receptor, FAT/CD36) by CsA in macrophages in the development of atherosclerosis. This study showed increased expression of liver-X-receptor, FAT/CD36 genes in the CsA group compared to the control group ( 21 ). Concurrently, an additional study by Borlak et al. demonstrated that CsA can induce diabetes by suppressing the expression of the HNF4a gene in mice ( 22 ). These articles corroborate the results of our study concerning the mediation of CsA effects by these molecules. Another finding of this study was that administration of curcumin alongside CsA resulted in a reduction of liver structural and functional changes, which were possibly mediated by FAT/CD36, PTP1B, SREBP-1c and HNF4A gene expressions. Previous research has demonstrated that curcumin supplementation influences lipid profiles, oxidative stress, and liver function in various disorders ( 23 , 24 ), which are in line with the findings of this study. Curcumin, a substance with a proven track record in counteracting liver damage caused by alcohol or non-alcoholic factors ( 15 , 25 ), has been shown to possess potent antioxidant properties. The findings of this study, which demonstrate the efficacy of curcumin in mitigating CsA-induced liver injury, are particularly noteworthy when viewed in light of the oxidative stress associated with CsA. The results of this study serve to reinforce the notion that curcumin exerts a protective effect on liver tissue, thereby reducing the adverse consequences of CsA-induced liver injury. This study lends further credence to the notion that curcumin, a potent antioxidant and free radical scavenger, can mitigate the adverse effects of CsA-induced liver damage. In order to evaluate the impact of an antioxidant on CsA-induced hepatic adverse effects, Shirpoor examined the effects of ginger, which demonstrated that treatment with ginger enhances all unfavourable alterations in the liver ( 9 ). In summary, this article proposes that CsA can induce hepatic tissue injury through lipid homeostasis disorders facilitated by FAT/CD36, PTP1B, and HNF4A gene expression alterations. The study indicates that the mitigation of these adverse effects of CsA can be achieved through the use of curcumin, a compound that functions as both an antioxidant and an anti-inflammatory agent. The present article posits the hypothesis that CsA has the capacity to induce liver tissue damage through the process of disrupting lipid homeostasis. This process is further mediated by alterations in the expressions of FAT/CD36, PTP1B and HNF4A genes. Furthermore, it is suggested that these deleterious effects of CsA may be mitigated by the administration of curcumin, which functions as an antioxidant and anti-inflammatory supplement.
Acknowledgment
This research was supported by the Nephrology and Kidney Transplant Research Center, Clinical Research Institute, Urmia University of Medical Sciences, Urmia, Iran.
Authors' Contribution
Conceptualization, Methodology: A. S.
Data curation: M. S.
Writing – original draft: S. GA.
Conceptualization, Data curation, Formal analysis, Methodology, Project administration, Supervision, Validation, Visualization, Writing – original draft, Writing – review & editing: R. N.
Ethics
All animal procedures were approved by the guidelines of the Ethics Committee of Urmia University of Medical Sciences (Ethical Code: IR.UMSU.REC.1398.005).
Conflict of Interest
All authors have declared no competing interests.
Grant Support
This study
Data Availability
Data will be available upon request.
References
- Korolczuk A, Caban K, Amarowicz M, Czechowska G, Irla-Miduch J. Oxidative Stress and Liver Morphology in Experimental Cyclosporine A-Induced Hepatotoxicity. BioMed research international. 2016; 2016:5823271.
- Bemer V, Motta I, Perret R, Truffa-Bachi P. Interleukin-2 down-modulates memory T helper lymphocyte development during antigenic stimulation in vitro. European journal of immunology. 1995; 25(12):3394-401.
- Matsuda S, Koyasu S. Mechanisms of action of cyclosporine. Immunopharmacology. 2000; 47(2-3):119-25.
- Badi N, Fazelipour S, Naji T, Babaei M, Kalantari Hesari A. Histomorphometric and biochemical study of liver and thyroid hormones following administration of MoO3 nanoparticles in female rats. Iranian Journal of Veterinary Medicine. 2022; 16(2):188-201.
- Moghadasian MH. Dietary phytosterols reduce cyclosporine-induced hypercholesterolemia in apolipoprotein E-knockout mice. Transplantation. 2006; 81(2):207-13.
- Gao B, Bataller R. Alcoholic liver disease: pathogenesis and new therapeutic targets. Gastroenterology. 2011; 141(5):1572-85.
- Tréguier M, Doucet C, Moreau M, Dachet C, Thillet J, Chapman MJ, et al. Transcription factor sterol regulatory element binding protein 2 regulates scavenger receptor Cla-1 gene expression. Arteriosclerosis, thrombosis, and vascular biology. 2004; 24(12):2358-64.
