Synovial Sarcoma; A Rare Entity In Submandibular Gland

Document Type : Case Study

Authors

1 department of otolaryngology and head and neck surgery, DOW University of Health and Sciences

2 department of otolaryngology and head and neck surgery, Dr Ziauddin University hospital, Karachi, Pakistan

10.32592/ARI.2025.80.1.535

Abstract

ABSTRACT:

INTRODUCTION: Salivary gland synovial sarcomas, constituting <1% of oral tumors, occurring mostly in young and adolescents age group, present diagnostic challenges. it clinically presents as a painless mass, often growing silently for months or even years. Grossly, synovial sarcoma presents as a tan or grey mass with multi-nodular or multi-cystic formations and is characterized by the presence of spindle cells and CKAE1/AE3, TLE-1, and CD99 positivity. Prognosis is influenced by patient demographics, tumor characteristics, and treatment modalities. Factors such as age over 35 at diagnosis, epithelioid type, and localization outside the head and neck region are associated with worse prognoses.

CASE SUMMARY: We present a 48-year-old male with a swelling in the left submandibular area with no other associated symptoms. An ultrasound of the lump showed a well-circumscribed, cystic cum solid mass, with internal vascularity. Fine needle aspiration cytology (FNAC) demonstrated nuclear pleomorphism and high mitotic activity. Excisional histopathology was done and diagnosis of unifocal synovial sarcoma was made, characterized by spindle cells, with a mitotic rate of 23 per 10 high-power fields, with positivity for CKAE1/AE3, TLE-1, and CD99 and negativity for S100 in tumor cells.

CONCLUSION: We here presents a case of synovial sarcoma in an adult patient, with an unlikely site of occurrence This report also contributes to limited literature regarding this rare malignancy, shedding light on their clinical and diagnostic characteristics, and emphasizing identification of specific immunohistochemical markers such as CKAE1/AE3, TLE-1, and CD99 add to the understanding of its molecular characteristics

KEY-WORDS: Synovial sarcomas, submandibular gland, spindle cells, immunohistochemical markers.

Keywords

Main Subjects


1. Introduction

Synovial sarcoma (SS) is a rare soft tissue sarcoma (STS) with indeterminate differentiation. It predominantly affects young adults and adolescents, comprising 5–10% of all soft tissue sarcomas ( 1 ). The incidence rate of synovial sarcoma among young adults is 1.42 per 1,000,000 individuals, while in children it is 0.81 per 1,000,000 ( 2 ). Typically, it localizes in the deep soft tissue of the lower limbs, particularly in the knee area ( 1 ). Among all soft tissue sarcomas (STSs), only 10% occur in the head and neck region, predominantly in the cervical and pharyngeal zones ( 1 ). It is widely regarded as a high-grade tumor with a poor prognosis, and it is diagnosed through the assessment of morphology, which is characterized by spindle cells and a mitotic rate of 23/10 per high-power field. The presence of immunohistochemical markers like CKAE1/AE3, TLE1, and CD99 is also indicative of the disease. ( 1 ) Early identification, coupled with comprehensive surgical excision and adjuvant radiotherapy, plays a pivotal role in the effective management of submandibular synovial sarcomas ( 2 , 3 ). Due to the rarity of cases, there have been very limited studies reported in this field. The present case report describes a 48-year-old male patient afflicted with an uncommon form of synovial sarcoma, a rare form of cancer that constitutes 1% of all head and neck cancers. This case will contribute to the enhancement of our understanding of the diagnostic and management approaches of SSs.

