Acute cardiovascular effects of Naja oxiana venom in anesthetized rats

Document Type : Original Articles

Authors

1 Department of Pharmacology, School of Medicine, Bushehr University of Medical Sciences, Bushehr, Iran

2 College of Veterinary Medicine, Gyeongsang National University, Jinju, KR

3 Department of Physiology, School of Medicine, Shiraz University of Medical Sciences, Iran

4 Department of Human Vaccine and Serum,Razi Vaccine and Serum Research Institute,Agricultural Research,Education and Organization Organization,Karaj,Iran

5 Department of Pathology,Bushehr University of Medical Sciences,Bushehr,Iran

6 Department of Pharmacology,School of Medicine,Bushehr University of Medical Sciences,Bushehr,Iran

10.32592/ARI.2025.80.2.497

Abstract

Cobra bite is common in northwest province of Iran located in the Middle East Area. Naja naja oxiana envenomation is presented with neurologic manifestations like ptosis, drooling and so on. The aim of this preliminary study was to examine the hemodynamic abnormalities induced with intravascular injection of this venom in rats. Additionally, the neutralizing effects of different premedications were investigated.
Twenty male wistar rats weighting between 200-250 grams were randomly divided in to four groups (n=5). Group one was selected as control while the others were envenomed intravenously with crude venom (300µg/kg, 600 µg/kg and 1500 µg/kg) dissolved in normal saline (200µl) in two minutes. Atropine, dexamethasone, heparin and aminoguanidine were injected intraperitoneally ten minutes before envenomations to counteract its deleterious effects. All animals were sacrificed with cervical dislocation and their abdominal area were visualized for bleeding. Different organs (lung, heart and kidney) were removed and prepared for Hematoxylin and Eosin staining to reveal the pathological events.
N.oxiana venom (1500 µg/kg) induced significant ionotropic changes following intravenous infusion and all animals expired eight minutes later due to hypotension. There was no arrhythmia but heart rate was decreased statistically (p<0.001) in this group. Pretreatment with aminoguanidine (29±2.1%) and heparin (21±1.2%) prevented hypotension at 8 minutes but all animals eventually died at 20 minutes. Disruption of the alveolar walls of the lung with presence of the red blood cells and inflammatory components were observed while there were no pathological abnormalities with light microscope in other organs. It should be noted that according to our ionotropic and chronotropic results the last group was selected to continue our examinations.
In this preliminary study, it was observed that in large doses it could produce significant negative ionotropic effects in rats. According to our results, it seems that systemic vasodilation has a major role since pretreatment of heparin and aminoguanidine diminished this effect profoundly while there were no pathological abnormalities in other organs except lungs. It seems that increasing the doses of the heparin and aminoguanidine could prolong the survival of the envenomed rats in short time since all animals were died 20 minutes later.

Keywords

Main Subjects


1. Introduction

Snake envenomation constitutes a significant public health concern in tropical regions of Iran. A total of 69 snake species are present in this country, including 9 semi-venomous and 25 venomous species ( 1 , 2 ). The Caspian cobra (Naja oxiana), which is a member of the Elapidae family, is endemic to the northwest regions of Iran, with a notable presence in Khorasan Province ( 3 ). The toxicity of the crude venom via intracerebroventricular injection (0.005 mg/kg) has been demonstrated it the highest lethality compared with other cobras (low LD50). For this reason, it is regarded as one of the most dangerous snakes for humans in Iran ( 4 ). The venom of the aforementioned snake contains neurotoxic components that generally cause ptosis, drooling, and other such effects in humans beings who have been envenomed. However, there are additional findings that represent the hemodynamic effects of this snake's venom ( 5 , 6 ). Statistical electrocardiogram recordings, such as tachycardia and bradycardia, have been observed in cases of envenomation. However, the significance of these recordings is typically less pronounced than the neurotoxic properties of the venom ( 7 ). Furthermore, in prior experiments, there was no increase in troponin-I as a sensitive enzyme one day following envenomation by neurotoxic venoms, such as those found in cobra snakes, in envenomed humans. This suggests that the cardiovascular effects of these venoms are uncertain ( 8 ). According to the limited research on animals in this area, particularly in Iran, the study aimed was to assess the cardiovascular alterations induced by the intravenous administration of crude venom, in conjunction with the effective prophylactic remedies designed to counteract the anticipated adverse effects. In this regard, a pharmaceutical compound will be evaluated, comprising dexamethasone (an anti-inflammatory agent), atropine (an anticholinergic agent), heparin (an antihistamine agent), and finally, aminoguanidine, which functions as an iNOS inhibitor. Furthermore, pathological evidence is indicative of macro- and microvascular changes in the lungs and other organs, ultimately resulting in death.

