Screening of biofilm-producing genes from Acinetobacter isolates obtained Covid-19 patients in ICU hospital section

Document Type : Original Articles

Authors

1 Department of Medical Laboratory, Kurdistan Technical Institute, Sulaymaniyah, Kurdistan Region, Iraq

2 PhD in Clinical Medicine, Department of Medical Laboratory, College of Applied Medical Sciences, Prince Stattam bin Abdulaziz University, Al-Kharj 11942, Saudi Arabia

3 Department of community Medicine, School of Medicine, Pediatric Gastroenterology and Hepatology Research Center, Zabol University of Medical Science, Zabol, Iran

4 Department of Biology, Faculty of Science, Shahid Bahonar University of Kerman, Kerman, Iran

5 PhD Student in microbiology, Islamic Azad University of Ayatollah Amoli, Amol, Iran

10.32592/ARI.2025.80.1.147

Abstract

The corona pandemic caused a large number of people to be admitted to the intensive care units of hospitals. Due to the special closed system of these parts and the lack of proper air circulation, Spire equipment is a suitable place for the accumulation of commensal bacteria and the creation of biofilm. Biofilm is actually a collection of microbes that stabilize on a surface. Bacteria in biofilm structures have relationships with each other and their behavior is different from when they are alone. The resistance of bacteria to antimicrobial agents in the biofilm state is different from the planktonic state. Many genes are involved in the formation of biofilm, these genes act in a cascade manner and the activity of one gene depends on the activity of another gene
Acinetobacter, recognized as a nosocomial pathogen, undergoes structural changes when exposed to various antibiotics, rendering it relatively resistant and posing challenges in disease treatment. This study aimed to identify two biofilm-related genes and assess the drug resistance profile of clinical strains. Clinical isolates were collected from the ICU of Afzalipour Hospital in Kerman, Iran, and phenotypically identified. Confirmation was achieved for 55 clinical Acinetobacter isolates. Antibiogram testing was conducted for meropenem, amikacin, ampicillin-sulbactam, cefotaxime, levofloxacin, rifampin, and tigecycline antibiotics. Biofilm formation ability was assessed using microtiter plates and crystal violet staining, followed by spectrophotometry at OD 490 nm. PCR was employed to determine the frequency of pslA and pelB genes. Analysis revealed that the highest age group affected was 1 to 15 years (19%), while the lowest was 26 to 35 years (5%). The frequencies of pslA and pelB genes were 34.5% and 65.5%, respectively, and drug resistance ranged from 72% to 100% for the mentioned antibiotics. Given the pelB gene's approximately twofold higher frequency compared to pslA, it suggests that in most studied isolates, Psl may often be disrupted or that intracellular c-di-GMP levels have significantly increased.

Keywords

Main Subjects


1. Introduction

The global corona epidemic that commenced in 2019 resulted in an escalation in the number of patients in the intensive care unit (ICU) departments of hospitals ( 1 , 2 ). The corona virus has been implicated in numerous respiratory system complications ( 1 - 4 ).The corona pandemic has led to a substantial increase in the number of individuals requiring admission to the intensive care units (ICUs) of hospitals. The unique environment of these units, characterised by its closed system and inadequate air circulation, has been identified as a conducive habitat for the proliferation of commensal bacteria and the formation of biofilm ( 5 , 6 ). Biofilm, in essence, constitutes a collection of microbes that adhere to a surface, exhibiting a distinct behaviour compared to their planktonic state. These bacteria within biofilm structures exhibit a relationship with each other, leading to an altered phenotype in terms of their resistance to antimicrobial agents when compared to their planktonic state. The formation of biofilm is a complex process involving numerous genes that act in a cascading manner, where the activity of one gene is dependent on the activity of another ( 7 ).The process of biofilm formation involves several stages, including initial attachment of bacteria to a surface, followed by bacterial colonization ( 8 ). In the subsequent stage, bacteria multiply on the surface, leading to an increase in their population. The subsequent stage is the entrapment of bacteria within an extracellular matrix, which hinders the penetration of antimicrobial agents into the biofilm structure ( 9 , 10 ). Acinetobacter is a gram-negative bacterium devoid of spores, which is among the most significant bacteria in terms of its resistance to antimicrobial agents and antibiotics. These bacteria are prevalent in the intensive care units of hospitals and are a major cause of concern ( 12 - 16 ). Acinetobacter biofilms have been the subject of only a limited number of studies. The objective of this research is to investigate the effective genes in the production of Acinetobacter biofilm ( 18 ).