2. Case Description

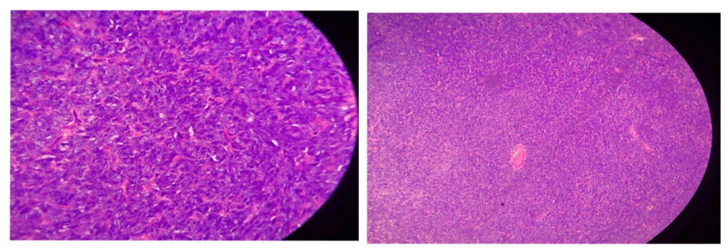
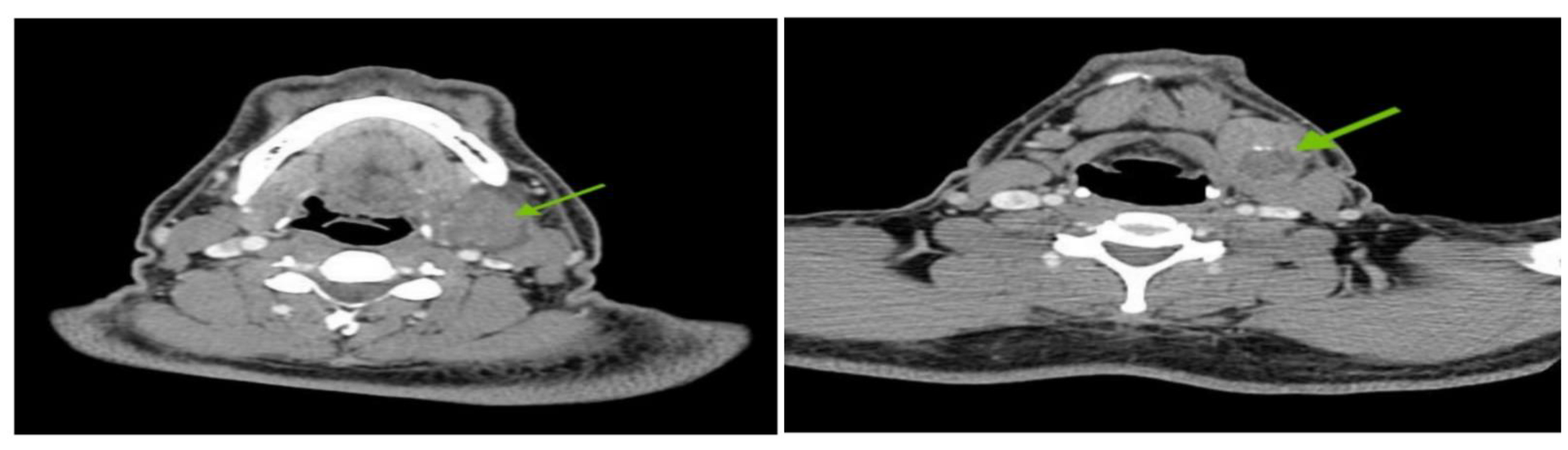
A 48-year-old male patient, a tobacco addict, presented to the otorhinolaryngology department at a tertiary care hospital with a chief complaint of a lump in the left submandibular area that had persisted for one year, accompanied by intermittent pain radiating towards the ipsilateral ear. The patient did not report any associated fever or other symptoms. On examination, a 5-centimeter lump was identified on the left side of the lower aspect of the mandible. The lump was non-tender, hard, non-reducible, adherent to underlying muscle layer with regular margins, and euthermic (Figure 1). A CT scan of the neck was performed without contrast, which revealed an enlarged left submandibular gland with a well-defined, solid, cystic lesion measuring approximately 3.9 x 2.5 cm. The lesion exhibited areas of calcification. The lesion was observed to be posterolaterally and medially indenting the sternocleidomastoid muscle and the carotid space, respectively, with intact intervening fat planes (Figure 2). Histopathological assessment of samples obtained by fine needle aspiration (FNA) revealed nuclear pleomorphism and high mitotic activity. The patient was scheduled to undergo a surgical procedure in which a submandibular gland measuring approximately 3 × 2.5 cm was excised with close margins. Histopathological analysis revealed a unifocal synovial sarcoma, characterized by spindle cells, with a mitotic rate of 23 per 10 high-power fields. No necrosis or lymphovascular infiltration was identified. The specimen exhibited positivity for CKAE1/AE3, TLE-1, and CD99, while being negative for S100 in tumor cells. Conversely, CD34 and Caldesmon were negative in tumor cells but positive in endothelial cells and vessel wall, respectively (Figure 3). A comprehensive staging evaluation was conducted, utilizing the pTNM system to ascertain the patient's clinical stage. This evaluation revealed a primary tumor classified as pT2, the absence of metastasis to regional lymph nodes (pN0), and the absence of distant metastasis (pMX). The patient was subsequently referred for radiotherapy, and further follow-up will be essential for comprehensive management.