2. Materials and Methods

Crude venom was obtained from the serpentarium of the Razi Institute of Iran. Subsequent to the lyophilization process, the substance was transferred and stored at a temperature of -20°C until its utilization. Solutions were prepared with 0.9% normal saline prior to each experiment. The following drugs and reagents were utilized: dexamethasone (purchased from Santa Cruz Biotechnology Company), heparin (purchased from Caspian Pharmaceutical Company, Iran), atropine (purchased from Santa Cruz Biotechnology Company), and aminoguanidine (purchased from Sigma Aldrich Company). All experiments were performed in accordance with the relevant guidelines.

2.1 Experimental Protocol

Male Wistar rats, with the body mass ranges between 200 and 250 grams, were housed in plastic cages (three rats per cage) and maintained under a 12-hour light-dark cycle for a period of 10 days. The ketamine (100 mg/kg)/xylazine (10 mg/kg) cocktail was utilised for the induction of muscle relaxation and anaesthesia ( 9 ). Rats were placed in a supine position on the table and their body temperature was maintained at 37±1°C using a super head lamp with a rectal tube (Physitemp BAT-12, Texas Scientific Instruments, San Antonio, Texas, USA). The cannula was inserted into the left femoral vein for the administration of venom and drugs, and the right femoral artery was utilised for the monitoring of blood pressure parameters with a pressure transducer (MLT844, AD instruments, Australia). The haemodynamic changes were documented with a PowerLab acquisition system (AD instruments). The animals were finally euthanised by cervical dislocation. Immediately thereafter, the lungs, heart and kidneys were extracted and preserved in 10% formalin solution for subsequent pathological analysis. The venom (300 µg/kg, 600 µg/kg and 1,500 µg/kg) was dissolved in normal saline (200 µl) and injected intravenously over a period of two minutes via the left femoral vein. This was followed by flushing with normal saline. The following drugs were instilled intraperitoneally ten minutes prior to venom injection (1500 µg/kg): atropine (1 mg/kg); dexamethasone (1 mg/kg); heparin (300 IU/kg); and aminoguanidine (1.5 mg/kg). The counteracting effects of these drugs on the cardiovascular changes were documented ( 10 - 12 ).

2.2 Data Analysis

The data are represented as the mean ± standard deviation (SD) and analysed using either the t-test or one-way analysis of variance (ANOVA). Significant differences between experiments were defined as P<0.001.

3. Results

3.1 Hemodynamic Changes Following Venom Injection

The administration of crude venom injection (1,500 µg/kg) resulted in a substantial decline in blood pressure, ultimately leading to death after an eight-minute period following an initial transient increase, as compared with the normal saline control group (Figure 1). Furthermore, a substantial discrepancy was observed in hypotensive properties when compared with lower doses (Figure 2). The initial phase of the experiment induced transient tachycardia, which was subsequently followed by a transition to bradycardia, ultimately resulting in the subject's demise (Figure 3). Despite the absence of any discernible arrhythmogenic properties (Figure 1), further investigation is required to ascertain the full implications of these findings. Following a thorough examination, it was determined that there was no occurrence of internal bleeding in the euthanized animals. This finding serves to effectively exclude the possibility of hemotoxic potential associated with the venom.

Figure 1. Individuals traces of blood pressure changes to the intravenous administration of normal saline (A) and N. naja oxiana venom (B) in rats. Each trace represents the mean of five experiments.

Figure 2. Mean arterial pressure values after intravenous administration of various doses of N. naja oxiana venom dissolved in normal saline (300, 600 and 1,500 μg/kg). The points represent mean ± SD (n=5). *P<0.01, **P<0.001 compared with the time zero. #P<0.01, ##P<0.001 compared with the control group.

Figure 3. Heart rate values following the administration of N. naja oxiana venom dissolved in normal saline (300, 600, or 1,500 μg/kg). The points represent mean ±SD (n=5). **P<0.001 compared with the time zero, ##P<0.001 compared with the control group.

