Unleashing Monoclonal Antibodies: Targeting Covid-19’s Nucleocapsid Protein and Spike Antigens

Document Type : Original Articles

Authors

1 Department of Proteomics and Biochemistry, Razi Vaccine and Serum Research Institute, Agricultural Research Education and Extension Organization (AREEO), Karaj, Iran

2 Razi Vaccine and Serum Research Institute

10.32592/ARI.2025.80.1.75

Abstract

Since the end of 2019, the severe acute respiratory syndrome coronavirus 2 (SARS-CoV-2) has infected many people globally. Diagnosis and treatment of patients have a pivotal role in surviving them. Two units of virus namely, Nucleocapsid protein and Spike proteins play important roles in entering and affecting cells. These two substances can be good targets for producing monoclonal antibodies which can be useful in treatment, serological diagnosis tests, and even prevention by vaccination.
The Nucleocapsid protein and Spike proteins of SARS‐CoV‐2 were purchased by Razi Vaccine and Research Institue in Karaj in 2020. Then they were separately injected into mice with appropriate dosage of adjuvants. The spleen cells of immunized mice were fused with myeloma cells. The best antibody producer clones were opted for further evaluation tests. Western Blot and ELISA were used to demonstrate the immunoreactivity of the recombinant Np and S proteins. Finally, we freeze the best clones in nitrogen.
By using an ELISA test, eight clone antibodies namely, 3G1, 3G2, 3E7, H11, A11, F10, B11, and 2F6 were identified. These monoclonal antibodies were found to be against the S and N p antigens of SARS-CoV-2. Additionally, the results of the western blot test indicated that each of these antibodies had antigenic sites against Spike and Nucleocapsid protein independently, and the isotyping test revealed that they were from IgG (2a, 2b) or IgM class antibodies.
The development of monoclonal antibodies has the potential to help in both diagnosis and treatment. The Nucleocapsid protein and Spike protein from SARS-CoV-2 exhibit a great deal of promise for creating a new generation of monoclonal antibodies. Moreover, a thorough method for the early diagnosis of COVID-19 can be offered by combining the detection of Nucleocapsid protein and Spike proteins..

Keywords

Main Subjects


1. Introduction

At the end of 2019, the global community observed the emergence of a novel coronavirus illness (Covid-19) in Wuhan, China. The virus was subsequently designated Severe Acute Respiratory Syndrome Coronavirus-2 (SARS-CoV-2). The virus rapidly evolved into a pandemic, spreading to multiple nations. Coronaviruses (CoVs) are a diverse group of viruses that range in severity from the common cold to more serious conditions such as SARS-CoV and Middle East respiratory syndrome (MERS)-CoV. These viruses are found in a wide range of bird and mammalian species. The precise origins of SARS-CoV-2 remain uncertain, with its emergence thought to have occurred from bats. The role of animal reservoirs and the mechanisms of enzymatic transmission are not yet fully elucidated ( 1 - 3 ). SARS-CoV-2 is a single-stranded, RNA-enveloped virus. Its complete genome, spanning 29,881 base pairs (GenBank accession no. MN908947), encompasses 9,860 amino acids and has been characterized by utilizing an RNA-based metagenomic next-generation sequencing technique. The structural and non-structural proteins are expressed by gene fragments. The nonstructural proteins, such as the 3-chymotrypsin-like protease, papain-like protease, and RNA-dependent RNA polymerase, are encoded by the ORF region, while the structural proteins are encoded by the spike (S), envelope (E), membrane (M), and nucleocapsid (Np) genes. The N protein is a multifunctional RNA-binding protein that plays many crucial roles in the packaging of the viral RNA genome, regulating viral RNA synthesis during replication and transcription and facilitating virus particle assembly. Angiotensin-converting enzyme 2 (ACE2), a host cell receptor that SARS-CoV-2 binds to in large numbers, is glycosylated on its surface and facilitates viral cell entry. When the S protein binds to the receptor, TM protease serine 2 (TMPRSS2), a type 2 TM serine protease located on the host cell membrane, it promotes virus entry into the cell by activating the S protein. The process of virus entry involves the release of the viral RNA, the translation of polyproteins from the RNA genome, and the protein cleavage and complex assembly of the replicase–transcriptase to facilitate transcription and replication of the viral RNA genome ( 4 , 5 ). A substantial amount of biological and financial resources have been allocated to the expeditious development of therapeutic, preventive, and diagnostic interventions for this disease over the past year. Monoclonal antibodies (mAbs), characterized by their high specificity and flexibility, have emerged as a leading solution in the fight against the novel strain of Coronavirus (SARS-CoV-2), which causes the disease known as "covid-19." Therapeutic monoclonal antibodies (mAbs) are capable of halting the progression of the disease immediately after administration and can facilitate recovery, even in cases where the patient lacks full immunity. These antibodies have recently become indispensable tools in the fight against a wide range of diseases, including viral infections. Furthermore, these antibodies can enhance the precision of diagnostic tests. It is noteworthy that monoclonal antibodies have been produced against various components of the virus ( 6 , 7 ). The sensitivity and specificity of detecting the N protein in the serum of patients with severe acute respiratory syndrome (SARS) due to the novel coronavirus (nCoV) were reported to be 92% and 97%, respectively ( 8 , 9 ). Furthermore, studies have detected the S and N proteins in the plasma of patients with SARS-CoV-2 in concentrations ranging from 8 to 20,000 pg/mL and 0.8 to 1,700 pg/mL, respectively ( 10 ). The targeting of these structural proteins has the potential to facilitate both diagnosis and therapeutic interventions ( 11 - 13 ). The present study aims to produce monoclonal antibodies against N and S proteins to facilitate further diagnostic tests that can distinguish more patients in a timely manner, thereby helping to prevent the probable endemic of this disease.