- Guvenc M, Dogan I. Effect of Helichrysum plicatum Subs. plicatum on Fructose-induced Nonalcoholıc Fatty Liver. Iranian Journal of Veterinary Medicine. 2024; 18(1)
- Shirpoor A, Heshmati E, Kheradmand F, Gharalari FH, Chodari L, Naderi R, et al. Increased hepatic FAT/CD36, PTP1B and decreased HNF4A expression contributes to dyslipidemia associated with ethanol-induced liver dysfunction: Rescue effect of ginger extract. Biomedicine & pharmacotherapy=Biomedecine & pharmacotherapie. 2018; 105:144-50.
- Stremmel W, Staffer S, Wannhoff A, Pathil A, Chamulitrat W. Plasma membrane phospholipase A2 controls hepatocellular fatty acid uptake and is responsive to pharmacological modulation: implications for nonalcoholic steatohepatitis. FASEB journal : official publication of the Federation of American Societies for Experimental Biology. 2014; 28(7):3159-70.
- Greco D, Kotronen A, Westerbacka J, Puig O, Arkkila P, Kiviluoto T, et al. Gene expression in human NAFLD. American journal of physiology Gastrointestinal and liver physiology. 2008; 294(5):G1281-7.
- Waring JF, Ciurlionis R, Clampit JE, Morgan S, Gum RJ, Jolly RA, et al. PTP1B antisense-treated mice show regulation of genes involved in lipogenesis in liver and fat. Molecular and cellular endocrinology. 2003; 203(1-2):155-68.
- Chen PJ, Cai SP, Huang C, Meng XM, Li J. Protein tyrosine phosphatase 1B (PTP1B): A key regulator and therapeutic target in liver diseases. Toxicology. 2015; 337:10-20.
- Xu J, Xu Y, Li Y, Jadhav K, You M, Yin L, et al. Carboxylesterase 1 Is Regulated by Hepatocyte Nuclear Factor 4α and Protects Against Alcohol- and MCD diet-induced Liver Injury. Scientific reports. 2016; 6:24277.
- Rahmani S, Asgary S, Askari G, Keshvari M, Hatamipour M, Feizi A, et al. Treatment of Non-alcoholic Fatty Liver Disease with Curcumin: A Randomized Placebo-controlled Trial. Phytotherapy research : PTR. 2016; 30(9):1540-8.
- Huang J, Yao X, Weng G, Qi H, Ye X. Protective effect of curcumin against cyclosporine Ainduced rat nephrotoxicity. Molecular medicine reports. 2018; 17(4):6038-44.
- Bhutani MK, Bishnoi M, Kulkarni SK. Anti-depressant like effect of curcumin and its combination with piperine in unpredictable chronic stress-induced behavioral, biochemical and neurochemical changes. Pharmacology, biochemistry, and behavior. 2009; 92(1):39-43.
- Ashcroft T, Simpson JM, Timbrell V. Simple method of estimating severity of pulmonary fibrosis on a numerical scale. Journal of clinical pathology. 1988; 41(4):467-70.
- Irannejad A, Khatamsaaz S, Mokhtari MJ. Effect of hydro-alcoholic extract of rosemary on lipid profile and liver enzymes in male wistar rats fed with high-fat diet. Iranian Journal of Veterinary Medicine. 2022.
- Akbulut S, Elbe H, Eris C, Dogan Z, Toprak G, Yalcin E, et al. Effects of antioxidant agents against cyclosporine-induced hepatotoxicity. The Journal of surgical research. 2015; 193(2):658-66.
- Jin S, Mathis AS, Rosenblatt J, Minko T, Friedman GS, Gioia K, et al. Insights into cyclosporine A-induced atherosclerotic risk in transplant recipients: macrophage scavenger receptor regulation. Transplantation. 2004; 77(4):497-504.
- Borlak J, Niehof M. HNF4alpha and HNF1alpha dysfunction as a molecular rational for cyclosporine induced posttransplantation diabetes mellitus. PloS one. 2009; 4(3):e4662.
- Samarghandian S, Azimi-Nezhad M, Farkhondeh T, Samini F. Anti-oxidative effects of curcumin on immobilization-induced oxidative stress in rat brain, liver and kidney. Biomedicine & pharmacotherapy = Biomedecine & pharmacotherapie. 2017; 87:223-9.
- Salimi A, Kheiripour N, Fathi Jouzdani A, Ghasemi H, Soleimani Asl S, Ghafouri-Khosrowshahi A, et al. Nanocurcumin Improves Lipid Status, Oxidative Stress, and Function of the Liver in Aluminium Phosphide-Induced Toxicity: Cellular and Molecular Mechanisms. BioMed research international. 2022.
- Kunchandy E, Rao M. Oxygen radical scavenging activity of curcumin. International journal of pharmaceutics. 1990; 58(3):237-40.
 
								 
 