3.2 Effects of Medication and Pathological Deteriorations in Different Organs

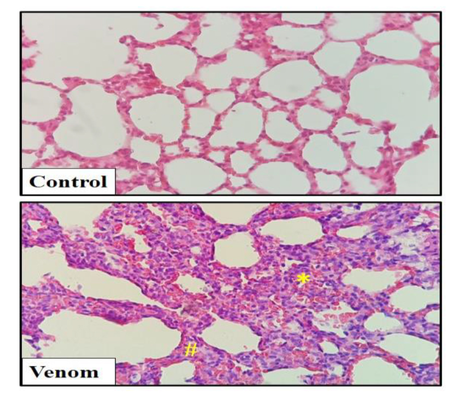
The potential for diverse pharmacological pathways was investigated through a pre-treatment regimen involving atropine, dexamethasone, heparin, and aminoguanidine, administered intraperitoneally to rats ten minutes prior to venom injection. Pretreatments with atropine, an anticholinergic agent, or dexamethasone, a potent corticosteroid, exerted no influence on venom-induced marked hypotension and bradycardia at eight minutes, ultimately resulting in death. Heparin (21 ± 1.2%) and aminoguanidine (29 ± 2.1%) significantly prevented hypotension. However, all animals eventually died 20 minutes later, possibly due to hemodynamic deterioration (Figure 4). Bradypnea induced with neurotoxic properties was not observed during the course of the experiment. As illustrated in Figure 5, the structural architecture of the lungs demonstrated significant disruption, characterized by alveolar wall rupture and the presence of red blood cells and mononuclear cell infiltration, resulting in emphysematous positions. No substantial alterations in cardiac function or other visceral organs were observed following the experimental procedure (data not shown).

Figure 4. Impacts of premedication using various therapeutic drugs upon hypotensive properties induced by N. naja oxiana injection in rats (1,500 µg/kg). Aminoguanidine (1.5 mg/kg) and heparin (300 IU/kg) had significant ameliorating effects on this property. The points represent mean ± SD (n=5). **P<0.001 compared with the venom alone.

Figure 5. Light microscopic views show the pathological changes in lung stained with hematoxylin and eosin (H&E). Massive hemorrhage and leukocyte infiltration (*) with destruction of the lung structure (#) are seen in envenomed rats compared to control.

4. Discussion

Snake envenomation represents a significant public health concern in tropical and subtropical regions, where it is a leading cause of mortality. Notwithstanding the advances witnessed in the production of specific antivenoms and the development of therapeutic approaches, snake bites continue to demonstrate high mortality rates and the occurrence of severe clinical complications ( 13 ). In human subjects, respiratory failure and neurological problems are the primary causes of death in the early hours following envenomation with cobra bites, while there is a paucity of data on animal studies ( 9 ,  14 ). Furthermore, the mechanisms responsible for the observed hemodynamic changes in response to snake envenomation have not been identified with certainty. In this preliminary study, we therefore investigated for the first time the causative problems that ensued following the injection of Naja oxiana venom into the vasculature of anaesthetized rats, and explored the mechanisms involved. In accordance with the preceding articles, which expounded on the diminished cardiovascular potency of the Elapidae family ( 12 , 15 ), and in consideration of our preliminary studies, three distinct groups were designated. The cardiovascular efficacy of Naja oxiana venom was found to be inferior to that of Naja haje venom, another member of the cobra family ( 16 ). The present study demonstrated that the intravenous injection of 1,500 µg/kg resulted in a transient increase in mean blood pressure, followed by a sharp drop and death within 8 minutes in all animals. This finding is comparable to the potency of Lachesis muta snake venom, as observed in another study ( 12 ). It is noteworthy that this profile of blood pressure following envenomation exhibits similarities to the cardiovascular effects of other snake venoms ( 12 , 17 ). It has been hypothesized that the adrenergic storm, characterized by the substantial release of catecholamines induced by snake venom, may have contributed to transient hypertension ( 18 ). Furthermore, a number of potential mechanisms have been postulated to underpin the venom-induced hypotension, including over activation of the cholinergic system, adrenergic system block, and the release of nitric oxide, histamine, prostaglandins and other vasodilators by the components of the venom acting either directly or indirectly on the vascular system (12, 19, 20). To date, the cardiovascular mechanism of Naja venom has been the subject of only a limited number of studies. As demonstrated in the aforementioned published article, the cardiotoxins of Naja oxiana induce a decline in contractility of the heart muscle and tonic contraction of the aorta rings, in addition to disturbances in calcium currents following injection ( 21 ). Systemic vasodilation has been identified as a primary contributing factor to cardiovascular collapse in cases of snake envenoming, with nitric oxide and histamine being recognised as significant mediators in this process ( 9 ). The findings of the present study suggest that aminoguanidine, an inhibitor of inducible nitric oxide synthase (iNOS), may contribute to a delay in death due to the development of hypotension. This suggests that nitric oxide plays a significant role in this phenomenon. Furthermore, it has been documented that the presence of histamine-like substances in venom, or the stimulation of histamine release by snake venom, has been identified as a potential causative agent of hypotension ( 19 , 22 ). It should be noted that the neutralising effects of higher doses of aminoguanidine and heparin will be investigated separately or together for these events in future studies. Conversely, the administration of atropine, an anticholinergic agent, and dexamethasone, a phospholipase A2 inhibitor, did not impede venom-induced hypotension, thereby refuting the hypothesis that these factors play a pivotal role in this setting. It is imperative that hypotension be evaluated as a primary cause of animal mortality, in accordance with the inhibitory effects of premedications such as heparin and aminoguanidine. The present study revealed no indications of arrhythmia or histological alterations in the heart and other internal organs following exposure to venom. In contrast, Angaji et al. demonstrated that the intramuscular injection of Naja oxiana venom (140 µg/kg) induced bradycardia and T-wave in the rabbit's ECG ( 23 ). The observed discrepancies between the ECG findings from the two studies may be attributable to variations in the animal model or the type of snake species utilised. Finally, histological analyses revealed that the lung architectures were destroyed by haemorrhage, which may be attributed to negative inotropic effects leading to pulmonary oedema. Furthermore, no bleeding was observed in the abdominal region following the injection of the venom, thereby confirming the absence of hemotoxic properties associated with this particular venom ( 24 , 25 ). The findings of this study suggest that anaphylactic shock is a probable primary cause of mortality resulting from vasodilation in the context of envenoming. This observation underscores the necessity for further experimentation to ascertain effective therapeutic interventions for patients afflicted with such conditions.