2. Materials and Methods

2.1. Preparation of Recombinant Proteins

The recombinant proteins of N (whole part) were procured from Avicenna Research Institute, and the S (RBD region) subunits in this study were obtained from the research conducted by Noorabad Ghahroodi, Khalili, and Rasaee ( 14 ). These proteins were procured by Razi Vaccine and Research Institute of Karaj in 2020.

2.2. Electrophoresis

The gel electrophoresis was performed using SDS-PAGE. The SDS-PAGE gel was composed of a 4% stacking gel and a 10% resolving gel ( 15 ). Subsequent to gel preparation, the Prefect TM Tricolor protein ladder was utilized for the loading of the samples. The ladder exhibited specific molecular weights of 11, 17, 20, 25, 35, 48, 63, 75, 100, 135, 180, and 245 kilodaltons (kDa). The voltage was maintained at a consistent range of 90–110 volts. Subsequent to this, the gel within the glass plates was separated and subjected to Coomassie Blue staining ( 16 ).

2.3. Determination of Molecular Weight of Protein Bands

The relative movement of the proteins was determined by employing the following formula. Subsequently, by substituting the Rf values in the standard curve, the molecular weight of the unknown protein bands was ascertained by creating the Rf/MW curve for the standard protein.

RF=The distance between the protein band and the wellThe length of the well

2.4 Lowry Method for Measuring Proteins

We employed Lowry's protein assay method ( 17 ) to ascertain the protein concentration in the virus solution that we procured. Subsequently, the spectrophotometer was calibrated at 750 nanometers, and the absorbances of 0 (Blank), 10, 25, 50, and 100 microliters of the standard protein (bovine serum albumin (BSA) at 1 milligram per milliliter) as well as 1:5 and 1:10 diluted protein solutions were measured against a reagent blank.

2.5. Immunization and Hybridization

In this investigation, six-week-old adult female BALB/c mice were utilized. All experiments were conducted following established protocols for the handling and care of experimental animals. To minimize the number of animals used in the study and to employ the least amount of stimulating agent that would prove effective, a protocol was established. The experimental design involved the injection of three mice with N recombinant protein, three mice with S recombinant protein, and two control mice. Intradermal injection of 120 µl of Ag(N or S recombinant protein) + 280 µl of PBS + 400 µl of Freund's complete adjuvant was performed for each mouse in the first exposure. For the second and third immunizations, which occurred every 10 days, mice received 120 µl of Ag(N or S recombinant protein) + 280 µl of PBS + 400 µl of Freund's incomplete form. To assess antibody titer, 6 weeks after the initial inoculation, venous blood was extracted from the tail of mice, and the serum titers were determined by indirect ELISA. Subsequently, the mouse with high serum titers was selected for the ensuing fusion. The spleen cells of BALB/c mice were fused with SP2/0 myeloma cells in the presence of polyethylene glycol 1500 (PEG 1500), and the resultant fusion cells were cultured in HAT-1640 medium containing hypoxanthine (H), aminopterin (A), and thymine (T). The indirect enzyme-linked immunosorbent assay (ELISA) and the limiting dilution-culture method were used to screen a stable anti-SARS-CoV-2-N and S monoclonal hybridoma cell line.