2. Materials and Methods

2.1. Isolation and Identification

In this research study, a total of 47 Acinetobacter strains were isolated from a variety of clinical samples obtained from Afzalipur Hospital in Kerman. The initial identification of these strains was conducted through the implementation of several biochemical tests, including Gram staining and the assessment of oxidase and catalase activities, as outlined in the literature ( 19 ).

2.2. Antibiogram Test|

The antibiotic resistance pattern of the collected strains was determined by standard methods. The antimicrobial effect was measured using the disk diffusion method. Discs containing antibiotics were placed on Mueller Hinton's medium, on which the bacteria had been previously cultured, and kept at 35 degrees for 24 hours. The halo of non-growth was then measured ( 20 ).

2.3. Biofilm Assay

The microtiter plate method was utilised to assess the capacity of isolated Acinetobacter strains to form biofilm. In this method, the studied bacteria, which had attained half McFarland turbidity, were cultivated in a microplate containing Mueller Hinton Broth medium and incubated for 24 hours at 37 degrees.Subsequent to the incubation period, the contents of the plates were decanted and the biofilms formed by the bacteria were stained with 1% crystal violet. The strength of the strains in terms of biofilm formation was then calculated using the following formula: ( 21 , 22 , 23 ).

OD ≤ ODc = not biofilm producer

ODc < OD ≤ (2 × ODc) = weak biofilm

(2 × ODc) < OD ≤ (4 × ODc) = moderate biofilm

(4 × ODc) ≤ OD = strong biofilm

Equation 1: Classification of composed biofilms based on OD.

2.4. DNA Extraction and Polymerase Chain Reaction (PCR)

The deoxyribonucleic acid (DNA) of the studied strains was extracted using a genome extraction kit. A polymerase chain reaction (PCR) was then performed using special primers for two genes (PelB, PSlA). The conditions of the reaction are given in Table 1. Finally, the PCR product was loaded on a 1% agarose gel and observed with a UV device (UVitec, Cambridge, UK).

Gene Primer Product size (bp) PCR program * Ref
PelB F: 5ʹ- CGCCTGCTCTGGTTCTACAT -3ʹ 400 Initialization: 5 sec- 95 °C, Denaturation: 30 sec- 95 °C, Annealing: 45 sec- 51 °C, Elongation: 45 sec- 72 °C, Final elongation: 5 sec- 95 °C ( 25 )
R: 5ʹ- AGTCGTTGGGATTGGACTTG -3ʹ
PslA F: 5ʹ- CACTGGACGTCTACTCCGACGATAT -3ʹ 163 ( 25 )
R: 5ʹ- GTTTCTTGATCTTGTGCAGGGTGTC -3ʹ
16S rRNA (Specific to P. aeruginosa) F: 5ʹ- CTACGGGAGGCAGCAGTGG -3ʹ 600 ( 25 )
R: 5ʹ- TCGGTAACGTCAAAACAGCAAAGT-3ʹ
Table 1.PCR methods.

3. Results

3. 1. Antibiogram Test

The results of the antibiogram test are presented in Table 2. As illustrated in the table, the majority of the antibiotics mentioned are resistant to at least one antibiotic, with the highest levels of resistance observed against Rifampin and the lowest levels against Ampicillin-Sulbactam.

Antibiotics Sensitive Intermediate Resistance
Meropenem 0 0 100
Amikacin 0.93 0.93 98
Ampicillin-Sulbactam 0.93 28 71
Cefotaxime 0.93 0 99
Levofloxacin 0 0.93 99
Rifampin 0 0 100
Tigecycline 5 23 72
Table 2.Antibiogram test results (%).

3.2. Biofilm Assay

As illustrated in Figure 1, the image of the biofilm created by Acinetobacter strains has been coloured using Crystal Violet. The figure demonstrates that 36 strains of Acinetobacter were strong biofilm formers, 13 strains were medium biofilm formers, and 6 strains exhibited low potential for biofilm formation.

Figure 1. Biofilm formation by Acinetobacter strains.