Acknowledgment

All experiments were conducted in accordance with the approved protocols of the research department. We would like to express our gratitude to the members of our animal house for their cooperation in this study.

Authors' Contribution

The present study was conceptualized and executed by SZ and EK. The venom extraction and toxicological experiments were performed by HFK, ZA, NMD, ZD, while RS was responsible for the hemodynamic interpretation. It is noteworthy that all authors consented to the final version.

Ethics

The present study was conducted by the local research committee, with the code number IR.BPUMS.REC.1400.099.

Conflict of Interest

None

Funding

Approval for this study was granted by the Science and Research Committee of the Bushehr University of Medical Sciences.

Data Availability

The corresponding author is available to provide the data upon request.

References

  1. Dehghani R, Fathi B, Shahi MP, Jazayeri M. Ten years of snakebites in Iran. Toxicon. 2014; 90:291-8.
  2. Nejadrahim R, Sahranavard M, Aminizadeh A, Delirrad M. Snake envenomation in North-West Iran: A three-year clinical study. International Journal of Medical Toxicology and Forensic Medicine. 2019; 9(1):31-8.
  3. Yousefkhani SSH, Yousefi M, Khani A, Pouyani ER. Snake fauna of Shirahmad wildlife refuge and Parvand protected area, Khorasan Razavi province, Iran. Hepetology Notes. 2014; 7:75-82.
  4. Lysz TW, Rosenberg P. Convulsant activity of Naja naja venom and its phospholipase A component. Toxicon. 1974; 12(3):253-65.
  5. Dementieva DV, Bocharov EV, Arseniev AS. Two forms of cytotoxin II (cardiotoxin) from Naja naja oxiana in aqueous solution: spatial structures with tightly bound water molecules. European journal of biochemistry. 1999; 263(1):152-62.
  6. Samianifard M, Nazari A, Tahoori F, Mohammadpour Dounighi N. Proteome analysis of toxic fractions of iranian cobra (naja naja oxiana) snake venom using two-dimensional electrophoresis and mass spectrometry. Archives of Razi Institute. 2021; 76(1):127.
  7. Gupta P, Mahajan N, Gupta R, Gupta P, Chowdhary I, Singh P, et al. Cardiotoxicity Profile of Snake Bite. Jk science. 2013; 15(4)
  8. Warrell D, Davidson NM, Greenwood B, Ormerod L, Pope HM, Watkins BJ, et al. Poisoning by bites of the saw-scaled or carpet viper (Echis carinatus) in Nigeria. QJM: An International Journal of Medicine. 1977; 46(1):33-62.
  9. Kakumanu R, Kemp-Harper BK, Silva A, Kuruppu S, Isbister GK, Hodgson WC. An in vivo examination of the differences between rapid cardiovascular collapse and prolonged hypotension induced by snake venom. Scientific Reports. 2019; 9(1):20231.
  10. Wang X, Chang T, Jiang B, Desai K, Wu L. Attenuation of hypertension development by aminoguanidine in spontaneously hypertensive rats: role of methylglyoxal. American journal of hypertension. 2007; 20(6):629-36.