2.6. Limiting Dilution

The limiting dilution was executed by preparing serial dilutions of the hybridoma cell suspension in a growth medium. Each dilution was meticulously dispensed into 96-well cell culture plates, with each well containing a low density of cells. After the coating process, the plates were subjected to incubation under optimal conditions, thereby enabling cell proliferation and the formation of discrete colonies. This process ensured that a proportion of the wells contained single cells. Following a two-week incubation period, the cell culture medium from each well was examined for the presence of the targeted monoclonal antibody using enzyme-linked immunosorbent assay (ELISA) techniques.

2.7. ELISA

Initially, the wells of a 96-well microplate were coated with the antigens of N and S at a concentration of 2 µg/ml, with each well containing 100 µl of the antigens. Subsequently, the plates were subjected to a 12-hour incubation at 4°C. Thereafter, the wells were washed four times with PBST to eliminate any unbound antigen. Then, the wells were blocked with a blocking solution (BSA 1%) to prevent non-specific bindings. Following this step, the plates were washed with PBS, and 100 µl of purified monoclonal antibody samples obtained from the selected clones were added to the wells and incubated at 37°C for one hour and a quarter. Thereafter, the wells were washed again to remove any unbound monoclonal antibodies. To detect the bound monoclonal antibodies, a secondary antibody conjugated to horseradish peroxidase (HRP) with a concentration of 1/500 was added to the wells and incubated for one hour and a half. Subsequent to the removal of excess antibody, substrate solutions were introduced into the wells, and the plates were incubated for a period of 20 minutes. Subsequently, stop solutions containing 0.1M H2SO4 were added to the wells. Subsequently, the concentration of each well was measured at 450 nm.

2.8. Western Blot

The production of protein bands of S and N antigens was accomplished according to their molecular weight through a process known as gel electrophoresis, which was subsequently utilized to differentiate these samples based on their size. The process of transferring the protein samples from the gel to a membrane is referred to as a "protein blot." To achieve this, an electric current of 15 millivolts for 15 minutes was employed through an electroblotting technique, thereby attracting the protein bands to the membrane using a device known as a semi-dry apparatus. To mitigate nonspecific antibody binding and minimize background effects, a blocking agent (i.e., bovine serum albumin) is applied to the membrane and incubated for 1.5 hours. Primary antibodies, meticulously engineered to discern the target protein, were applied to the membrane. In this particular instance, antibodies directed against the N and S proteins of SARS-CoV-2 were utilized and maintained at 4°C for 16 hours. After the primary antibody incubation, secondary antibodies, in this case, anti-mouse antibodies with a concentration of 1/1000, are typically introduced. These secondary antibodies are labeled with an enzyme, horseradish peroxidase (HRP). These secondary antibodies bind to the primary antibodies, allowing for the detection and visualization of the target proteins. The resulting bands on the membrane were then compared to standard protein markers. Additionally, serum samples from patients were utilized as a source of polyclonal antibodies, allowing for a comparative analysis with our monoclonal antibodies.It is noteworthy that the nitrocellulose membrane was subjected to repeated washes with PBST between each stage of the procedure, ensuring the maintenance of optimal conditions and the reliability of the results.

2.9. Isotyping

The Isostrip kit was utilized following the instructions outlined in the relevant catalog, which delineated a three-step procedure. First, 2% of BSA 1% was dissolved in two milliliters of PBS (pH: 7.2) at room temperature.Then, 15 microliters of the desired antibody were diluted in 150 microliters of the aforementioned buffer (with a dilution of one-tenth) and added to the Isostrip tube. The contents of the tube were then mixed. Finally, from the end of the strip, it was placed in the tube and 5-10 minutes were allotted for the determination of the class and subclass, as well as the type of chain.