3.3. PCR and Gel Electrophoresis

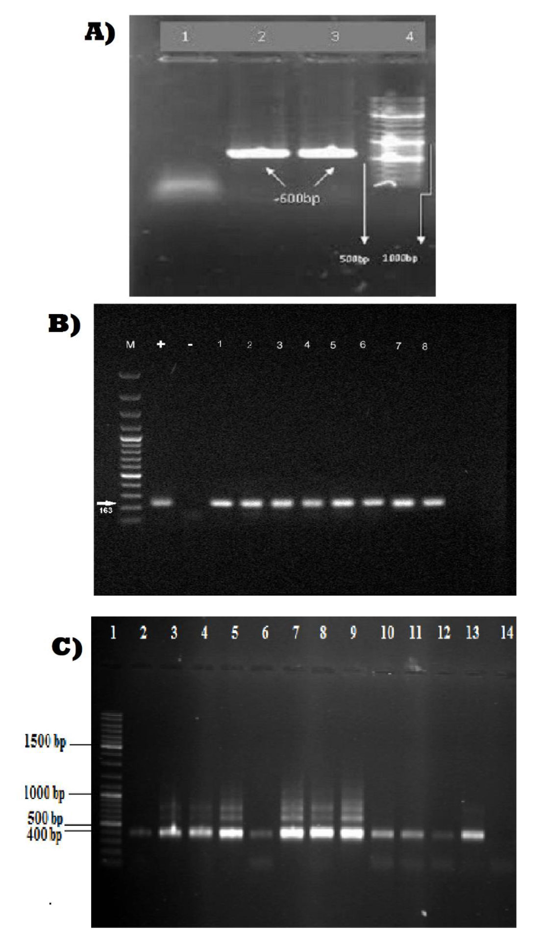
The results of the screening of biofilm-producing genes are presented in Figure 2, which is the result of a polymerase chain reaction (PCR) using gene-specific primers. As demonstrated in this figure, 19 strains were found to have the PslA gene, and 36 strains were found to have the PelB gene. The frequency of these two genes is generally 34% and 65%, respectively.

Figure 2. PCR product by specific primers: A) Determination of PCR reaction specificity, column 1 of sterile distilled water as the negative control, column 2 of positive control, column 3 of Acinetobacter gene, column 4 of the ladder. B) PslA and C) PelB.

4. Discussion

Acinetobacter, a microbe known for its opportunistic nature and numerous virulence factors, has a significant capacity to form biofilms, which have been shown to diminish the effectiveness of antimicrobial drugs, leading to chronic infections (Saxena et al., 2014). In a study of 80 Acinetobacter isolates from patients with lower respiratory tract infections in India, 6 and 7 were found to be particularly prevalent 6 , 7 ). The findings, obtained through a method comparable to the current study, revealed high resistance rates to amoxiclav (97%) and levofloxacin (74%), while resistance to amikacin was notably lower at 33%. A study conducted in Iran on 55 clinical Acinetobacter isolates reported a resistance rate of 98%.The notable disparity in amikacin resistance between the clinical isolates from Iran and India might be explained by differences in local lifestyles and the varied hospital wards from which the samples were obtained. Furthermore, the biofilm analysis of 80 isolates from Lucknow, India, revealed that 20% formed strong biofilms, 21.25% formed moderate biofilms, and 58.75% formed weak biofilms. In analogous studies conducted in Iran, the current study observed the highest frequency of strong biofilm formation, with only 10.90% of the isolates demonstrating weak biofilm formation. In a separate investigation of Acinetobacter isolates from a burn unit in Iran, Heydari and Eftekhar (2015) found that 66.7% of the isolates formed strong biofilms, while 33.3% formed weak biofilms. Their findings also revealed that all biofilm samples tested positive, and 14% of the samples negative for biofilm formation possessed the PslA gene. In a subsequent study by Kamali et al. (2020), which examined 80 Acinetobacter isolates, the biofilm formation ratios were reported as 16.25% strong, 33.75% moderate, 33.75% weak, and 16.25% incapable of forming biofilms. Additionally, 12.5% of the isolates were resistant to amikacin. In the genus Acinetobacter, genes associated with the formation of biofilms include ppyR, pslA, and pelA, along with genes related to alginate production such as algD, algU, and algL. Mucoid strains that overproduce alginate have been observed to facilitate lung colonization in cystic fibrosis (CF) patients, often leading to fatal outcomes. Prior to the manifestation of mucoid strains, non-mucoid strains that produce Psl and Pel biofilms characteristically colonize the patients' lungs. Strains that produce matrix IV give rise to stable rugose small-colony variants (RSCV), which are prolific producers of Pel and Psl. The expression of Pel and Psl genes is known to be enhanced by mutations that increase intracellular levels of c-di-GMP. This RSCV phenotype has been observed to be more resistant to antibiotics and the immune system (34). Notably, the RSCV phenotype was observed in 33 out of 86 CF patients with P. aeruginosa over a two-year period. Cho et al. (2018) investigated 82 carbapenem-resistant Acinetobacter isolates from various hospital wards in South Korea and found that approximately 93% of the biofilm-forming isolates possessed the PslA gene (Cho et al., 2018). In contrast, the present study found a PslA gene presence of about 34.5%, although the initial screening of isolates was not based on carbapenem resistance (Smith et al., 2022). Typically, when both Psl and Pel are present, Psl tends to dominate, with Pel having only a limited impact on biofilm phenotypes. However, in cases where the Psl operon is absent or disrupted, such as in PA14, or when c-di-GMP levels are significantly increased, Pel plays a more prominent role in biofilm formation (Colvin et al., 2012).This study found that the frequency of the pelB gene was about twice that of the pslA gene. Colvin et al. (2012) also studied the PAO1 strain, which mainly relies on Psl for biofilm formation, and reported that mutations in psl result in the formation of weak biofilms, which eventually strengthen after a prolonged period due to Pel rearrangement. Emami et al. (2015) also found that 70% of Pseudomonas isolates could form biofilms, with the pslA gene present in approximately 43% of them. This study identifies the pel and psl genes as key contributors to the formation of strong, moderate, and weak biofilms in pathogenic Acinetobacter bacteria. The presence of these genes has been demonstrated to enhance the bacterium's pathogenicity and its resistance to antibiotics. Therefore, research aimed at inhibiting these two genes could not only reduce the biofilm-forming ability and proliferation of Acinetobacter but also improve the effectiveness of various antibiotics in treating diseases caused by this bacterium.