  11. Dias L, Rodrigues MA, Inoue BR, Rodrigues RL, Renno AL, de Souza VB, et al. Pharmacological analysis of hemodynamic responses to Lachesis muta (South American bushmaster) snake venom in anesthetized rats. Toxicon. 2016; 123:25-44.
  12. Dias L, Rodrigues MA, Rennó AL, Stroka A, Inoue BR, Panunto PC, et al. Hemodynamic responses to Lachesis muta (South American bushmaster) snake venom in anesthetized rats. Toxicon. 2016; 123:1-14.
  13. Gutiérrez JM, Calvete JJ, Habib AG, Harrison RA, Williams DJ, Warrell DA. Snakebite envenoming. Nature reviews Disease primers. 2017; 3(1):1-21.
  14. Gnanathasan A, Rodrigo C. Pulmonary effects and complications of snakebites. Chest. 2014; 146(5):1403-12.
  15. Sun J, Walker M. Actions of cardiotoxins from the southern Chinese cobra (Naja naja atra) on rat cardiac tissue. Toxicon. 1986; 24(3):233-45.
  16. Omran MAA, Abdel-Nabi IM. Changes in the arterial blood pressure, heart rate and normal ECG parameters of rat after envenomation with Egyptian cobra (Naja haje) venom. Human & experimental toxicology. 1997; 16(6):327-33.
  17. Zaeri S, Fatemikia H, Kamyab M, Esmaili A, Kim E, Mohammadpour Dounighi N, et al. Hemodynamic changes provoked through intravascular injection of the Echis carinatus venom in rats. Archives of Razi Institute. 2021; 76(3):599.
  18. Singh A, Balasubramanian V, Gupta N. Autonomic dysfunction manifesting as severe hypertension following cobra envenomation: an unusual occurrence. Journal of Emergency Medicine Case Reports. 2018; 9(3):51-4.
  19. Péterfi O, Boda F, Szabó Z, Ferencz E, Bába L. Hypotensive snake venom components—a mini-review. Molecules. 2019; 24(15):2778.
  20. Hashemi SR, Arab HA, Seifi B, Muhammadnejad S. The effects of L-citrulline pretreatment on the isometric tension of the isolated perfused rat aorta. 2018.
  21. Averin AS, Nenov MN, Starkov VG, Tsetlin VI, Utkin YN. Effects of cardiotoxins from Naja oxiana cobra venom on rat heart muscle and aorta: A comparative study of toxin-induced contraction mechanisms. Toxins. 2022; 14(2):88.
  22. Chaisakul J, Isbister GK, Konstantakopoulos N, Tare M, Parkington HC, Hodgson WC. In vivo and in vitro cardiovascular effects of Papuan taipan (Oxyuranus scutellatus) venom: Exploring “sudden collapse”. Toxicology letters. 2012; 213(2):243-8.
  23. Angaji S, Houshmandi A, Zare Mirakabadi A. Acute effects of the Iranian snake (Naja naja oxiana) venom on heart. Biomacromolecular Journal. 2016; 2(2):97-101.
  24. Al-Mamun M, Hakim M, Zaman M, Hoque K, Ferdousi Z, Reza M. Histopathological alterations induced by Naja naja crude venom on renal, pulmonary and intestinal tissues of mice model. British Biotechnology Journal. 2015; 6(3):119-25.
  25. Chukwu OO, Emelike CU, Konyefom NG, Ibekailo SN, Ekakitie OO, Ghasi S, et al. Histological studies of the heart and biochemical changes due to the perinatal consumption of Hibiscus sabdariffa (flavonoid-rich extract) to feed-restricted rats on offspring. 2023.