3. Results

3.1. Electrophoresis Results

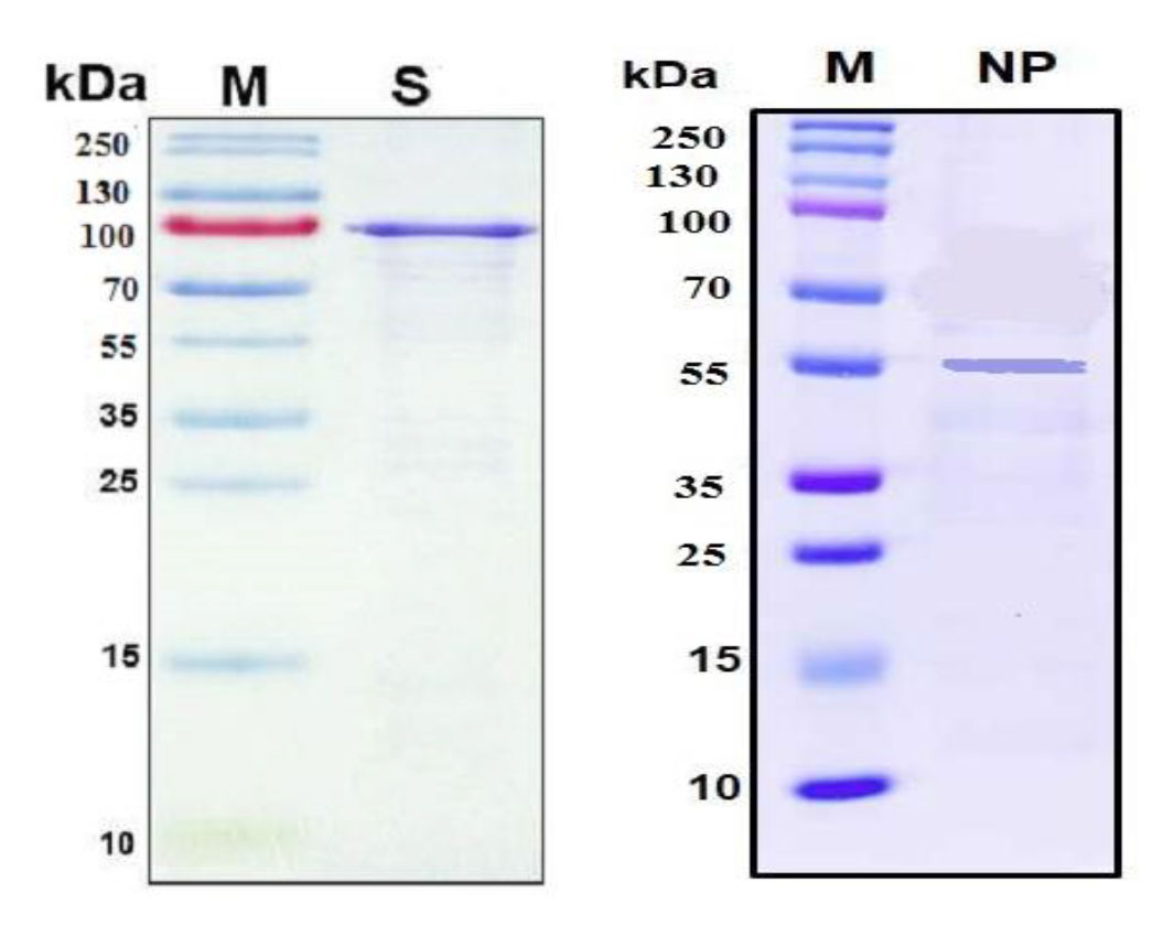
We employed an electrophoresis technique to examine the proteins that we procured, and the results confirmed that the proteins were N and S proteins. The target antigens S and N have specific bands in the range of 100 and 55 kilodaltons, respectively (Figure 1).

Figure 1. Results of 10% gel electrophoresis of S, Np antigens along with protein marker

3.2. Rf Calculation

According to the standard protein column on the gel, the protein molecular weight of the antigen can be estimated. However, to ensure the precision of the calculation, the graph of the relative movement rate against the molecular weight was constructed (Figure 2).

Figure 2. RF diagram against molecular weight

graph of the relative movement rate against the molecular weight was constructed (Figure 2). Subsequent to this, the molecular weight of the bands was obtained by referencing this figure and the placement of the RF of the antigen sample (Table 1).

Molecular weight of standard 10 15 25 35 55 70 100 130 250
RF 0.435 0.954 0.795 0.613 0.477 0.318 0.181 0.113 0.068
Ags RF Np S
Table 1.RF measurement of the standard protein and Ags

3.3 Proteins Measurments Results

The light absorption of the antigen, without dilution, was found to be 0.046. This finding was then compared to the values obtained from the standard BSA sample, which was used to create a standard equation. The regression equation derived from this analysis is y=0.004x+0.013. The concentrations of the purchased recombinant Ags of S and N antigens were approximately 600 µg/ml (Figure 3 and Table 2).