Figure 1. 5 cm lump, palpated on the left side of the lower aspect of the mandible that was non-tender, hard, non-reducible, adherent to the muscle layer with regular margins.

Figure 2. CT head and neck without contrast showing left submandibular gland enlargement with approximately 3.9x2.5cm well–defined solid cum cystic lesion in it (indicated by green arrows), indenting the sternocleidomastoid muscle Posterolaterally and carotid space medially with intact intervening fat planes.

Figure 3. Histopathological slides revealing a unifocal synovial sarcoma characterized by spindle cells, positive for CKAE1/AE3, TLE-1, and CD99 and negative for S100 and CD34 in tumor cells.

3. Discussion

Sarcomas, comprising a minuscule 1% of primary head and neck cancers, pose a considerable diagnostic challenge due to their rarity and diverse histologic spectrum. Imaging, particularly high-resolution CT scans and MRI, is pivotal in assessing size and location. ( 6 ) Surgical excision with adjuvant radiotherapy is recommended for high-grade tumors, large lesions, and specific histological variants. Synovial sarcomas (SS), a distinctive subset accounting for 5-10% of soft tissue sarcomas, primarily affect young adults. The nomenclature "synovial" is misleading, as the tumor's development is not confined to the synovium, and it can arise in various anatomical locations. While 10% of SS involve the head and neck, the submandibular gland is an atypical primary site. ( 5 ) In such cases, the tumor manifests as a painless mass, often progressing undetected for extended periods, ranging from months to years. While up to 20% of cases may exhibit associated calcifications visible on X-ray or CTS, MRI remains the primary diagnostic modality, revealing a nonspecific, heterogeneous deep soft tissue mass. A tissue biopsy, obtained using a 14-gauge needle core, is crucial for a conclusive diagnosis. Grossly, synovial sarcoma manifests as a tan or gray mass with multi-nodular or multi-cystic formations. Morphologically, it comprises dense cellular sheets of uniform, plump spindle cells growing in various patterns. The diagnosis of synovial sarcoma is facilitated by the identification of the (X;18) chromosomal translocation, which results in the formation of the SS18:SSX fusion oncogenes. The diagnosis can be made through various methods, including cytogenetics, FISH, PCR, or immunohistochemistry ( 9 ). Nevertheless, TLE1 (transducin-like enhancer of split-1) has emerged as a promising diagnostic tool, offering an alternative to established methods. A substantial body of research, including a meta-analysis, has identified TLE1 as a reliable immunohistochemical marker, playing a crucial role in distinguishing synovial sarcoma from other sarcomas. The incorporation of TLE1 identification with histological and morphological assessments enhances diagnostic efficiency, especially in settings with limited resources. The standard treatment approach involves extensive surgical excision, frequently accompanied by adjuvant radiation for larger and deeper lesions. The role of chemotherapy in the therapeutic approach to synovial sarcoma remains a subject of ongoing debate. The prognosis is influenced by patient demographics, tumor characteristics, and treatment modalities. Patients with ages over 35 at diagnosis, epithelioid type, and localization outside the head and neck region are associated with worse prognoses ( 1 ). A total of three distinct case reports of synovial sarcomas in the submandibular region and one in the oral cavity were identified. While the majority of synovial sarcoma diagnoses occur within the third decade of life, all cases affecting the oral cavity and submandibular salivary gland, including the present case, were observed between the ages of 40 and 50, with one exception presenting at the age of 18. A notable aspect of the cases examined is the preponderance of male patients, a finding that is consistent across all five cases, including the current one. A notable similarity in ethnic background was observed, with the current case being of Pakistani origin and two involving Indian individuals. The patient in this case exhibited a consistent habit of betel nut consumption, while another individual had an extensive history of smoking. These practices have been identified as significant risk factors for various types of oral neoplasms. Furthermore, a notable finding was the observed variation in the duration of symptoms prior to medical attention, underscoring the necessity for diversified approaches to symptom recognition and healthcare seeking behavior. Immunohistochemistry (IHC) results exhibited variability, indicative of diverse molecular characteristics. The consistent positivity of TLE1, CKAE1, and CD99 markers, and the negativity of CD34, Caldesmon, and S100, underscore the significance of these markers in achieving an accurate diagnosis. Imaging revealed a well-circumscribed nodular hypoechoic mass. However, variations in tumor size, necrosis, and calcification were observed. The presented case of synovial sarcoma in the submandibular gland is unique due to its rare occurrence in this anatomical site. ( 5 ) The case offers significant insights into the limited extant literature on these rare neoplasms, underscoring the necessity for enhanced diagnostic awareness. The identification of specific immunohistochemical markers, including CKAE1/AE3, TLE-1, and CD99, contributes to a more profound comprehension of the molecular characteristics of this neoplasm. ( 1 ) Notwithstanding these insights, study limitations include the utilization of CT instead of MRI and the absence of FISH/PCR to identify the fusion gene and the inability to assess recurrence due to the patient being lost to follow-up. Consequently, the utilization of an optimal immunohistochemical panel, encompassing TLE1, CKAE1/AE3, CD99, CD34, and S100, has been demonstrated to enhance the diagnostic accuracy of synovial sarcomas, a benefit that is particularly salient in settings characterized by resource constraints. ( 9 ) The case contributes to our understanding of synovial sarcomas, shedding light on their clinical characteristics and emphasizing the need for further research in this domain.