Acknowledgment

Not applicable.

Authors' Contribution

Study concept and design: A. MF.

Acquisition of data: H. A.

Analysis and interpretation of data: S. K.

Drafting of the manuscript: H. M.

Critical revision of the manuscript for important intellectual content: B. Z.

Statistical analysis: SB. G.

Administrative, technical, and material support: H. M.

Ethics

All authors approve the ethics in this study.

Conflict of Interest

There are not any conflicts of interest among the authors.

Funding

Funding information: Not applicable.

Data Availability

Data will be available after publication.

References

  1. Al-Rashedi N. A., Alburkat H., Hadi A. O., Munahi M. G., Jasim A., Hameed A, Smura T. High prevalence of an alpha variant lineage with a premature stop codon in ORF7a in Iraq, winter 2020–2021. PLoS One. 2022; 17(5):e0267295.
  2. Qasemi A, Bayat Z, Akbari N, Babazadeh D. Bacterial Resistance of Acinetobacter baumannii: A Global Concern. Research in Biotechnology and Environmental Science. 2022; 1(2): 36-42.
  3. Bahrami Nejad Joneghani R, Bahrami Nejad Joneghani R, Dustmohammadloo H, Bouzari P, Ebrahimi P, Fekete-Farkas M. Self-Compassion, Work Engagement and Job Performance among Intensive Care Nurses during COVID-19 Pandemic: The Mediation Role of Mental Health and the Moderating Role of Gender. InHealthcare. MDPI 2023; 11(13):1884.
  4. Salehinasab A, Sichani AR, Mousavi M, Bayat Z, Pezhhan A, Hussien BM, Ahmed M, Hassanshahian M. Investigation of Microbial Biofilms during COVID-19 Pandemic: A Bibliometric Analysis. Iranian Red Crescent Medical JournaL. 2023; 25(9)
  5. Al-Rashedi N. A., Alburkat H., Munahi M. G., Jasim A. H., Salman B. K., Oda B. S, Smura T. Genome Sequence of an Early Imported Case of SARS-CoV-2 Delta Variant (B. 1.617. 2 AY. 122) in Iraq in April 2021. Microbiology Resource Announcements. 2022; 11(11):e00977-22.
  6. Al-Rashedi N. A., Munahi M. G., Ah ALObaidi L. Prediction of potential inhibitors against SARS-CoV-2 endoribonuclease: RNA immunity sensing. Journal of Biomolecular Structure and Dynamics. 2022; 40(11): 4879-4892.
  7. Hussain S, Sheikh N, Anjum M., Raza A. G, Rizvi R. Mathematical modelling of COVID-19 pandemic in Pakistan with optimal control. Journal of Asian Scientific Research. 2023; 13(1): 28-44.
  8. Luque- Ramos L., Vilca J. A., Pilco A. V., Cachicatari -Vargas E. (2024). Events allegedly attributable to vaccination and immunization of COVID-19 in people who received up to the third dose, Tacna-Peru. Nurture. 2022; 18(1): 91-102.
  9. Davoudi-Monfared E, Khaje-Mozafari J, Keramatinia A, Naimi E, Amiri P, Rahimpour E, et al. A Review on Lifestyle Before and After COVID-19 Pandemic: Four Levels of Prevention: Lifestyle before and after COVID-19 pandemic. Int J Body Mind Cult. 11(2)
  10. Saberi-Hamedani M, Amiri P, Keramatinia A, Shahrbaf MA, Shekarriz-Foumani R. The Prediction of Suicide Ideation Based on Perceived Social Support, Personality Traits, and Meaning of Life in Medical Students during COVID-19 Pandemic: A Cross-Sectional Study: Suicide ideation prediction in medical students. Int J Body Mind Cult.272-281.
  11. Hashemikamangar SS, Afshari A, Aghamir ZS, Kamali F. Impact of Oral Health Literacy and COVID-19 Induced Anxiety on Dentistry Visits of the Iranian Public: COVID-19 induced anxiety and dentistry visits. Int J Body Mind Cult.366-373.