Figure 3. Lowry standard diagram obtained from certain concentrations of BSA.

Standard BSA concentration (100ug/ul) Blank 5 10 20 40 80 100
The amount of light absorption (750 nm) 0 0.033 0.049 0.129 0.238 0.377 0.498
Table 2.The absorbance of standard protein.

3.4. Cell Culture Results

The results of cell culture are displayed in Figure 4. Specifically, image A depicts SP2/0 myeloma cells in the logarithmic phase. It is evident that these cells have proliferated adequately and have attained a sufficient number to be utilized in the subsequent hybridization stage. Picture B, on the other hand, depicts the mouse spleen cells that were meticulously prepared for the feeder layer stage. Picture C: It shows the clone grown from the initial clone. The cell culture medium from these cells was utilized for the enzyme-linked immunosorbent assay (ELISA) test. Image D: It provides a visual representation of the developing monoclonal antibody.

Figure 4.A) SP2/0 myeloma cell in logarithmic phase,B) Spleen cell,C) high-concentration monoclonal clone,D) Growing monoclonal

3.5. ELISA Results for Screening (Hybridized Cells)

In this analysis, the culture medium from plates containing hybridized cells after 20 days of culture was utilized as an antibody sample. Meanwhile, strips coated with S and N protein antigens, at a concentration of 2 μg/ml in phosphate saline buffer, were employed to identify the antibody produced in cell culture. The indirect enzyme-linked immunosorbent assay (ELISA) method was employed to detect antibodies produced by the indirect ELISA method, with horseradish peroxide (HRP)-anti-mouse conjugated antibody diluted with 1% bovine serum albumin (BSA) blocking buffer. To verify the antibody produced by the hybridoma, the wells exhibiting optimal cell growth were selected and evaluated. To ensure the validity of the optical absorption measurements and to rule out the possibility of errors, RPMI-1640 culture medium devoid of cells and saline phosphate buffer (as a negative control) and polyclonal serum (as a positive control) were utilized for comparison with the amount of optical absorption of the supernate. For each antigen, the colonies exhibiting the highest degree of light absorption were identified. In general, following the measurement of the colonies, eight of the 52 colonies with the highest light absorption were selected for the next step, which was the limiting step. Following the limiting stage, which occurred 25 days later, 28 well samples containing hybridized cells were selected for examination. Of these, 12 samples were associated with colonies that reacted to the S antigen, while 16 samples were associated with colonies that reacted to the N antigen. The wells marked with pink color had high titers, and the wells marked with red color had the highest amount of absorption (Table 3). From this final collection, the optical absorbance of 14 clones that had the higher titers were compared in the ELISA test on the 20th and 25th days after hybridization (Figure5).

Ag : N__________ Ag :S__________
Well OD Well OD Well OD Well OD
3G1 1.201 3B5 0.468 2H1 0.901 H11 0.695
3E9 0.998 2D3 0.066 4D5 0.069 3B3 0.102
3G2 0.726 2C1 0.065 4C4 0.255 3C5 0.070
1D2 0.314 2G11 0.068 4D6 0.070 B11 0.687
1D7 0.080 F10 0.905 G12 0.954 Con+ 1.508
2C6 0.401 2F6 0.987 2G2 0.908 Con- 0.084
2C9 0.325 2D2 0.074 3D2 0.071 Medium 0.074
A11 0.754 2D9 0.103 3E7 1.187 Non-coating 0.137
Table 3.Absorption of the supernatants and controls.
mAbs Isotype OD in the ELISA WB
3G1 IgM 1.201 in the 55 kDa region(Np region)
3G2 IgG2a 0.726 in the 55 kDa region(Np region)
2F6 IgG2a 0.987 in the 55 kDa region(Np region)
F10 IgG2a 0.905 in the 55 kDa region(Np region)
3E7 IgG1b 1.187 in the 100 kDa region(S region)
H11 IgG1b 0.695 in the 100 kDa region(S region)
A11 IgG2a 0.754 in the 55 kDa region(Np region)
B11 IgG1b 0.687 in the 100 kDa region(S region)
Table 4.Summarized information of produced mAbs.