Acknowledgment

None

Authors' Contribution

Study concept and design: N/A

Acquisition of data: WRM, HA

Analysis and interpretation of data: N/A

Drafting of the manuscript: ZM, FHY

Critical revision of the manuscript for important intellectual content: YA

Statistical analysis: N/A

Administrative, technical, and material support: YA

Ethics

Approval was obtained from the ethics committee of Dr. Ziauddin Hospital for this specific case report.

Conflict of Interest

The authors declare that they have no conflict of interest.

Data Availability

The data that support the findings of this study are available on request from the corresponding author.

References

  1. Mariano FV, Oliveira Gondak R, da Costa MV, Corrêa MB, Lopes MA, de Almeida OP. Primary synovial sarcoma involving the submandibular gland. Oral Surg Oral Med Oral Pathol Oral Radiol. 2012; 114(1):e61-65.
  2. Gazendam AM, Popovic S, Munir S, Parasu N, Wilson D, Ghert M. Synovial Sarcoma: A Clinical Review. Curr Oncol. 2021; 28(3):1909-1920. DOI
  3. Aytekin MN, Öztürk R, Amer K, Yapar A. Epidemiology, incidence, and survival of synovial sarcoma subtypes: SEER database analysis. J Orthop Surg Hong Kong. 2020; 28(2):2309499020936009.
  4. Srivastava A, Ghosh A, Saha S, Saha VP, Chakraborty D. Sarcomas of head and neck - A 10 yrs experience. Indian J Otolaryngol Head Neck Surg Off Publ Assoc Otolaryngol India. 2007; 59(4):322-326. DOI
  5. Alsanie I, Rajab S, Cottom H, et al. Distribution and Frequency of Salivary Gland Tumours: An International Multicenter Study. Head Neck Pathol. 2022; 16(4):1043-1054.
  6. Jo VY, Fletcher CDM. WHO classification of soft tissue tumours: an update based on the 2013 (4th) edition. Pathology (Phila). 2014; 46(2):95-104.
  7. Nielsen TO. Brenner’s Encyclopedia of Genetics (Second Edition). Academic Press; 2013.
  8. Terry J, Saito T, Subramanian S, et al. TLE1 as a diagnostic immunohistochemical marker for synovial sarcoma emerging from gene expression profiling studies. Am J Surg Pathol. 2007; 31(2):240-246.
  9. Rekhi B, Basak R, Desai SB, Jambhekar NA. Immunohistochemical validation of TLE1, a novel marker, for synovial sarcomas. Indian J Med Res. 2012; 136(5):766-775.