  12. Motavaselian M, Farrokhi M, Jafari Khouzani P, et al. Diagnostic Performance of Ultrasonography for Identification of Small Bowel Obstruction; a Systematic Review and Meta-analysis. Arch Acad Emerg Med. 2024; 12(1): e33.
  13. Shamabadi A., Karimi H., Arabzadeh Bahri R., Motavaselian M., Akhondzadeh S. Emerging drugs for the treatment of irritability associated with autism spectrum disorder. Expert Opinion on Emerging Drugs, (just-accepted). 2024.
  14. Saadi M. I., Nikandish M., Ghahramani Z., Valandani F. M., Ahmadyan M., Hosseini F, Ramzi M. miR-155 and miR-92 levels in ALL, post-transplant aGVHD, and CMV: possible new treatment options. Journal of the Egyptian National Cancer Institute. 2023; 35(1): 18.
  15. Iravani Saadi M, Jiang M, Banakar M, Mardani Valandani F., Ahmadyan M., Rostamipour HA, Hosseini F. Are the Costimulatory Molecule Gene Polymorphisms (CTLA-4) Associated With Infection in Organ Transplantation?. A Meta-Analysis. Cell Transplantation. 2023.
  16. Khalafi-Nezhad A, Saadi MI., Noshadi N, Jalali H, Ahmadyan M, Kheradmand N, Hamidieh AA. Change in Programmed Death-1 and Inducible Costimulator Expression in Patients with Acute Myeloid Leukemia Following Chemotherapy and Its Cytogenetic Abnormalities. Galen Medical Journal. 2022; 11:e2394-e2394.
  17. Hjazi A. The effects of Capsicum annuum supplementation on lipid profiles in adults with metabolic syndrome and related disorders: A systematic review and meta‐analysis of randomized controlled trials. Phytotherapy Research. 2023.
  18. Al-Obaidi ZMJ, Hussain YA, Ali AA, Al-Rekabi MD. The influence of vitamin-C intake on blood glucose measurements in COVID-19 pandemic. J Infect Dev Ctries. 2021; 15(2):209-213.
  19. Lattef Ismaeel Z. A. Anatomical study with antibacterial and antibiofilm effects of Erodium cicutarium (L.) L&#039;H phenolic roots extract. Caspian Journal of Environmental Sciences. 2024; 22(1): 137-146.
  20. H. Ahmed M., K. Resen A, S. AL-Niaeem K. Effects of antibiotic residues on some health parameters of Planiliza abu H. in Shatt Al-Arab, Southern Iraq. Caspian Journal of Environmental Sciences. 2022; 20(5):1059-1068.
  21. Obaid R. F., Kadhim Hindi N. K., Kadhum S. A., jafaar alwaeli LA, Jalil AT. Antibacterial activity, anti-adherence and anti-biofilm activities of plants extracts against Aggregatibacter actinomycetemcomitans: An in vitro study in Hilla City, Iraq. Caspian Journal of Environmental Sciences. 2022; 20(2):367-372.
  22. Stepanović S, Vuković D, Dakić I, Savić B, Švabić-Vlahović M. A modified microtiter-plate test for quantification of staphylococcal biofilm formation. Journal of microbiological methods. 2000; 40(2):175-9.
  23. Garcia KCdOD, de Oliveira Corrêa IM, Pereira LQ, Silva TM, Mioni MdSR, de Moraes Izidoro AC, et al. Bacteriophage use to control Salmonella biofilm on surfaces present in chicken slaughterhouses. Poultry science. 2017; 96(9):3392-8.
  24. Sekiguchi J-I, Asagi T, Miyoshi-Akiyama T, Kasai A, Mizuguchi Y, Araake M, et al. Outbreaks of multidrug-resistant Pseudomonas aeruginosa in community hospitals in Japan. Journal of clinical microbiology. 2007; 45(3):979-89.
  25. Nikbakht, G. Novel Insights into Infection and immunity. Iranian Journal of Veterinary Medicine. 2022; 16(2):99-100.