Figure 5. Comparison between colones

3.6. Western Blot Results

Following the execution of the SDS-PAGE test for the inactivated SARS-CoV-2 virus, protein bands indicative of antibodies were obtained. Subsequently, in the presence of a secondary antibody conjugated against mouse with a dilution of 1.1000 for the colony soup, the presence of a monoclonal antibody was indicated by the presence of a single band. In this test, polyclonal serum from infected patient samples with a dilution of 1.1000 anti-human antibodies was utilized, resulting in the appearance of multiple bands. As illustrated in Figure 6, the polyclonal antibody exhibited several bands, with those derived from the 3G1, 3G2, 2F6, F10, and A11 clones positioned within the 55-kDa region of the Np protein.In contrast, the bands derived from the 3E7, H11, and B11 clones were observed within the 100-kDa region of the Spike protein.

Figure 6. Western blot results in comparison with gel electrophoresis

3.7. Antibody Isotyping Results

The Isostrip kit was utilized to determine the class, subclass, and light chain type of immunoglobulins from twelve clones: 3G1, 3G2, 3E7, H11, A11, F10, B11, and 2F6. The results, depicted in Figure 7 with blue lines, revealed distinct patterns of antibody classification. As illustrated, 3G2, F10, A11, and 2F6 clones produced one type of antibody (IgG2a), while 3G1 clone produced another type of antibody, IgM. Furthermore, 3E7, H11, and B11 clones produced IgG1b. It is noteworthy that all eight clones exhibited the presence of the κ light chain. A comprehensive summary of these observations is provided in Table 4.

Figure 7. Isotyping results

4. Discussion

The SARS‐CoV‐2 virus that causes respiratory problems and other symptoms has spread globally, posing challenges in diagnosis and treatment. The SARS‐CoV‐2 mainly spreads through the respiratory, Currently, there are no specific treatments available ( 18 ). The most common diagnostic method is molecular diagnosis like Real-time PCR which is sensitive but requires extensive preparation and specialized instruments, increasing the workload and the risk of infection for healthcare workers ( 18 , 19 ). Therefore, If we can develop other tests like Elisa,we can prevent these problems, and also obtaining serum samples is easier than nasal samples that are needed for molecular tests. As a major diagnostic marker for infection and immune protection, recent research has demonstrated the critical role of the SARS-CoV-2 N protein in viral replication, particle assembly, and release ( 20 , 21 ). Highly sensitive antibodies for the serological diagnosis of SARS infection have been demonstrated to target the N protein ( 21 - 23 ). Research findings reveal that, in contrast to other viral structures, the N protein present in the serum of SARS-CoV-2-infected individuals stimulates the immune system for a longer time ( 23 - 25 ). In study of Feng, Xiang ( 25 ), 14 strains of hybridoma cells against the N protein were produced, and these hybridoma cells produced high concentrations of monoclonal antibodies. The capability of these antibodies was ascertained through a series of immunological methodologies, encompassing ELISA, immunofluorescence assays, and test strip methods. In this study, five hybridoma cells were produced against Np, and the capability of these antibodies to identify its antigens was examined using ELISA and Western blot methods. Serological diagnosis predominantly detects antibodies in serum samples; however, the objective of this study is to introduce our antibodies to develop an ELISA test that can recognize Np antigens in serum samples of patients. This approach is informed by studies demonstrating that a substantial proportion of patients diagnosed with SARS-CoV-2 infection tested positive for the SARS-CoV-2 N antigen prior to the emergence of N antibodies. In addition to the N protein, the S protein of SARS-CoV-2 has garnered considerable attention in the context of diagnosing cases of COV-19 ( 26 ). Research has demonstrated that the S protein plays a pivotal role in the viral entry process into host cells, thus making it an essential component of diagnostic tests ( 27 , 28 ). Consequently, diagnostic assays targeting the S protein, including immunoassays, have been developed and have demonstrated promising results in detecting SARS-CoV-2 infection ( 29 , 30 ). In the study by Noorabad Ghahroodi, Khalili, and Rasaee ( 14 ), it was observed that the recombinant S protein exhibited a positive reaction with antibodies present in serum samples from the vaccinated population.In the present study, three hybrid cells were developed against the recombinant S protein described by Noorabad Ghahroodi, Khalili, and Rasaee ( 14 ). The validation process involved the assessment of the produced antibodies' reactivity through ELISA and Western blot analysis. In the present study, the results of eight clone antibodies (3G1, 3G2, 3E7, H11, A11, F10, B11, 2F6) were measured by ELISA test, and it was determined that these monoclonal antibodies were against S and Np antigens of SARS-CoV-2. Furthermore, the isotyping test performed revealed that these antibodies were of the IgG (2a, 2b) or IgM class. The Western blot test results demonstrated that they all possessed antigenic sites against S and Np antigens individually. In conclusion,the development of monoclonal antibodies has the potential to contribute to the diagnosis and treatment of the disease. Furthermore, the detection of Np and S antigens in combination can offer a comprehensive approach for the early diagnosis of SARS-CoV-2.

Acknowledgment

Expressions of gratitude are extended to the Razi Vaccine and Serum Research Institute for their sustained endeavors in the realm of public health promotion.

Authors' Contribution

Conceptualization: R.M.

Data curation: F.G & M.H.

Formal analysis: F.G & M.H.

Methodology: R.M, F.G, T.E, A.Gh & M.H.

Software: M.H.

Validation: R.M.

Investigation: R.M & F.G.

Writing - original draft: M.H.

Writing - review & editing: R.M & F.G.

Ethics

The present study was approved by the Ethics Committee of Razi Vaccine and Serum Research Institute.

Conflict of Interest

No potential conflicts of interest relevant to this article were reported.

Funding sources

Project granted by Razi Vaccine and Serum Research Institute. The project was granted funding by the Razi Vaccine and Serum Research Institute.

Data Availability

The data that support the findings of this study are available on request from the corresponding author.

References

  1. Miłek J, Blicharz-Domańska K. Coronaviruses in avian species–review with focus on epidemiology and diagnosis in wild birds. Journal of veterinary research. 2018; 62(3):249.
  2. Wu JT, Leung K, Leung GM. Nowcasting and forecasting the potential domestic and international spread of the 2019-nCoV outbreak originating in Wuhan, China: a modelling study. The lancet. 2020; 395(10225):689-97.
  3. Zhou P, Yang X-L, Wang X-G, Hu B, Zhang L, Zhang W, et al. A pneumonia outbreak associated with a new coronavirus of probable bat origin. nature. 2020; 579(7798):270-3.
  4. Agrahari R, Mohanty S, Vishwakarma K, Nayak SK, Samantaray D, Mohapatra S. “Update vision on COVID-19: Structure, immune pathogenesis, treatment and safety assessment”. Sensors International. 2021; 2:100073.
  5. Mittal A, Manjunath K, Ranjan RK, Kaushik S, Kumar S, Verma V. COVID-19 pandemic: Insights into structure, function, and hACE2 receptor recognition by SARS-CoV-2. PLoS pathogens. 2020; 16(8):e1008762.
  6. Taylor PC, Adams AC, Hufford MM, de la Torre I, Winthrop K, Gottlieb RL. Neutralizing monoclonal antibodies for treatment of COVID-19. Nature Reviews Immunology. 2021; 21(6):382-93.
  7. Yamaoka Y, Miyakawa K, Jeremiah SS, Funabashi R, Okudela K, Kikuchi S, et al. Highly specific monoclonal antibodies and epitope identification against SARS-CoV-2 nucleocapsid protein for antigen detection tests. Cell reports Medicine. 2021; 2(6):100311.
  8. Li J, Lillehoj PB. Microfluidic magneto immunosensor for rapid, high sensitivity measurements of SARS-CoV-2 nucleocapsid protein in serum. ACS sensors. 2021; 6(3):1270-8.
  9. Li T, Wang L, Wang H, Li X, Zhang S, Xu Y, Wei W. Serum SARS-COV-2 nucleocapsid protein: a sensitivity and specificity early diagnostic marker for SARS-COV-2 infection. Frontiers in cellular and infection microbiology. 2020; 10:470.
  10. Ogata AF, Maley AM, Wu C, Gilboa T, Norman M, Lazarovits R, et al. Ultra-sensitive serial profiling of SARS-CoV-2 antigens and antibodies in plasma to understand disease progression in COVID-19 patients with severe disease. Clinical chemistry. 2020; 66(12):1562-72.
  11. Gouveia D, Miotello G, Gallais F, Gaillard J-C, Debroas S, Bellanger L, et al. Proteotyping SARS-CoV-2 virus from nasopharyngeal swabs: a proof-of-concept focused on a 3 min mass spectrometry window. Journal of Proteome Research. 2020; 19(11):4407-16.
  12. Supekar NT, Shajahan A, Gleinich AS, Rouhani DS, Heiss C, Chapla DG, et al. Variable posttranslational modifications of severe acute respiratory syndrome coronavirus 2 nucleocapsid protein. Glycobiology. 2021; 31(9):1080-92.
  13. Szekely J, Mongkolprasert J, Jeayodae N, Senorit C, Chaimuti P, Swangphon P, et al. Development, analytical, and clinical evaluation of rapid immunochromatographic antigen test for SARS-CoV-2 variants detection. Diagnostics. 2021; 12(2):381.
  14. Noorabad Ghahroodi F, Khalili S, Rasaee MJ. Recombinant subunits of SARS-CoV-2 spike protein as vaccine candidates to elicit neutralizing antibodies. Journal of Clinical Laboratory Analysis. 2022; 36(5):e24328.
  15. Madani R, Hezarosi M, Golchinfar F. Unveiling indirect ELISA test against nucleoprotein of H9N2 comparing with hemagglutination inhibition test. Archives of Razi Institute. 2024.
  16. Golchinfar F, Madani R, Hezarosi M. Study the Profile of Foot-and-mouth Disease Virus Protein by Electrophoresis and Identification of the Immunodominant Proteins. Archives of Razi Institute. 2023; 78(5):1563-71.
  17. Lowry OH, Rosebrough NJ, Farr AL, Randall RJ. Protein measurement with the Folin phenol reagent. J Biol Chem. 1951; 193(1):265-75.
  18. Sharma A, Tiwari S, Deb MK, Marty JL. Severe acute respiratory syndrome coronavirus-2 (SARS-CoV-2): a global pandemic and treatment strategies. Int J Antimicrob Agents. 2020; 56(2):106054.
  19. Pascarella G, Strumia A, Piliego C, Bruno F, Del Buono R, Costa F, et al. COVID-19 diagnosis and management: a comprehensive review. J Intern Med. 2020; 288(2):192-206.
  20. Wu W, Cheng Y, Zhou H, Sun C, Zhang S. The SARS-CoV-2 nucleocapsid protein: its role in the viral life cycle, structure and functions, and use as a potential target in the development of vaccines and diagnostics. Virol J. 2023; 20(1):6.
  21. Bai Z, Cao Y, Liu W, Li J. The SARS-CoV-2 Nucleocapsid Protein and Its Role in Viral Structure, Biological Functions, and a Potential Target for Drug or Vaccine Mitigation. Viruses. 2021; 13(6)
  22. Ali MA, Hu C, Zhang F, Jahan S, Yuan B, Saleh MS, et al. N protein-based ultrasensitive SARS-CoV-2 antibody detection in seconds via 3D nanoprinted, microarchitected array electrodes. J Med Virol. 2022; 94(5):2067-78.
  23. Yu J, Qin Z, Liu X, He X, Yao J, Zhou X, et al. High-specificity targets in SARS-CoV-2 N protein for serological detection and distinction from SARS-CoV. Comput Biol Med. 2022; 143:105272.
  24. Zhao P, Cao J, Zhao L-J, Qin Z-L, Ke J-S, Pan W, et al. Immune responses against SARS-coronavirus nucleocapsid protein induced by DNA vaccine. Virology. 2005; 331(1):128-35.
  25. Feng W, Xiang Y, Wu L, Chen Z, Li Q, Chen J, et al. Nucleocapsid protein of SARS-CoV-2 is a potential target for developing new generation of vaccine. Journal of Clinical Laboratory Analysis. 2022; 36(6):e24479.
  26. Kumavath R, Barh D, Andrade BS, Imchen M, Aburjaile FF, Ch A, et al. The Spike of SARS-CoV-2: Uniqueness and Applications. Front Immunol. 2021; 12:663912.
  27. Samrat SK, Tharappel AM, Li Z, Li H. Prospect of SARS-CoV-2 spike protein: Potential role in vaccine and therapeutic development. Virus Research. 2020; 288:198141.
  28. Mushebenge AG, Ugbaja SC, Mbatha NA, Khan RB, Kumalo HM. A Comprehensive Analysis of Structural and Functional Changes Induced by SARS-CoV-2 Spike Protein Mutations. COVID [Internet]. 2023; 3(9):1454-72.
  29. Eberhardt KA, Dewald F, Heger E, Gieselmann L, Vanshylla K, Wirtz M, et al. Evaluation of a New Spike (S)-Protein-Based Commercial Immunoassay for the Detection of Anti-SARS-CoV-2 IgG. Microorganisms. 2021; 9(4)
  30. Ascoli CA. Could mutations of SARS-CoV-2 suppress diagnostic detection? Nature Biotechnology. 2021; 39(3):274-5.